콘텐츠로 건너뛰기
Merck

SAB6012122

Anti IMPDH2 Antibody, clone 23GB6670, Rabbit Monoclonal

greener alternative

clone 23GB6670, recombinant rabbit monoclonal, expressed in HEK293 cells

동의어(들):

IMPD 2, IMPDH 2, IMPDH-II

조직 및 계약 가격을 보려면 로그인를 클릭합니다.

크기 선택

보기 변경

제품정보 (DICE 배송 시 비용 별도)

UNSPSC Code:
12352203
Conjugate:
unconjugated
Clone:
23GB6670, recombinant monoclonal
Application:
FACS, WB
Citations:
-
기술 서비스
도움이 필요하신가요? 저희 숙련된 과학자 팀이 도와드리겠습니다.
도움 문의


biological source

rabbit (Monoclonal)

Quality Level

recombinant

expressed in HEK 293 cells

conjugate

unconjugated

antibody form

affinity isolated antibody

antibody product type

primary antibodies

clone

23GB6670, recombinant monoclonal

form

buffered aqueous glycerol solution

mol wt

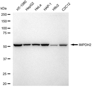
56 kDa

species reactivity

rat, human

packaging

vial of 1.5 mL

enhanced validation

recombinant expression
Learn more about Antibody Enhanced Validation

sustainability

Greener Alternative Product

concentration

0.387 mg/ml

technique(s)

flow cytometry: 1:2000, western blot: 1:1,000-1:5,000

isotype

IgG

Ensembl | human accession no.

NCBI accession no.

UniProt accession no.

greener alternative category

shipped in

wet ice

storage temp.

−20°C

target post-translational modification

unmodified

Gene Information

human ... IMPDH2(3615)

General description

This gene encodes the rate-limiting enzyme in the de novo guanine nucleotide biosynthesis. It is thus involved in maintaining cellular guanine deoxy- and ribonucleotide pools needed for DNA and RNA synthesis. The encoded protein catalyzes the NAD-dependent oxidation of inosine-5′-monophosphate into xanthine-5′-monophosphate, which is then converted into guanosine-5′-monophosphate. This gene is up-regulated in some neoplasms, suggesting it may play a role in malignant transformation. [provided by RefSeq, Jul 2008]
We are committed to bringing you Greener Alternative Products. This product is a Design for Sustainability (DfS) developed product, which belongs to one of the four categories of greener alternatives. Click here to view its DfS scorecard.

Immunogen

A synthesized peptide corresponding to a sequence within amino acids 120-175 of human IMPDH2 [NP_000875.2].

Physical form

Solution in PBS (pH 7.4) containing 50% glycerol, and 0.02% sodium azide.

Other Notes

Gently mix before use. Optimal concentrations and conditions for each application should be determined by the user.


Still not finding the right product?

제품 선택 도구}를 사용하여 선택의 폭을 좁혀보세요.


저장 등급

10 - Combustible liquids

flash_point_f

572.0 °F

flash_point_c

300 °C



가장 최신 버전 중 하나를 선택하세요:

시험 성적서(COA)

Lot/Batch Number

It looks like we've run into a problem, but you can still download Certificates of Analysis from our 문서 section.

도움이 필요하시면 연락하세요. 고객 지원 부서

이 제품을 이미 가지고 계십니까?

문서 라이브러리에서 최근에 구매한 제품에 대한 문서를 찾아보세요.

문서 라이브러리 방문



국제 무역 품목 번호

SKUGTIN
SAB6012122-100UL04065273190700