Skip to Content
MilliporeSigma

ZRB2965

Sigma-Aldrich

Anti-Noxa Antibody, clone 1G4 ZooMAb® Rabbit Monoclonal

enhanced validation
greener alternative

recombinant, expressed in HEK 293 cells

Synonym(s):

PMA-induced protein 1, Phorbol-12-myristate-13-acetate-induced protein 1, Protein Noxa

Sign Into View Organizational & Contract Pricing

Select a Size


About This Item

UNSPSC Code:
12352203
Technical Service
Need help? Our team of experienced scientists is here for you.
Let Us Assist
Technical Service
Need help? Our team of experienced scientists is here for you.
Let Us Assist

biological source

rabbit

Quality Level

recombinant

expressed in HEK 293 cells

conjugate

unconjugated

antibody form

purified antibody

antibody product type

primary antibodies

clone

1G4, recombinant monoclonal

description

recombinant, expressed in HEK 293 cells

product line

ZooMAb® learn more

form

lyophilized

mol wt

calculated mol wt 6.03 kDa
observed mol wt ~15 kDa

purified by

using Protein A

species reactivity

human

packaging

antibody small pack of 25

greener alternative product characteristics

Waste Prevention
Designing Safer Chemicals
Design for Energy Efficiency
Learn more about the Principles of Green Chemistry.

enhanced validation

recombinant expression
Learn more about Antibody Enhanced Validation

sustainability

Greener Alternative Product

technique(s)

affinity binding assay: suitable
immunofluorescence: suitable
immunohistochemistry: suitable
western blot: suitable

isotype

IgGκ

epitope sequence

N-terminal

Protein ID accession no.

UniProt accession no.

greener alternative category

shipped in

ambient

storage temp.

2-8°C

Gene Information

human ... PMAIP1(5366)

General description

Phorbol-12-myristate-13-acetate-induced protein 1 (UniProt: Q13794; also known as PMA-induced protein 1, Immediate-early-response protein APR, Protein Noxa ) is encoded by the NOXA (also known as PMAIP1 ) gene (Gene ID: 5366) in human. Noxa is a member of the Bcl-2 protein family and is characterized by a single BH3 (Bcl-2 Homology 3) motif, which is crucial for its pro-apoptotic activity. Noxa is predominantly localized in the cytosol under normal conditions and upon activation, it translocates to the mitochondria where it exerts its pro-apoptotic function by interacting with mitochondrial Bcl-2 family members. The expression of Noxa is tightly regulated and is primarily induced by p53 under stress conditions, such as DNA damage or oxidative stress. Noxa can also be regulated by other transcription factors and signals depending on the cell type and stimuli. The protein is also known to be highly expressed in adult T-cell leukemia. Noxa plays a significant role in the intrinsic pathway of apoptosis. Its main function is to promote apoptosis through the inhibition of anti-apoptotic Bcl-2 family members and the activation of pro-apoptotic proteins. Noxa can bind to and neutralize Mcl-1, a potent anti-apoptotic protein, thereby releasing pro-apoptotic factors like Bax and Bak, leading to mitochondrial outer membrane permeabilization (MOMP) and subsequent cell death. Noxa is implicated in the pathogenesis of various diseases primarily through its role in apoptosis regulation. In cancer, dysregulation of Noxa expression can contribute to tumorigenesis, tumor progression, and resistance to chemotherapy. Additionally, alterations in Noxa expression have been observed in other pathological conditions like autoimmune diseases and neurodegenerative disorders. Understanding the mechanisms regulating Noxa expression and function could lead to improved strategies for treating diseases associated with apoptosis dysregulation. This ZooMAb® recombinant monoclonal antibody, generated by our proprietary technology, offers significantly enhanced specificity, affinity, reproducibility, and stability over conventional monoclonals. (Ref.: Ploner, C., et al. (2008). Oncogene 27 (Suppl 1), S84 S92).
We are committed to bringing you greener alternative products, which adhere to one or more of the 12 Principles of Green Chemistry. This antibody is preservative-free, produced without the harm or sacrifice of animals and exceptionally stable to allow for ambient shipping and storage if needed, and thus aligns with "Waste Prevention", "Designing Safer Chemicals" and "Design for Energy Efficiency". Click here for more information.
ZooMAb® antibodies represent an entirely new generation of recombinant monoclonal antibodies. Each ZooMAb® antibody is manufactured using our proprietary recombinant expression system, purified to homogeneity, and precisely dispensed to produce robust and highly reproducible lot-to-lot consistency. Only top-performing clones are released for use by researchers. Each antibody is validated for high specificity and affinity across multiple applications, including its most commonly used application. ZooMAb® antibodies are reliably available and ready to ship when you need them.

