Identification of Microorganisms Based on Color
Color is important in our lives as a tool for differentiation.
Biochemical tests commonly use a color system.
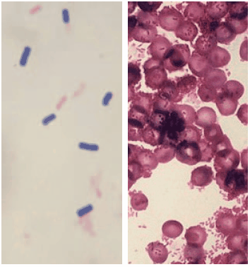
For microbiologists, the most fundamental stain was developed in 1884 by the Danish bacteriologist Hans Christian Gram. The Gram Stain allows the determination of morphology, dividing bacteria into two large groups. Bacteria that are stained purple are called “Grampositive”. Those that stain pink are called “Gram-negative”. This staining technique provides information about cell wall structure as Gram-positive organisms have only a grid of peptidoglycan and Gram-negative cells posses an additional lipid bilayer. This information is an important predictor of reaction to antibiotics as many are only effective on Gram-positive bacteria. The Gram Stain remains important for identification of bacteria, and forms the basis for the selection for biochemical tests. (Table 1 and Figure 1).

Figure 1. Gram staining (on the left Gram-positive Bacilus cereus, on the right Gram-negative Citrobacter).
Often a rapid, simple, low cost method is required for confirming or determining the bacteria in water or food control. One such method uses a chromogenic and fluorescent substrate in combination with selective media. Another method is to use biochemical test reagents. All biochemical tests are based on the selective detection of characteristic enzyme activity for the different microorganisms. The targets are to differentiate pathogens, indicate of specific problems and the desired organism present at certain level. In most cases an identification flow chart (Figure 2) can help to demonstrate a simple way. Within such ID flow charts there are of course other tests that do not use color systems like catalase test (production of air bubbles), grow or inhibition test, microscopic tests etc.
One of the best-known and most used tests is the indole test (Kovac’s reagents) where a color complex mechanism is used. The ability of microorganisms to split indole (benzopyrrole) from the tryptophan molecule by tryptophanases is used to differentiate Enterobacteriaceae. Tryptophanase cleaves tryptophan to indole, pyruvate and NH3. p-Aminobenzaldehyde present in the reagent binds with indole to form a cherry-red complex, soluble in alcohol, ether and chloroform.

Figure 2. Gram staining (on the left Gram-positive Bacilus cereus, on the right Gram-negative Citrobacter).

Figure 3. Gram staining (on the left Gram-positive Bacilus cereus, on the right Gram-negative Citrobacter).
As isoamylic alcohol or butanol is in the reagent it gives an upper phase, which will be cherry-red in a positive reaction. It is recommended to use a growth media without glucose and a peptone with a high tryptophane content. The Kovac’s Reagent is added to a 24-48 hour old culture e.g. incubated in Tryptone Water (70194). The incubation time can be reduced to 4 hours by inoculating more cell material in a smaller volume. Slight shaking helps the extraction and within less than a minute a cherry-red coloration should develop to indicate a positive reaction. A negative reaction shows no color change.
Another frequently used method is the determination of an enzyme reaction detected by an indicator. The most commonly used indicators are pH indicators but there are others such as redox. The simplest system is the detection of fermentation from a certain sugar like dextrose, lactose or other carbohydrates. This system is found in many media like Glucose Azide Broth with bromo cresol purple as an indicator (Figure 4) and Phenol Red Broth, which is based on the detection of the acid produced in the fermentation process by a pH-indicator that changes color.

Figure 4. Gram staining (on the left Gram-positive Bacilus cereus, on the right Gram-negative Citrobacter).
There are other systems based on the production of hydrogen sulphide such as ammonium ferric citrate (media) or lead acetate (test strips). An interesting system is the ß-Lactamase Test kit, which is a rapid acidimetric test for detection of ß-lactamase activity of microorganisms. It is based on hydrolysis of the ß-lactam ring in benzylpenicillin, which results in the production of penicilloic acid. This process causes acidification of the bacterial suspension, and changes the colour of the acid-based indicator. In presence of microorganisms with ß-lactamase, the solution turns from red to yellow. The result of the reaction is read after 10-30 minutes (Figure 5).
There are alot of products where color reactions are used for differentiation and identification and Sigma-Aldrich lists all these products under the following product groups:
Identification Tests & Reagents
i. Biochemical Reagents
ii. Biochemical Discs and Strips
iii. Test Kits
Media
i. Biochemical Identification Media
ii. Chromogenic Media
iii. Fluorogenic Media

Figure 5. ß- Lactamase Test kit (positive reaction is shown by a color change to yellow)
Materials
To continue reading please sign in or create an account.
Don't Have An Account?