Skip to Content
MilliporeSigma

ZRB3428

Anti-S100-A10 Antibody, clone 2D23 ZooMAb® Rabbit Monoclonal

newenhanced validation
greener alternative

recombinant, expressed in HEK 293 cells

Synonym(s):

Calpactin I light chain, Calpactin-1 light chain, Cellular ligand of annexin II, Protein S100-A10, S100 calcium-binding protein A10, p10 protein, p11

Sign Into View Organizational & Contract Pricing

Select a Size


About This Item

UNSPSC Code:
12352203
Technical Service
Need help? Our team of experienced scientists is here for you.
Let Us Assist
Technical Service
Need help? Our team of experienced scientists is here for you.
Let Us Assist

biological source

rabbit

Quality Level

recombinant

expressed in HEK 293 cells

conjugate

unconjugated

antibody form

purified antibody

antibody product type

primary antibodies

clone

2D23, recombinant monoclonal

description

recombinant, expressed in HEK 293 cells

product line

ZooMAb® learn more

form

lyophilized

mol wt

calculated mol wt 11.20 kDa
observed mol wt ~11 kDa

purified by

using Protein A

species reactivity

rat, human, mouse

species reactivity (predicted by homology)

monkey, horse

packaging

antibody small pack of 25

greener alternative product characteristics

Waste Prevention
Designing Safer Chemicals
Design for Energy Efficiency
Learn more about the Principles of Green Chemistry.

enhanced validation

recombinant expression
Learn more about Antibody Enhanced Validation

sustainability

Greener Alternative Product

technique(s)

affinity binding assay: suitable
immunohistochemistry: suitable
western blot: suitable

isotype

IgG

epitope sequence

N-terminal half

Protein ID accession no.

UniProt accession no.

greener alternative category

shipped in

ambient

storage temp.

2-8°C

Gene Information

human ... S100A10(6281)

General description

Protein S100-A10 (UniProt: P60903; also known as Calpactin I light chain, Calpactin-1 light chain, Cellular ligand of annexin II, S100 calcium-binding protein A10, p10 protein, p11) is encoded by the S100A10 (also known as ANX2LG, CAL1L, CLP11) gene (Gene ID: 6281) in human. This gene is located on human chromosome 1q21. S100-A10 belongs to the S100 protein family characterized by its EF-hand motif, although it is unique in that it does not bind calcium. S100-A10 is required for trafficking of TRPV5 and TRPV6 (epithelial Ca2+ channels). S100-A10 along with annexin 2, participates in several biological processes such as endocytosis, exocytosis and membrane-cytoskeleton interactions. It controls plasma membrane ion channels and cytosolic phospholipase A2. S100-A10 is primarily localized in the cytoplasm and/or nucleus, and is widely expressed in neural and non-neural cell types, as well as in several cancers. S100-A10 expression has been associated with the hallmarks of cancer in several cancers, such as the brain, breast, lung, colorectal, kidney, ovarian, acute lymphoblastic leukemia, and pancreatic. Elevated levels of S100-A10 are observed in squamous non-cell lung cancer, anaplastic large cell lymphoma, renal cell carcinoma and pediatric intracranial ependymoma. S100-A10 plays an important role in a variety of tumor as well as non-tumor diseases. Research suggests it′s inflammation-related actions and potential mediatory roles in depression disorder. Experimental evidence implicates S100-A10 involvement in the mechanism of action of antidepressant drugs and electroconvulsive seizures due to its interaction with specific serotonin receptors. S1000-A10 plays an important role in depression-like character in rodents. This ZooMAb® recombinant monoclonal antibody, generated by our proprietary technology, offers significantly enhanced specificity, affinity, reproducibility, and stability over conventional monoclonals. (Ref.: Okura, GC., et al., (2023). Biomolecules. 13(10); 1450; Li, C., et al. (2020). J. Cancer. 11(4); 826-836).
ZooMAb® antibodies represent an entirely new generation of recombinant monoclonal antibodies. Each ZooMAb® antibody is manufactured using our proprietary recombinant expression system, purified to homogeneity, and precisely dispensed to produce robust and highly reproducible lot-to-lot consistency. Only top-performing clones are released for use by researchers. Each antibody is validated for high specificity and affinity across multiple applications, including its most commonly used application. ZooMAb® antibodies are reliably available and ready to ship when you need them.

