콘텐츠로 건너뛰기
Merck

SAB4200398

Anti-TFRC antibody produced in rabbit

~1.0 mg/mL, affinity isolated antibody

동의어(들):

Anti-CD71, Anti-TFR, Anti-TFR1, Anti-TR, Anti-TRFR, Anti-Transferrin receptor (p90, CD71), Anti-Transferrin receptor protein 1, Anti-p90, AntiT9

조직 및 계약 가격을 보려면 로그인를 클릭합니다.

크기 선택

보기 변경

제품정보 (DICE 배송 시 비용 별도)

NACRES:
NA.41
UNSPSC Code:
12352203
Conjugate:
unconjugated
Clone:
polyclonal
Application:
IF, WB
Citations:
8
기술 서비스
도움이 필요하신가요? 저희 숙련된 과학자 팀이 도와드리겠습니다.
도움 문의


biological source

rabbit

Quality Level

conjugate

unconjugated

antibody form

affinity isolated antibody

antibody product type

primary antibodies

clone

polyclonal

form

buffered aqueous solution

mol wt

antigen ~90 kDa

species reactivity

mouse, rat, human

concentration

~1.0 mg/mL

technique(s)

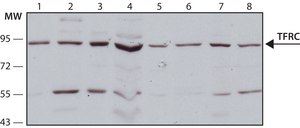
indirect immunofluorescence: 10-20 μg/mL using rat NRK cells, western blot: 2.5-5.0 μg/mL using whole extracts of human U-2-OS and mouse Neuro-2a cells

UniProt accession no.

shipped in

dry ice

storage temp.

−20°C

target post-translational modification

unmodified

Gene Information

human ... TFRC(7037)
mouse ... Tfrc(22042)
rat ... Tfrc(64678)

General description

Transferrin receptor (TFRC), also known as p90, CD71, TFR and TFR1, is a transmembrane glycoprotein. It is composed of two disulphide-bonded sub-units, contains three N-linked glycan units and is post-translationally modified with phosphate and fatty acyl groups.

Immunogen

synthetic peptide corresponding to an internal sequence of human TFRC, conjugated to KLH

Application

Anti-TFRC antibody produced in rabbit has been used in immunoblotting and immunofluorescence.

Biochem/physiol Actions

Transferrin receptor (TFRC) mediates cellular iron uptake. It binds iron bound transferrin on the cell surface, and the receptor ligand complex undergoes endocytosis via clathrin coated pits. Endosomal acidification leads to iron release, which is transported to the cytosol or to the mitochondria in erythroid cells. The apotransferrin receptor complex is then recycled to the cell surface, where the affinity of apotransferrin for TFRC drops, resulting in its dissociation. TFRC is necessary for development of erythrocytes and the nervous system.

Physical form

solution in 0.01 M phos­phate buffered saline, pH 7.4, containing 15 mM sodium azide

Disclaimer

Unless otherwise stated in our catalog or other company documentation accompanying the product(s), our products are intended for research use only and are not to be used for any other purpose, which includes but is not limited to, unauthorized commercial uses, in vitro diagnostic uses, ex vivo or in vivo therapeutic uses or any type of consumption or application to humans or animals.


Still not finding the right product?

Explore all of our products under

또는

제품 선택 도구}를 사용하여 선택의 폭을 좁혀보세요.


저장 등급

10 - Combustible liquids

flash_point_f

Not applicable

flash_point_c

Not applicable



가장 최신 버전 중 하나를 선택하세요:

시험 성적서(COA)

Lot/Batch Number

It looks like we've run into a problem, but you can still download Certificates of Analysis from our 문서 section.

도움이 필요하시면 연락하세요. 고객 지원 부서

이 제품을 이미 가지고 계십니까?

문서 라이브러리에서 최근에 구매한 제품에 대한 문서를 찾아보세요.

문서 라이브러리 방문


관련 콘텐츠


Regulation of cellular iron metabolism
Wang J and Pantopoulos K
The Biochemical Journal, 434(3), 365-381 (2011)
Transferrin receptor gene and protein expression and localization in human IUGR and normal term placentas
Mando C, et al.
Placenta, 32(1), 44-50 (2011)
1.6 Mb deletion in chromosome band 3q29 associated with eye abnormalities
Tyshchenko N, et al.
European Journal of Medical Genetics, 52(2-3), 128-130 (2009)



국제 무역 품목 번호

SKUGTIN
SAB4200398-200UL04061838036209