Skip to Content
MilliporeSigma

ZRB3229

Anti-Caspase-2 Antibody, clone 1H14 ZooMAb® Rabbit Monoclonal

greener alternative

recombinant, expressed in HEK 293 cells

Synonym(s):

Caspase-2 subunit p12, Caspase-2 subunit p13, Caspase-2 subunit p18, ICH1, NEDD2, Neural precursor cell expressed developmentally down-regulated protein 2 (NEDD-2), Protease ICH-1

Sign In to View Organizational & Contract Pricing.

Select a Size

Change View

About This Item

UNSPSC Code:
12352203
NACRES:
NA.46
Technique(s):
affinity binding assay: suitable, immunohistochemistry: suitable, western blot: suitable
Uniprot accession no.:
Application:
IHC, WB, affinity binding assay
Citations:
-
Technical Service
Need help? Our team of experienced scientists is here for you.
Let Us Assist


biological source

rabbit

Quality Level

recombinant

expressed in HEK 293 cells

conjugate

unconjugated

antibody form

purified antibody

antibody product type

primary antibodies

clone

1H14, recombinant monoclonal

description

recombinant, expressed in HEK 293 cells

product line

ZooMAb® learn more

form

lyophilized

mol wt

calculated mol wt 50.69 kDa, observed mol wt ~51/16 kDa

purified by

using Protein A

species reactivity

human

packaging

antibody small pack of 25

greener alternative product characteristics

Waste Prevention
Designing Safer Chemicals
Design for Energy Efficiency
Learn more about the Principles of Green Chemistry.

enhanced validation

recombinant expression
Learn more about Antibody Enhanced Validation

sustainability

Greener Alternative Product

technique(s)

affinity binding assay: suitable, immunohistochemistry: suitable, western blot: suitable

isotype

IgG

epitope sequence

C-terminal

Protein ID accession no.

UniProt accession no.

greener alternative category

shipped in

ambient

storage temp.

2-8°C

Gene Information

human ... CASP2(835)

General description

Caspase-2 (UniProt: P42575; also known as EC:3.4.22.55, CASP-2, Neural precursor cell expressed developmentally down-regulated protein 2 (NEDD-2), Protease ICH-1) is encoded by the CASP2 (also known as ICH1, NEDD2) gene (Gene ID: 835) in human. Caspase-2 is an evolutionary conserved cysteine protease that plays a dual role in apoptosis and non-apoptotic processes such as DNA damage response and tumor suppression. It consists of a prodomain with a caspase recruitment domain (CARD), followed by a large and small subunit that form its catalytic core. Caspase-2 is synthesized as an inactive zymogen and requires dimerization and cleavage for activation. It is expressed ubiquitously, with high levels in the brain, liver, and immune cells. Subcellular localization varies between the cytoplasm and nucleus, where it participates in DNA damage-induced apoptosis through the PIDDosome complex. Caspase-2 interacts with proteins such as PIDD1 and CRADD within the PIDDosome, initiating apoptotic signaling via cleavage of downstream substrates like Bid. It also regulates mitochondrial integrity and oxidative stress pathways. Dysregulation of caspase-2 activity has been implicated in diseases such as cancer, neurodegeneration, and aging. Its tumor suppressor functions are highlighted by its ability to eliminate cells with chromosomal instability. This ZooMAb® recombinant monoclonal antibody, generated by our proprietary technology, offers significantly enhanced specificity, affinity, reproducibility, and stability over conventional monoclonals.
ZooMAb® antibodies represent an entirely new generation of recombinant monoclonal antibodies. Each ZooMAb® antibody is manufactured using our proprietary recombinant expression system, purified to homogeneity, and precisely dispensed to produce robust and highly reproducible lot-to-lot consistency. Only top-performing clones are released for use by researchers. Each antibody is validated for high specificity and affinity across multiple applications, including its most commonly used application. ZooMAb® antibodies are reliably available and ready to ship when you need them.

