Water for Histology Staining
Estelle Riche, Ph.D., Stephane Mabic, Ph.D.
Lab Water Solutions, MilliporeSigma, Guyancourt, France
Contaminants present in water used for tissue staining can affect staining outcomes. This article shows the benefits of using consistent-quality pure water to obtain reliable and high-quality results.
Section Overview
The Importance of Water Quality in Histology
Histology is an important tool for pathologists. It plays a key role in diagnosing and monitoring cancer and other diseases, as well as detecting and identifying pathogens. Water is the main component of many histology reagents and buffers1 and is also used for rinsing and in floatation baths. Poor quality water may alter the quality of staining by generating artifacts, affecting color intensity or specificity, or reducing the chemical stability of dyes.2 Furthermore, the reproducibility of staining results can be impacted by tap water composition, which may vary from one season to another in terms of its pH, and ionic and organic content. Deionized water and distilled water, whether purchased in bottles or produced in-house from tap water, may also vary in quality and degrade with time. Today, histotechnologists can rely on more sophisticated water purification technologies that deliver reagent water of constant and reliable quality.
Study of the Impact of Water Quality in Histology
In the present study, we tested if Type 2 pure water purified by a system similar to the Milli-Q® IX pure water system that combines advanced reverse osmosis, Elix® electrodeionization (EDI) and a bactericidal UV lamp, could be successfully used for histology staining. Throughout this article, this water is referred to as “Elix® pure water”.
Special Stains: Grocott’s Methenamine Silver (GMS) Stain
Some special stains, such as silver stains, are well known for their sensitivity to water contaminants.3 One such stain is Grocott’s Methenamine Silver (GMS) stain, which was used to detect Pneumocystis jirovecii (previously P. carinii) in infected lung tissue as proof of principle. Solutions of methenamine silver nitrate were prepared with Elix® pure water, distilled water or deionized water.
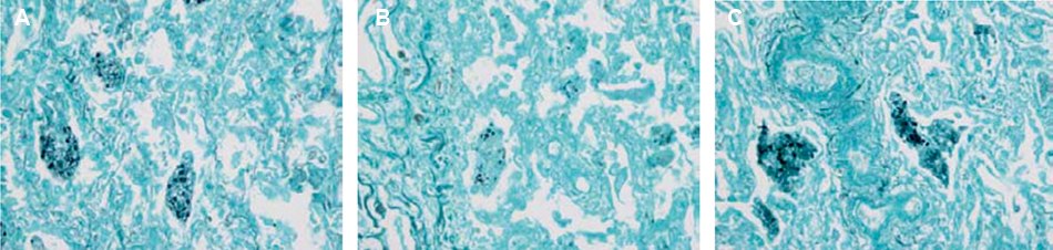
The GMS staining yielded high-quality results with no background staining when Elix® pure water was used to prepare reagents (Figure 1A). Distilled water (B) lightened the staining of the organisms but did not contribute to background staining. Deionized water (C) appeared to intensify background staining as well as staining of P. jirovecii. Pure water from a Milli-Q® IX water purification system can therefore substitute for distilled or deionized water called for in GMS staining procedures.

Figure 1.Photomicrographs of lung tissue infected with Pneumocystis jirovecii and stained with GMS stain. Methenamine silver nitrate solutions were prepared with (A) Elix® pure water, (B) distilled water, and (C) deionized water. Pictures courtesy of E. Macrea and W. Lange.
Figure 2 illustrates how GMS staining can be affected by water impurities such as metals [chromium, copper, nickel (D-F)], organic molecules [humic acid (G), commonly found in tap water], silica (H), and bacteria by-products [endotoxins (I)]. The three metal sulfates tested reduced the intensity of the P. jirovecii staining, when compared to solutions prepared with Elix® pure water (Figure 1A). Copper also led to the staining of elastic fibers (E). Sodium silicate (H) and endotoxins (I) suppressed P. jirovecii staining and led to excessive background staining. Humic acid (H) reduced the intensity of P. jirovecii staining and led to excessive background staining of the elastic fibers, reticulum and collagen. The results illustrate that, for optimal silver staining results, it is best to use pure water free of these impurities.

