콘텐츠로 건너뛰기
Merck

SAB4500352

Anti-Histone H3.1 Antibody

rabbit polyclonal

동의어(들):

H3/a, H3/c, H3/d, H3/f, H3/h

조직 및 계약 가격을 보려면 로그인를 클릭합니다.

크기 선택

보기 변경

제품정보 (DICE 배송 시 비용 별도)

UNSPSC Code:
12352203
NACRES:
NA.41
Conjugate:
unconjugated
Clone:
polyclonal
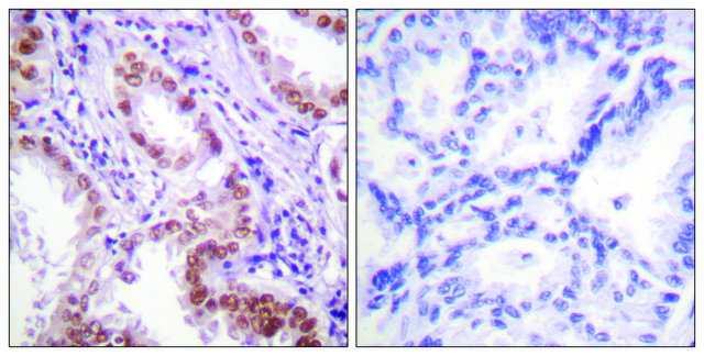
Application:
ELISA, IHC, WB
Citations:
14
기술 서비스
도움이 필요하신가요? 저희 숙련된 과학자 팀이 도와드리겠습니다.
도움 문의


제품 이름

Anti-Histone H3 antibody produced in rabbit, affinity isolated antibody

biological source

rabbit

Quality Level

conjugate

unconjugated

antibody form

affinity isolated antibody

antibody product type

primary antibodies

clone

polyclonal

form

buffered aqueous solution

mol wt

antigen 15 kDa

species reactivity

human, rat, mouse

concentration

~1 mg/mL

technique(s)

ELISA: 1:1000, immunohistochemistry: 1:50-1:100, western blot: 1:500-1:1000

NCBI accession no.

shipped in

wet ice

storage temp.

−20°C

target post-translational modification

unmodified

Gene Information

human ... HIST1H3A(8350)

General description

Anti-Histone H3 Antibody detects endogenous levels of total Histone H3 protein.
Mammals contain three main classes of histone H3 variants: the replicative histones (H3.1 and H3.2), the replacement histone (H3.3) and the centromeric histone (Cenp-A). Histone H3 is located on human chromosome 6p22.

Immunogen

The antiserum was produced against synthesized peptide derived from human Histone H3.

Immunogen Range: 1-50

Application

Anti-Histone H3, N-Terminal antibody has been used in western blotting and enzyme-linked immunosorbent assay (ELISA).

Biochem/physiol Actions

Histone proteins are basic building blocks of chromatin. Histone H3 K27M mutations in adult cerebellar high-grade gliomas. It controls protein-protein interactions to induce binding of trans-acting factors that “drive” chromatin condensation.

Features and Benefits

Evaluate our antibodies with complete peace of mind. If the antibody does not perform in your application, we will issue a full credit or replacement antibody. Learn more.

Physical form

Rabbit IgG in phosphate buffered saline (without Mg2+ and Ca2+), pH 7.4, 150mM NaCl, 0.02% sodium azide and 50% glycerol.

Disclaimer

Unless otherwise stated in our catalog or other company documentation accompanying the product(s), our products are intended for research use only and are not to be used for any other purpose, which includes but is not limited to, unauthorized commercial uses, in vitro diagnostic uses, ex vivo or in vivo therapeutic uses or any type of consumption or application to humans or animals.


Still not finding the right product?

Explore all of our products under

또는

제품 선택 도구}를 사용하여 선택의 폭을 좁혀보세요.


저장 등급

10 - Combustible liquids

wgk

nwg

flash_point_f

Not applicable

flash_point_c

Not applicable



가장 최신 버전 중 하나를 선택하세요:

시험 성적서(COA)

Lot/Batch Number

It looks like we've run into a problem, but you can still download Certificates of Analysis from our 문서 section.

도움이 필요하시면 연락하세요. 고객 지원 부서

이 제품을 이미 가지고 계십니까?

문서 라이브러리에서 최근에 구매한 제품에 대한 문서를 찾아보세요.

문서 라이브러리 방문



Dihydromyricetin protects against liver ischemia/reperfusion induced apoptosis via activation of FOXO3a-mediated autophagy.
Chen Y, et al.
Oncotarget, 7(47), 76508-76508 (2016)
Histone Demethylation and Toll?like Receptor 8?Dependent Cross?Talk in Monocytes Promotes Transdifferentiation of Fibroblasts in Systemic Sclerosis Via Fra?2.
Ciechomska M, et al.
Arthritis and Rheumatism, 68(6), 1493-1504 (2016)
Yongbiao Chen et al.
Oncotarget, 7(47), 76508-76522 (2016-10-30)
Liver ischemia and reperfusion (I/R) injury is characterized by defective liver autophagy accompanied by alterations to the endogenous defense system. Dihydromyricetin (DHM) is a natural flavonoid that demonstrates a wide range of physiological functions, and has been implicated as a



국제 무역 품목 번호

SKUGTIN
SAB4500352-100UG04061837173783