Immunogen

KLH-conjugated linear peptide corresponding to 23 amino acids from the C-terminal region of human Caspase-2.

Application

Quality Control Testing

Evaluated by Western Blotting in Jurkat cells lysate.

Western Blotting Analysis: A 1:10,000 dilution of this antibody detected Caspase-2 in Jurkat cells lysate.

Tested Applications

Western Blotting Analysis: A 1:10,000 dilution from a representative lot detected Caspase-2 in lysates from Jurkat cells treated with Paclitaxel (5 M, overnight) and a 1:1,000 dilution in lysates from untreated HeLa cells and HeLa cells treated with Staurosporine (0.5 M, 6 h.)

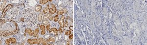
Immunohistochemistry (Paraffin) Analysis: A 1:100 dilution from a representative lot detected Caspase-2 in human kidney tissue sections.

Affinity Binding Assay: A representative lot of this antibody bound with Caspase-2 peptide with at least ten thousand-fold (10,000X) higher affinity than with non-specific control peptide.

Note: Actual optimal working dilutions must be determined by end user as specimens and experimental conditions may vary with the end user.

Biochem/physiol Actions

Clone 1H14 is a ZooMAb® rabbit recombinant monoclonal antibody that detects Caspase-2. It targets an epitope within 23 amino acids from the C-terminal region.

Physical form

Purified recombinant rabbit monoclonal antibody IgG, lyophilized in PBS with 5% Trehalose, normal appearance a coarse or translucent resin. The PBS/trehalose components in the ZooMAb formulation can have the appearance of a semi-solid (bead like gel) after lyophilization. This is a normal phenomenon. Please follow the recommended reconstitution procedure in the data sheet to dissolve the semi-solid, bead-like, gel-appearing material. The resulting antibody solution is completely stable and functional as proven by full functional testing. Contains no biocide or preservatives, such as azide, or any animal by-products. Larger pack sizes provided as multiples of 25 µL.

Preparation Note

300 µg/mL after reconstitution at 25 µL per vial. Please refer to guidance on suggested starting dilutions and/or titers per application and sample type.
Recommend storage of lyophilized product at 2-8°C; Before reconstitution, micro-centrifuge vials briefly to spin down material to bottom of the vial; Reconstitute each vial by adding 25 µL of filtered lab grade water or PBS; Reconstituted antibodies can be stored at 2-8°C, or -20°C for long term storage. Avoid repeated freeze-thaws.

Other Notes

We are committed to bringing you greener alternative products, which adhere to one or more of the 12 Principles of Green Chemistry. This antibody is preservative-free, produced without the harm or sacrifice of animals and exceptionally stable to allow for ambient shipping and storage if needed, and thus aligns with "Waste Prevention", "Designing Safer Chemicals" and "Design for Energy Efficiency". Click here for more information.

Legal Information

ZooMAb is a registered trademark of Merck KGaA, Darmstadt, Germany

Disclaimer

Unless otherwise stated in our catalog or other company documentation accompanying the product(s), our products are intended for research use only and are not to be used for any other purpose, which includes but is not limited to, unauthorized commercial uses, in vitro diagnostic uses, ex vivo or in vivo therapeutic uses or any type of consumption or application to humans or animals.


Still not finding the right product?

Try our Product Selector Tool to narrow your options


Storage Class

11 - Combustible Solids

wgk

WGK 1

flash_point_f

Not applicable

flash_point_c

Not applicable



Choose from one of the most recent versions:

Certificates of Analysis (COA)

Lot/Batch Number

It looks like we've run into a problem, but you can still download Certificates of Analysis from our Documents section.

If you need assistance, please contact Customer Support

Already Own This Product?

Find documentation for the products that you have recently purchased in the Document Library.

Visit the Document Library



Global Trade Item Number

SKUGTIN
ZRB3229-25UL04065273085846
ZRB3229-4X25UL04065273085853