ZRB2996
Anti-IL-5 Antibody, clone 1B20 ZooMAb® Rabbit Monoclonal

recombinant, expressed in HEK 293 cells
Synonym(s):
B-cell differentiation factor I, Eosinophil differentiation factor, T-cell replacing factor (TRF)
biological source
rabbit
Quality Level
recombinant
expressed in HEK 293 cells
conjugate
unconjugated
antibody form
purified antibody
antibody product type
primary antibodies
clone
1B20, recombinant monoclonal
description
recombinant, expressed in HEK 293 cells
product line
ZooMAb® learn more
form
lyophilized
mol wt
calculated mol wt 15.24 kDa
observed mol wt ~25 kDa
purified by
using Protein A
species reactivity
human
species reactivity (predicted by homology)
monkey
packaging
antibody small pack of 25
greener alternative product characteristics
Waste Prevention
Designing Safer Chemicals
Design for Energy Efficiency
Learn more about the Principles of Green Chemistry.
enhanced validation
recombinant expression
Learn more about Antibody Enhanced Validation
sustainability
Greener Alternative Product
technique(s)
ELISA: suitable
immunocytochemistry: suitable
immunohistochemistry: suitable
western blot: suitable
isotype
IgG
epitope sequence
Internal
Protein ID accession no.
UniProt accession no.
greener alternative category
shipped in
ambient
storage temp.
2-8°C
Gene Information
human ... IL5(3567)
Related Categories
General description
Immunogen
Application
Evaluated by Western Blotting in lysate from human peripheral blood mononuclear cells (PBMC).
Western Blotting Analysis: A 1:10,000 dilution of this antibody detected IL-5 in lysate from human peripheral blood mononuclear cells (PBMC).
Tested Applications
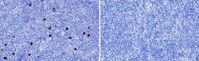
Immunohistochemistry (Paraffin) Analysis: A 1:1,000 dilution from a representative lot detected IL-5 in human tonsil tissue sections.
ELISA Analysis: Serial dilutions from a representative lot detected recombinant human IL-5.
Immunocytochemistry Analysis: A 1:1,000 dilution from a representative lot detected IL-5 in Human peripheral blood mononuclear cells (PBMC). treated with PMA (500 ng/mL), Ionomycin (500 ng/mL), and Brefeldin A (1 g/mL) for 4- 6 hours.
Note: Actual optimal working dilutions must be determined by end user as specimens, and experimental conditions may vary with the end user.
Biochem/physiol Actions
Physical form
Preparation Note
Legal Information
Disclaimer
Not finding the right product?
Try our Product Selector Tool.
Storage Class
11 - Combustible Solids
wgk_germany
WGK 2
flash_point_f
Not applicable
flash_point_c
Not applicable
Choose from one of the most recent versions:
Already Own This Product?
Find documentation for the products that you have recently purchased in the Document Library.
Our team of scientists has experience in all areas of research including Life Science, Material Science, Chemical Synthesis, Chromatography, Analytical and many others.
Contact Technical Service