Skip to Content
Merck

ZRB2569

Anti-CSF-1R/CD115 Antibody, clone 1F6 ZooMAb® Rabbit Monoclonal

greener alternative

recombinant, expressed in HEK 293 cells

Synonym(s):

CSF-1 receptor, Proto-oncogene c-Fms

Sign In to View Organizational & Contract Pricing.

Select a Size

Change View

About This Item

NACRES:
NA.43
UNSPSC Code:
12352203
Conjugate:
unconjugated
Clone:
1F6, recombinant monoclonal
Application:
ICC, IHC, WB, affinity binding assay
Citations:
-
Technical Service
Need help? Our team of experienced scientists is here for you.
Let Us Assist


biological source

rabbit

Quality Level

recombinant

expressed in HEK 293 cells

conjugate

unconjugated

antibody form

purified antibody

antibody product type

primary antibodies

clone

1F6, recombinant monoclonal

description

recombinant, expressed in HEK 293 cells

product line

ZooMAb® learn more

form

lyophilized

mol wt

calculated mol wt 107.98 kDa, observed mol wt ~110 kDa

purified by

using Protein A

species reactivity

human

species reactivity (predicted by homology)

monkey

packaging

antibody small pack of 25

greener alternative product characteristics

Waste Prevention
Designing Safer Chemicals
Design for Energy Efficiency
Learn more about the Principles of Green Chemistry.

enhanced validation

recombinant expression
Learn more about Antibody Enhanced Validation

sustainability

Greener Alternative Product

technique(s)

affinity binding assay: suitable, immunocytochemistry: suitable, immunohistochemistry: suitable, western blot: suitable

isotype

IgG

epitope sequence

N-terminal half

Protein ID accession no.

UniProt accession no.

greener alternative category

shipped in

ambient

storage temp.

2-8°C

Gene Information

human ... CSF1R(1436)

General description

Macrophage colony-stimulating factor 1 receptor ( CSF-1R/CD115 ) (UniProt: P07333; also known as EC:2.7.10.1; CD115; Proto-oncogene c-Fms) is encoded by the CSF1R (also known as FMS) gene (Gene ID: 1436) in human. CSF-1R/CD115 is a transmembrane receptor protein for Macrophage Colony-Stimulating Factor 1 (CSF1/M-CSF) and IL34. It belongs to the type III receptor tyrosine kinase family and consists of an extracellular ligand-binding domain, a single transmembrane domain, and an intracellular kinase domain. Upon ligand binding, CSF-1R/CD115 undergoes dimerization and activation, leading to the release of pro-inflammatory chemokines. CSF-1R/CD115 is found on the surface of monocytes, macrophages, and their progenitor cells and involved in their development, differentiation, and survival. CSF-1R/CD115 is expressed in various tissues, including the hematopoietic system, bone marrow, placenta, and brain. Expression levels can be regulated by various factors, including cytokines and growth factors. Dysregulation or mutations of CSF-1R/CD115 have been associated with a range of diseases, including certain leukemias, solid tumors, and inflammatory conditions. Mutations in CSF-1R/CD115 have been identified in individuals with hereditary leukoencephalopathy with a spheroid body phenotype (HDLS), a rare neurological disorder characterized by progressive white matter degeneration in the brain. Aberrant CSF-1R/CD115 signaling has been linked to inflammatory diseases, including rheumatoid arthritis. Overexpression of CSF-1R/CD115 has been observed in certain cancers, including breast, ovarian, and pancreatic cancers, and is associated with tumor progression and poor prognosis. CSF-1R/CD115 inhibitors are being investigated as potential therapeutic targets in these malignancies. This ZooMAb® recombinant monoclonal antibody, generated by our propriety technology, offers significantly enhanced specificity, affinity, reproducibility, and stability over conventional monoclonals. (Ref.: Kapanadze, T. et al., (2024) J. Leukoc. Biol. 115(3), 573-582)
ZooMAb® antibodies represent an entirely new generation of recombinant monoclonal antibodies. Each ZooMAb® antibody is manufactured using our proprietary recombinant expression system, purified to homogeneity, and precisely dispensed to produce robust and highly reproducible lot-to-lot consistency. Only top-performing clones are released for use by researchers. Each antibody is validated for high specificity and affinity across multiple applications, including its most commonly used application. ZooMAb® antibodies are reliably available and ready to ship when you need them.
We are committed to bringing you greener alternative products, which adhere to one or more of the 12 Principles of Green Chemistry. This antibody is preservative-free, produced without the harm or sacrifice of animals and exceptionally stable to allow for ambient shipping and storage if needed, and thus aligns with "Waste Prevention", "Designing Safer Chemicals" and "Design for Energy Efficiency". Click here for more information.

