biological source
rabbit
Quality Level
recombinant
expressed in HEK 293 cells
conjugate
unconjugated
antibody form
purified antibody
antibody product type
primary antibodies
clone
1F6, recombinant monoclonal
description
recombinant, expressed in HEK 293 cells
product line
ZooMAb® learn more
form
lyophilized
mol wt
calculated mol wt 26.56 kDa, observed mol wt ~27 kDa
purified by
using Protein A
species reactivity
mouse, human, rat
packaging
antibody small pack of 25
greener alternative product characteristics
Waste Prevention
Designing Safer Chemicals
Design for Energy Efficiency
Learn more about the Principles of Green Chemistry.
enhanced validation
recombinant expression
Learn more about Antibody Enhanced Validation
technique(s)
affinity binding assay: suitable, immunocytochemistry: suitable, immunohistochemistry: suitable, western blot: suitable
isotype
IgG
epitope sequence
Internal
Protein ID accession no.
UniProt accession no.
greener alternative category
shipped in
ambient
storage temp.
2-8°C
Gene Information
human ... PRSS1(5644)
General description
Serine protease 1 (UniProt: P07477; also known as EC 3.4.21.4, Anionic trypsin I, Beta-trypsin, Cationic trypsinogen, Trypsin I, Trypsin-1) is encoded by the PRSS1 (also known as TRP1, TRY1, TRYP1) gene (Gene ID: 5644) in human. Trypsin-1 is a secreted serine protease that is expressed in pancreas and several other tissue. It is synthesized with a signal peptide (aa 1-15) and a propeptide (aa 16-23) that are subsequently cleaved off to produce the mature active protein (aa 24-247). It cleaves carboxyl groups present on lysine and arginine residues. Three isoforms of trypsin (trypsin 1, 2, and 3) have been described that are synthesized and stored in the pancreas as inactive trypsinogens. Upon stimulation by cholecystokinin, the pancreas releases inactive trypsinogens into the intestine where they are activated by enterokinase via proteolytic cleavage. It can be present in a single-chain form and a two-chain form that are produced by proteolytic cleavage after arginine 122. Its sulfation at tyrosine 154 is reported to increase its selectivity towards basic versus apolar residues at the P2′ position of inhibitors that bind in a substrate-like fashion. Mutations in PRSS1 gene have been linked to hereditary pancreatitis that is characterized by pancreatic inflammation, permanent destruction of the pancreatic parenchyma, maldigestion, and severe abdominal pain attacks. This ZooMAb® recombinant monoclonal antibody, generated by our propriety technology, offers significantly enhanced specificity, affinity, reproducibility, and stability over conventional monoclonals. (Ref.: Pfützer, R., et al. (2002). Gut. 50(2); 271-272; Koshikawa, N., et al. (1994). Biochem. J. 303(Pt1); 187-190).
We are committed to bringing you greener alternative products, which adhere to one or more of the 12 Principles of Green Chemistry. This antibody is preservative-free, produced without the harm or sacrifice of animals and exceptionally stable to allow for ambient shipping and storage if needed, and thus aligns with "Waste Prevention", "Designing Safer Chemicals" and "Design for Energy Efficiency". Click here for more information.
ZooMAb® antibodies represent an entirely new generation of recombinant monoclonal antibodies. Each ZooMAb® antibody is manufactured using our proprietary recombinant expression system, purified to homogeneity, and precisely dispensed to produce robust and highly reproducible lot-to-lot consistency. Only top-performing clones are released for use by researchers. Each antibody is validated for high specificity and affinity across multiple applications, including its most commonly used application. ZooMAb® antibodies are reliably available and ready to ship when you need them.
Immunogen
KLH-conjugated linear peptide corresponding to 15 amino acids from the internal region of human Trypsin.
Application
Quality Control Testing
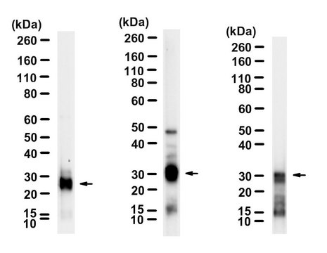
Evaluated by Western Blotting in Mouse pancreas tissue lysate.