Figure 2.Methenamine silver nitrate solutions were prepared with Elix® pure water from a Milli-Q® pure water system and contaminants were added: (D) chromium, (E) copper, (F) nickel, (G) humic acid, (H) silica, (I) endotoxin. Pictures courtesy of E. Macrea and W. Lange.
Hematoxylin and Eosin (H&E) Stain
H&E is probably the most widely used stain in histology laboratories as it shows a broad range of cytoplasmic, nuclear, and extracellular matrix features. Tap water may not give consistent bluing due to fluctuations in pH, or may contain contaminants that can destain hematoxylin, such as iron, sulfur or chlorine.4
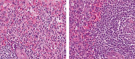
In this experiment, tap water was replaced with Elix® pure water from a water purification system similar to the Milli-Q® IX system for all the rinsing steps and for preparing the bluing reagent. This water gave equivalent staining specificity and color compared to tap water (Figure 3). Using purified water minimizes the risk of contaminant interference with the staining and provides consistency without compromising staining quality.

Figure 3.Photomicrographs of tonsil tissue stained with H&E. Rinsing steps and Scott’s tap water substitute were prepared with (A) Elix® pure water and (B) tap water. Pictures courtesy of E. Macrea and W. Lange.
GMS and H&E Staining Procedures
1. Grocott’s Methenamine Silver (GMS) Stain
A commercial GMS kit was used. In the first experiment, solutions of methenamine silver nitrate were prepared with distilled water, deionized water, or Elix® pure water from a Milli-Q® system similar to the Milli-Q® IX pure water system. In the second experiment, solutions were prepared with the Elix® pure water spiked with the following common water contaminants:
- Metals: 1 mg/L or ppm of potassium chromium sulfate, cupric sulfate or nickel sulfate
- Organic molecules: 1 mg/L or ppm of humic acid; 10 ppm of sodium silicate
- Bacteria by-products: 1000 EU/mL of endotoxin.
2. Hematoxylin and Eosin (H&E) Stain
The H&E staining procedure is almost always performed with running tap water for the rinse steps before and after the hematoxylin, differentiation, and bluing steps. In this study, all the rinsing steps, as well as the preparation of the bluing solution (Scott’s tap water substitute), were performed entirely with either tap water or with pure water from a Milli-Q® system similar to the Milli-Q® IX system.
Benefits of Consistent Water Quality in Histology
The techniques used in modern biomedical laboratories rely on high-quality reagents to yield reliable and reproducible results. Water may contain contaminants that interfere with histology results:
- Ions and metals: may affect pH and interact with dyes
- Organics and endotoxins: may affect the staining process
- Bacteria and particles: may deposit on slides and create artifacts
The combination of several water purification technologies [advanced reverse osmosis, Elix® electrodeionization (EDI), and a bactericidal UV lamp] delivers pure water of a consistent and reliable quality, which is suitable for a wide array of stains, from commonly used and robust ones, such as H&E staining, to more delicate ones, such as silver staining.
Pure water from a Milli-Q® IX pure water system can be used whenever distilled or deionized water is required in histology protocols, as it gives high-quality results while reducing the risk of interferences due to water contaminants. Finally, a water purification system with online water quality monitoring as well as an embedded e-solution data management tool, ensuring data reliability and traceability, is a great asset for laboratories seeking accreditation to standards such as ISO 15189: 2012.5
Contact us if you would like support from a lab water expert in selecting a water system for your lab.
You can also try our Lab Water Selection Guide, an online tool that can help you identify and configure your optimal water purification system.
Acknowledgments
The authors thank Ethel Macrea, HT (ASCP) QIHC and Wendy Lange, HT (ASCP) for their technical expertise and support.
Related Products
References
To continue reading please sign in or create an account.
Don't Have An Account?