콘텐츠로 건너뛰기
Merck

SAB5700635

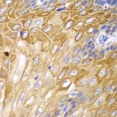
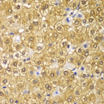
Anti-Cyclin D1 antibody produced in rabbit

동의어(들):

BCL1, CCND1, Cyclin D1, D11S287E, PRAD1, U21B31, cyclin D1

조직 및 계약 가격을 보려면 로그인를 클릭합니다.

크기 선택

보기 변경

제품정보 (DICE 배송 시 비용 별도)

NACRES:
NA.41
UNSPSC Code:
12352203
Conjugate:
unconjugated
Clone:
polyclonal
Application:
IHC, WB
Citations:
-
기술 서비스
도움이 필요하신가요? 저희 숙련된 과학자 팀이 도와드리겠습니다.
도움 문의


biological source

rabbit

Quality Level

conjugate

unconjugated

antibody form

affinity isolated antibody

antibody product type

primary antibodies

clone

polyclonal

form

buffered aqueous solution

mol wt

33

species reactivity

rat, human

concentration

0.74 mg/ml

technique(s)

immunohistochemistry: 1:50-1:100, western blot: 1:500-1:1000

UniProt accession no.

shipped in

wet ice

storage temp.

−20°C

target post-translational modification

unmodified

Gene Information

human ... CCND1(595)

General description

The protein encoded by this gene belongs to the highly conserved cyclin family, whose members are characterized by a dramatic periodicity in protein abundance throughout the cell cycle. Cyclins function as regulators of CDK kinases. Different cyclins exhibit distinct expression and degradation patterns which contribute to the temporal coordination of each mitotic event. This cyclin forms a complex with and functions as a regulatory subunit of CDK4 or CDK6, whose activity is required for cell cycle G1/S transition. This protein has been shown to interact with tumor suppressor protein Rb and the expression of this gene is regulated positively by Rb. Mutations, amplification and overexpression of this gene, which alters cell cycle progression, are observed frequently in a variety of tumors and may contribute to tumorigenesis.

Immunogen

Recombinant fusion protein containing a sequence corresponding to amino acids 96-295 of human Cyclin D1 (NP_444284.1).

Physical form

PBS with 0.02% sodium azide,50% glycerol,pH7.3.

Preparation Note

Store at -20℃. Avoid freeze / thaw cycles.


Still not finding the right product?

Explore all of our products under

또는

제품 선택 도구}를 사용하여 선택의 폭을 좁혀보세요.


저장 등급

12 - Non Combustible Liquids

wgk

WGK 1

flash_point_f

Not applicable

flash_point_c

Not applicable



가장 최신 버전 중 하나를 선택하세요:

시험 성적서(COA)

Lot/Batch Number

It looks like we've run into a problem, but you can still download Certificates of Analysis from our 문서 section.

도움이 필요하시면 연락하세요. 고객 지원 부서

이 제품을 이미 가지고 계십니까?

문서 라이브러리에서 최근에 구매한 제품에 대한 문서를 찾아보세요.

문서 라이브러리 방문



국제 무역 품목 번호

SKUGTIN
SAB5700635-100UL04065265179683