Skip to Content
MilliporeSigma

SAB4300140

Sigma-Aldrich

Anti-phospho-PRKCQ (pSer695) antibody produced in rabbit

affinity isolated antibody

Synonym(s):

Anti-MGC126514 antibody produced in rabbit, Anti-MGC141919 antibody produced in rabbit, Anti-PRKCT antibody produced in rabbit, Anti-nPKC-theta antibody produced in rabbit, Anti-protein kinase C, theta antibody produced in rabbit

Sign Into View Organizational & Contract Pricing

Select a Size


About This Item

UNSPSC Code:
12352203
NACRES:
NA.41
Technical Service
Need help? Our team of experienced scientists is here for you.
Let Us Assist
Technical Service
Need help? Our team of experienced scientists is here for you.
Let Us Assist

biological source

rabbit

conjugate

unconjugated

antibody form

affinity isolated antibody

antibody product type

primary antibodies

clone

polyclonal

form

buffered aqueous solution

mol wt

~80 kDa

species reactivity

human

concentration

1 mg/mL

technique(s)

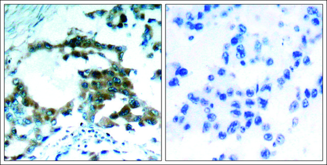
immunohistochemistry (formalin-fixed, paraffin-embedded sections): 1:50-1:100

isotype

IgG

immunogen sequence

(N-F-SP-F-M)

NCBI accession no.

UniProt accession no.

shipped in

wet ice

storage temp.

−20°C

target post-translational modification

phosphorylation (pSer695)

Gene Information

human ... PRKCQ(5588)

General description

This is a calcium-independent, phospholipid-dependent, serine- and threonine-specific enzyme. Essential for T-cell receptor (TCR)-mediated T-cell activation, but is dispensable during TCR-dependent thymocyte development. Links the TCR signaling complex to the activation of NF-kappa-B in mature T lymphocytes. Required for interleukin-2 (IL2) production. Ref.8 PKC is activated by diacylglycerol which in turn phosphorylates a range of cellular proteins. PKC also serves as the receptor for phorbol esters, a class of tumor promoters.

Immunogen

Peptide sequence around phosphorylation site of serine 695 (N-F-S(p)-F-M), according to the protein PRKCQ.

Features and Benefits

Evaluate our antibodies with complete peace of mind. If the antibody does not perform in your application, we will issue a full credit or replacement antibody. Learn more.

Physical form

Solution in phosphate-buffered saline containing 0.02% sodium azide and 50% glycerol

Not finding the right product?  

Try our Product Selector Tool.

Storage Class

10 - Combustible liquids

wgk_germany

WGK 1

flash_point_f

Not applicable

flash_point_c

Not applicable


Choose from one of the most recent versions:

Certificates of Analysis (COA)

Lot/Batch Number

Don't see the Right Version?

If you require a particular version, you can look up a specific certificate by the Lot or Batch number.

Already Own This Product?

Find documentation for the products that you have recently purchased in the Document Library.

Visit the Document Library

Our team of scientists has experience in all areas of research including Life Science, Material Science, Chemical Synthesis, Chromatography, Analytical and many others.

Contact Technical Service