Skip to Content
MilliporeSigma

Histology / Histopathology

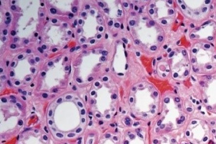
Histopathological examination of H&E stained paraffin-embedded renal tissue

Histology in Clinical Diagnostics

Histology is a field of biology and medicine dedicated to elucidating tissue structure, function, and disease states. The principle techniques of histology involve the use of various chemical stains to interrogate tissue samples ranging from single-celled organisms, plants, fungi, and animals, which are optimized for unique targets. Histopathology involves the clinical application of histological methods to examine diseased cells and tissues for diagnostic or prognostic analysis of various medical conditions like cancer and multi-organ diseases. It is also used to identify pathogens like bacteria, fungi, and parasites indicates the presence of some heavy metals and other toxins.



Featured Categories

Close-up view of a microscope slide and chamber, showcasing the intricate details and structure used for scientific analysis and experiments
Microscope Slides & Chambers

We offer a complete selection of microscopy reagents, tools, and glassware for research and clinical lab analysis from Corning®, BRAND®, PELCO®, and other reliable specialty brands.

Shop Products
Milli-Q® IQ 7003/05/10/15 Ultrapure and Pure Water Purification System - Type 1 and Type 2 lab water purification system with production and tank units plus pure and ultrapure water dispensers.
Milli-Q® Benchtop Lab Water Purification Systems

Milli-Q® systems offer innovative water purification technologies engineered to...

Shop Products

Despite the growing usage of antibody immunolabeling techniques in research and medicine today, clinical diagnostics remains largely centered on analysis based on well-established stains and dyes classified as routine, differentiating, and special. Routine stains like H&E are used as ubiquitous background stains. Differentiating stains include combinations of stains and counterstains to reveal more anatomical detail. Special stains are used in more detailed analyses, where closely related cell types need to be differentiated. Although some standard protocols are over 100 years old, histological staining is a vibrant and evolving field.

Microscopic view of stained tissue sample under a microscope

Staining in Histopathology

Numerous staining techniques were initially developed in an empirical way for analyzing tissue sections. The most specific staining mixtures were then developed for the staining and recognition of cell nuclei, cytoplasm, intra- and extra-cellular components.

Classical techniques, like H&E and Fuchsin staining, are adequate for most diagnoses (90-95%) however, some diagnosis require additional differential staining methods. These special methods (e.g., Wright-Giemsa, Schiff staining) enable the evaluation of additional morphological criteria and functional properties, ultimately making the final diagnosis more reliable. Additional techniques are now used to augment histopathologic analysis including immunohistochemical methods, DNA hybridization, fluorescence in situ hybridization, PCR, and flow cytometry.

Importance of Standardized Histological Staining

Diagnostic cytology, histology, and immunohistochemistry rely upon the dye, stain, or immune probe binding to the key cell and/or tissue chemical structures, that indicate the cellular architecture or pathological state. Thus, tissue structure preservation and permeability are crucial for consistent and reliable staining. Staining effectiveness can be influenced by tissue fixation type and time, tissue thickness, temperature, and target accessibility. Histopathology laboratories typically utilize standardized fixation and staining protocols with careful reagent management to minimize artifacts, high background, and false positives. Further, analysis of the tissue by subsequent staining, immunoprobing, or molecular techniques depends on the initial preservation and handling of the samples with established protocols.

Document Search
Looking for More Specific Information?

Visit our document search for data sheets, certificates and technical documentation.

Find Documents

      Sign In To Continue

      To continue reading please sign in or create an account.

      Don't Have An Account?