콘텐츠로 건너뛰기
Merck

SAB5701582

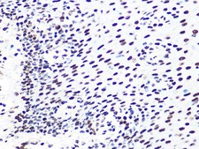
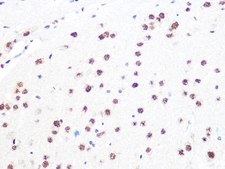
Anti-DDB1 antibody produced in rabbit

조직 및 계약 가격을 보려면 로그인를 클릭합니다.

크기 선택

보기 변경

제품정보 (DICE 배송 시 비용 별도)

NACRES:
NA.41
UNSPSC Code:
12352203
Conjugate:
unconjugated
Clone:
monoclonal
Application:
IHC, WB
Citations:
-
기술 서비스
도움이 필요하신가요? 저희 숙련된 과학자 팀이 도와드리겠습니다.
도움 문의


biological source

rabbit

Quality Level

conjugate

unconjugated

antibody product type

primary antibodies

clone

monoclonal

form

liquid

species reactivity

human

concentration

0.32 mg/mL

technique(s)

immunohistochemistry: 1:50-1:200, western blot: 1:500-1:2000

UniProt accession no.

shipped in

wet ice

storage temp.

−20°C

target post-translational modification

unmodified

Gene Information

human ... DDB1(1642)

General description

The protein encoded by this gene is the large subunit (p127) of the heterodimeric DNA damage-binding (DDB) complex while another protein (p48) forms the small subunit. This protein complex functions in nucleotide-excision repair and binds to DNA following UV damage. Defective activity of this complex causes the repair defect in patients with xeroderma pigmentosum complementation group E (XPE) - an autosomal recessive disorder characterized by photosensitivity and early onset of carcinomas. However, it remains for mutation analysis to demonstrate whether the defect in XPE patients is in this gene or the gene encoding the small subunit. In addition, Best vitelliform mascular dystrophy is mapped to the same region as this gene on 11q, but no sequence alternations of this gene are demonstrated in Best disease patients. The protein encoded by this gene also functions as an adaptor molecule for the cullin 4 (CUL4) ubiquitin E3 ligase complex by facilitating the binding of substrates to this complex and the ubiquitination of proteins. [provided by RefSeq, May 2012]

Immunogen

A synthesized peptide derived from human DDB1

Physical form

Buffer: PBS with 0.02% sodium azide,0.05% BSA,50% glycerol,pH7.3.


Still not finding the right product?

Explore all of our products under

또는

제품 선택 도구}를 사용하여 선택의 폭을 좁혀보세요.


저장 등급

12 - Non Combustible Liquids

wgk

WGK 1

flash_point_f

Not applicable

flash_point_c

Not applicable



가장 최신 버전 중 하나를 선택하세요:

시험 성적서(COA)

Lot/Batch Number

It looks like we've run into a problem, but you can still download Certificates of Analysis from our 문서 section.

도움이 필요하시면 연락하세요. 고객 지원 부서

이 제품을 이미 가지고 계십니까?

문서 라이브러리에서 최근에 구매한 제품에 대한 문서를 찾아보세요.

문서 라이브러리 방문



국제 무역 품목 번호

SKUGTIN
SAB5701582-100UL04065267671567