콘텐츠로 건너뛰기
Merck

PLA0108

Rabbit anti-DDB1 Antibody, Affinity Purified

Powered by Bethyl Laboratories, Inc.

동의어(들):

127kDa, DDB p127 subunit, DDBA, DNA damage-binding protein a, Damage-specific DNA-binding protein 1, HBV X-associated protein 1, UV-DDB 1, UV-DDB1, UV-damaged DNA-binding factor, UV-damaged DNA-binding protein 1, XAP-1, XAP1, XPCE, XPE, XPE-BF, XPE-binding factor, damage-specific DNA binding protein 1, damage-specific DNA binding protein 1 (127kD), xeroderma pigmentosum group E-complementing protein

조직 및 계약 가격을 보려면 로그인를 클릭합니다.

크기 선택

보기 변경

제품정보 (DICE 배송 시 비용 별도)

NACRES:
NA.41
UNSPSC Code:
12352203
Conjugate:
unconjugated
Clone:
polyclonal
Application:
IHC, IP, WB
Citations:
-
기술 서비스
도움이 필요하신가요? 저희 숙련된 과학자 팀이 도와드리겠습니다.
도움 문의


biological source

rabbit

Quality Level

conjugate

unconjugated

antibody form

affinity purified immunoglobulin

antibody product type

primary antibodies

clone

polyclonal

species reactivity

human, mouse

concentration

0.2 mg/mL

technique(s)

immunohistochemistry: 1:500- 1:2,000, immunoprecipitation (IP): 2-5 μg/mg, western blot: 1:1,000- 1:10,000

accession no.

Q13289

UniProt accession no.

shipped in

wet ice

storage temp.

2-8°C

target post-translational modification

unmodified

Gene Information

rabbit ... DDB1(1642)

Immunogen

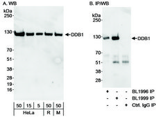
The epitope recognized by PLA0108 maps to a region between residue 1100 and the C-terminus (residue 1140) of human damage-specific DNA binding protein 1 using the numbering given in TrEMBL entry Q13289 (GeneID 1642).

Physical form

Tris-buffered Saline containing 0.1% BSA containing 0.09% Sodium Azide

Other Notes

DDB1 (DNA Damage Binding Protein 1) is a subunit of the DNA damage-binding protein complex (DDB) involved in DNA repair. As part of a complex with Cul4-based ubiquitin ligase, Cul4-Ddb1 can directly modify chromatin through the ubiquitination of histones as well as ubiquitinate other chromatin bound factors. A deficiency in Cul4-Ddb1 ubiquitin ligase has been associated with xeroderma pigmentosum, a heritable disease characterized by defects in nucleotide excision repair and skin cancer development.

Disclaimer

Unless otherwise stated in our catalog or other company documentation accompanying the product(s), our products are intended for research use only and are not to be used for any other purpose, which includes but is not limited to, unauthorized commercial uses, in vitro diagnostic uses, ex vivo or in vivo therapeutic uses or any type of consumption or application to humans or animals.


Still not finding the right product?

제품 선택 도구}를 사용하여 선택의 폭을 좁혀보세요.


저장 등급

12 - Non Combustible Liquids

wgk

WGK 1

flash_point_f

Not applicable

flash_point_c

Not applicable



가장 최신 버전 중 하나를 선택하세요:

시험 성적서(COA)

Lot/Batch Number

It looks like we've run into a problem, but you can still download Certificates of Analysis from our 문서 section.

도움이 필요하시면 연락하세요. 고객 지원 부서

이 제품을 이미 가지고 계십니까?

문서 라이브러리에서 최근에 구매한 제품에 대한 문서를 찾아보세요.

문서 라이브러리 방문



국제 무역 품목 번호

SKUGTIN
PLA0108-100UL04061837722196