Immunogen

KLH-conjugated linear peptide corresponding to 21 amino acids from the N-terminal region of human Noxa.

Application

Quality Control Testing

Evaluated by Western Blotting in Jurkat cell lysate.

Western Blotting Analysis (WB): A 1:1,000 dilution of this antibody detected Noxa in Jurkat cell lysate.

Tested Applications

Western Blotting Analysis: A 1:1,000 dilution of this antibody detected Noxa in lysate from HeLa cells and C-Myc/DDK-tagged, full length, recombinant human Noxa.

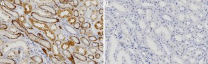
Immunofluorescence Analysis: A 1:1,000 dilution from a representative lot detected Noxa in human kidney tissue sections.

Affinity Binding Assay: A representative lot of this antibody bound with Noxa peptide with at least ten thousand-fold (10,000X) higher than with non-specific control peptide.

Immunohistochemistry (Paraffin) Analysis: A 1:1,000 dilution from a representative lot detected Noxa in human kidney tissue sections.

Note: Actual optimal working dilutions must be determined by end user as specimens, and experimental conditions may vary with the end user.

Biochem/physiol Actions

Clone 1G4 is a ZooMAb® recombinant rabbit monoclonal antibody that specifically detects NOXA. It targets an epitope within 21 amino acids from the N-terminal region.

Physical form

Purified recombinant rabbit monoclonal antibody IgG, lyophilized in PBS with 5% Trehalose, normal appearance a coarse or translucent resin. The PBS/trehalose components in the ZooMAb formulation can have the appearance of a semi-solid (bead like gel) after lyophilization. This is a normal phenomenon. Please follow the recommended reconstitution procedure in the data sheet to dissolve the semi-solid, bead-like, gel-appearing material. The resulting antibody solution is completely stable and functional as proven by full functional testing. Contains no biocide or preservatives, such as azide, or any animal by-products. Larger pack sizes provided as multiples of 25 µL.

Preparation Note

Recommend storage of lyophilized product at 2-8°C; Before reconstitution, micro-centrifuge vials briefly to spin down material to bottom of the vial; Reconstitute each vial by adding 25 µL of filtered lab grade water or PBS; Reconstituted antibodies can be stored at 2-8°C, or -20°C for long term storage. Avoid repeated freeze-thaws.
Reconstitute lyophilized antibody pellet with 25μL of ultrapure water or Phosphate Buffered Saline (PBS). Please refer to our reconstitution protocol and the specific application guidance on the suggested starting dilutions and sample type.

Legal Information

ZooMAb is a registered trademark of Merck KGaA, Darmstadt, Germany

Disclaimer

Unless otherwise stated in our catalog or other company documentation accompanying the product(s), our products are intended for research use only and are not to be used for any other purpose, which includes but is not limited to, unauthorized commercial uses, in vitro diagnostic uses, ex vivo or in vivo therapeutic uses or any type of consumption or application to humans or animals.

Not finding the right product?  

Try our Product Selector Tool.

Storage Class

11 - Combustible Solids

wgk_germany

WGK 2

flash_point_f

Not applicable

flash_point_c

Not applicable


Choose from one of the most recent versions:

Certificates of Analysis (COA)

Lot/Batch Number

It looks like we've run into a problem, but you can still download Certificates of Analysis from our Documents section.

If you need assistance, please contact Customer Support

Already Own This Product?

Find documentation for the products that you have recently purchased in the Document Library.

Visit the Document Library

Our team of scientists has experience in all areas of research including Life Science, Material Science, Chemical Synthesis, Chromatography, Analytical and many others.

Contact Technical Service