Immunogen

KLH-conjugated linear peptide corresponding to 18 amino acids from the N-terminal half of human S100-A10.

Application

Quality Control Testing

Evaluated by Western Blotting in Saos-2 cell lysate.

Western Blotting Analysis: A 1:10,000 dilution of this antibody detected S100-A10 in Saos-2 cell lysate.

Tested Applications

Western Blotting Analysis: A 1:1,000 dilution from a representative lot detected S100-A10 in mouse lung tissue lysate and a 1:10,000 dilution in rat lung tissue and HT-29 cell lysates.

Affinity Binding Assay: A representative lot of this antibody bound S100-A10 peptide with at least ten thousand-fold (10,000X) higher affinity than with non-specific control peptide.

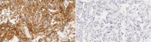
Immunohistochemistry (Paraffin) Analysis: A 1:100 dilution from a representative lot detected S100-A10 in human lung tissue sections.

Note: Actual optimal working dilutions must be determined by end user as specimens and experimental conditions may vary with the end user.

Biochem/physiol Actions

Clone 2D23 is a ZooMAb® recombinant rabbit monoclonal antibody that specifically detects S100-A10. It targets an epitope within 18 amino acids from the N-terminal half.

Physical form

Purified recombinant rabbit monoclonal antibody IgG, lyophilized in PBS with 5% Trehalose, normal appearance a coarse or translucent resin. The PBS/trehalose components in the ZooMAb formulation can have the appearance of a semi-solid (bead like gel) after lyophilization. This is a normal phenomenon. Please follow the recommended reconstitution procedure in the data sheet to dissolve the semi-solid, bead-like, gel-appearing material. The resulting antibody solution is completely stable and functional as proven by full functional testing. Contains no biocide or preservatives, such as azide, or any animal by-products. Larger pack sizes provided as multiples of 25 µL.

Preparation Note

300 µg/mL after reconstitution at 25 µL per vial. Please refer to guidance on suggested starting dilutions and/or titers per application and sample type.
Recommend storage of lyophilized product at 2-8°C; Before reconstitution, micro-centrifuge vials briefly to spin down material to bottom of the vial; Reconstitute each vial by adding 25 µL of filtered lab grade water or PBS; Reconstituted antibodies can be stored at 2-8°C, or -20°C for long term storage. Avoid repeated freeze-thaws.

Other Notes

We are committed to bringing you greener alternative products, which adhere to one or more of the 12 Principles of Green Chemistry. This antibody is preservative-free, produced without the harm or sacrifice of animals and exceptionally stable to allow for ambient shipping and storage if needed, and thus aligns with "Waste Prevention", "Designing Safer Chemicals" and "Design for Energy Efficiency". Click here for more information.

Legal Information

ZooMAb is a registered trademark of Merck KGaA, Darmstadt, Germany

Disclaimer

Unless otherwise stated in our catalog or other company documentation accompanying the product(s), our products are intended for research use only and are not to be used for any other purpose, which includes but is not limited to, unauthorized commercial uses, in vitro diagnostic uses, ex vivo or in vivo therapeutic uses or any type of consumption or application to humans or animals.

Not finding the right product?  

Try our Product Selector Tool.


Choose from one of the most recent versions:

Certificates of Analysis (COA)

Lot/Batch Number

It looks like we've run into a problem, but you can still download Certificates of Analysis from our Documents section.

If you need assistance, please contact Customer Support

Already Own This Product?

Find documentation for the products that you have recently purchased in the Document Library.

Visit the Document Library

Our team of scientists has experience in all areas of research including Life Science, Material Science, Chemical Synthesis, Chromatography, Analytical and many others.

Contact Technical Service