Immunogen

KLH-conjugated linear peptide corresponding to 24 amino acids from the N-terminal half of Human CSF-1R/CD115.

Application

Quality Control Testing

Evaluated by Western Blotting in K-562 cell lysate.

Western Blotting Analysis: A 1:1,000 dilution of this antibody detected CSF-1R/CD115 in K-562 cell lysate.

Tested Applications

Western Blotting Analysis: A 1:1,000 dilution from a representative lot detected CSF-1R/CD115 in Human tonsil lysates.

Western Blotting Analysis: A 1:1,000 dilution from a representative lot detected CSF-1R/CD115 in K-562 cell lysate.

Immunocytochemistry Analysis: A 1:100 dilution from a representative lot detected CSF-1R/CD115 in THP-1 cells.

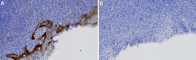
Immunohistochemistry (Paraffin) Analysis: A 1:1,000 dilution from a representative lot detected CSF-1R/CD115 in Human tonsil tissue sections.

Affinity Binding Assay: A representative lot of this antibody bound CSF-1R/CD115 peptide with a KD of 4.3 x 10-9 in an affinity binding assay.

Note: Actual optimal working dilutions must be determined by end user as specimens, and experimental conditions may vary with the end user.

Biochem/physiol Actions

Clone 1F6 is a ZooMAb® rabbit recombinant monoclonal antibody that detects CSF-1R/CD115. It targets an epitope within 24 amino acids from the N-terminal half of CSF-1R/CD115 .

Physical form

Purified recombinant rabbit monoclonal antibody IgG, lyophilized in PBS with 5% Trehalose, normal appearance a coarse or translucent resin. The PBS/trehalose components in the ZooMAb formulation can have the appearance of a semi-solid (bead like gel) after lyophilization. This is a normal phenomenon. Please follow the recommended reconstitution procedure in the data sheet to dissolve the semi-solid, bead-like, gel-appearing material. The resulting antibody solution is completely stable and functional as proven by full functional testing. Contains no biocide or preservatives, such as azide, or any animal by-products. Larger pack sizes provided as multiples of 25 µL.

Preparation Note

Recommend storage of lyophilized product at 2-8°C; Before reconstitution, micro-centrifuge vials briefly to spin down material to bottom of the vial; Reconstitute each vial by adding 25 µL of filtered lab grade water or PBS; Reconstituted antibodies can be stored at 2-8°C, or -20°C for long term storage. Avoid repeated freeze-thaws.
Reconstitute lyophilized antibody pellet with 25μL of ultrapure water or Phosphate Buffered Saline (PBS). Please refer to our reconstitution protocol and the specific application guidance on the suggested starting dilutions and sample type.

Legal Information

ZooMAb is a registered trademark of Merck KGaA, Darmstadt, Germany

Disclaimer

Unless otherwise stated in our catalog or other company documentation accompanying the product(s), our products are intended for research use only and are not to be used for any other purpose, which includes but is not limited to, unauthorized commercial uses, in vitro diagnostic uses, ex vivo or in vivo therapeutic uses or any type of consumption or application to humans or animals.


Still not finding the right product?

Try our Product Selector Tool to narrow your options


Storage Class

11 - Combustible Solids

wgk

WGK 1

flash_point_f

Not applicable

flash_point_c

Not applicable



Choose from one of the most recent versions:

Certificates of Analysis (COA)

Lot/Batch Number

It looks like we've run into a problem, but you can still download Certificates of Analysis from our Documents section.

If you need assistance, please contact Customer Support

Already Own This Product?

Find documentation for the products that you have recently purchased in the Document Library.

Visit the Document Library



Global Trade Item Number

SKUGTIN
ZRB2569-25UL04065271150966
ZRB2569-4X25UL04065271150973