ZRB2945
Anti-Aromatase Antibody, clone 1D23 ZooMAb® Rabbit Monoclonal

recombinant, expressed in HEK 293 cells
Synonym(s):
ARO1, CYAR, CYP19, Cytochrome P-450AROM, Cytochrome P450 19A1, EC:1.14.14.14, Estrogen synthase
biological source
rabbit
Quality Level
recombinant
expressed in HEK 293 cells
conjugate
unconjugated
antibody form
purified antibody
antibody product type
primary antibodies
clone
1D23, recombinant monoclonal
description
recombinant, expressed in HEK 293 cells
product line
ZooMAb® learn more
form
lyophilized
mol wt
calculated mol wt 57.88 kDa
observed mol wt ~61 kDa
purified by
using Protein A
species reactivity
human
species reactivity (predicted by homology)
monkey
packaging
antibody small pack of 25
greener alternative product characteristics
Waste Prevention
Designing Safer Chemicals
Design for Energy Efficiency
Learn more about the Principles of Green Chemistry.
enhanced validation
recombinant expression
Learn more about Antibody Enhanced Validation
sustainability
Greener Alternative Product
technique(s)
affinity binding assay: suitable
immunohistochemistry: suitable
western blot: suitable
isotype
IgG
epitope sequence
Internal
Protein ID accession no.
UniProt accession no.
greener alternative category
shipped in
ambient
storage temp.
2-8°C
Gene Information
human ... CYP19A1(1588)
Related Categories
General description
Immunogen
Application
Evaluated by Western Blotting in human brain tissue lysate.
Western Blotting Analysis: A 1:1,000 dilution of this antibody detected Aromatase in human brain tissue lysate.
Tested Applications
Affinity Binding Assay Analysis: The binding affinity of this antibody to Aromatase peptide was at least one thousand-fold (1,000X) higher than that obtained with the non-specific control peptide.
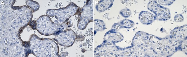
Immunohistochemistry (Paraffin) Analysis: A 1:100 dilution from a representative lot detected Aromatase in human placenta tissue sections.
Note: Actual optimal working dilutions must be determined by end user as specimens, and experimental conditions may vary with the end user.
Biochem/physiol Actions
Physical form
Preparation Note
Legal Information
Disclaimer
Not finding the right product?
Try our Product Selector Tool.
Storage Class
11 - Combustible Solids
wgk_germany
WGK 2
flash_point_f
Not applicable
flash_point_c
Not applicable
Choose from one of the most recent versions:
Already Own This Product?
Find documentation for the products that you have recently purchased in the Document Library.
Our team of scientists has experience in all areas of research including Life Science, Material Science, Chemical Synthesis, Chromatography, Analytical and many others.
Contact Technical Service