Western Blotting Analysis: A 1:5,000 dilution of this antibody detected Trypsin in Mouse pancreas tissue lysate.
Tested Applications
Western Blotting Analysis: A 1:1,000 dilution from a representative lot detected Trypsin in Human pancreas and Rat pancreas tissue lysates.
Immunocytochemistry Analysis: A 1:100 dilution from a representative lot detected Trypsin in HT-29 cells.
Affinity Binding Assay: A representative lot of this antibody bound Trypsin peptide with a KD of 1.2 x 10-7 in an affinity binding assay.
Immunohistochemistry (Paraffin) Analysis: A 1:100 dilution from a representative lot detected Trypsin in Human pancreas tissue sections.
Note: Actual optimal working dilutions must be determined by end user as specimens, and experimental conditions may vary with the end user.
Evaluated by Western Blotting in Mouse pancreas tissue lysate.
Western Blotting Analysis: A 1:5,000 dilution of this antibody detected Trypsin in Mouse pancreas tissue lysate.
Tested Applications
Western Blotting Analysis: A 1:1,000 dilution from a representative lot detected Trypsin in Human pancreas and Rat pancreas tissue lysates.
Immunocytochemistry Analysis: A 1:100 dilution from a representative lot detected Trypsin in HT-29 cells.
Affinity Binding Assay: A representative lot of this antibody bound Trypsin peptide with a KD of 1.2 x 10-7 in an affinity binding assay.
Immunohistochemistry (Paraffin) Analysis: A 1:100 dilution from a representative lot detected Trypsin in Human pancreas tissue sections.
Note: Actual optimal working dilutions must be determined by end user as specimens, and experimental conditions may vary with the end user.
Biochem/physiol Actions
Clone 1F6 is a ZooMAb® rabbit recombinant monoclonal antibody that specifically detects Trypsin. It targets an epitope within 15 amino acids from the internal region.
Physical form
Purified recombinant rabbit monoclonal antibody IgG, lyophilized in PBS with 5% Trehalose, normal appearance a coarse or translucent resin. The PBS/trehalose components in the ZooMAb formulation can have the appearance of a semi-solid (bead like gel) after lyophilization. This is a normal phenomenon. Please follow the recommended reconstitution procedure in the data sheet to dissolve the semi-solid, bead-like, gel-appearing material. The resulting antibody solution is completely stable and functional as proven by full functional testing. Contains no biocide or preservatives, such as azide, or any animal by-products. Larger pack sizes provided as multiples of 25 µL.
Preparation Note
Recommend storage of lyophilized product at 2-8°C; Before reconstitution, micro-centrifuge vials briefly to spin down material to bottom of the vial; Reconstitute each vial by adding 25 µL of filtered lab grade water or PBS; Reconstituted antibodies can be stored at 2-8°C, or -20°C for long term storage. Avoid repeated freeze-thaws.
Reconstitute lyophilized antibody pellet with 25μL of ultrapure water or Phosphate Buffered Saline (PBS). Please refer to our reconstitution protocol and the specific application guidance on the suggested starting dilutions and sample type.
Legal Information
ZooMAb is a registered trademark of Merck KGaA, Darmstadt, Germany
Disclaimer
Unless otherwise stated in our catalog or other company documentation accompanying the product(s), our products are intended for research use only and are not to be used for any other purpose, which includes but is not limited to, unauthorized commercial uses, in vitro diagnostic uses, ex vivo or in vivo therapeutic uses or any type of consumption or application to humans or animals.
Still not finding the right product?
제품 선택 도구}를 사용하여 선택의 폭을 좁혀보세요.
저장 등급
11 - Combustible Solids
wgk
WGK 1
flash_point_f
Not applicable
flash_point_c
Not applicable
국제 무역 품목 번호
| SKU | GTIN |
|---|---|
| ZRB2626-25UL | 04065271125827 |
| ZRB2626-4X25UL | 04065271125834 |