Skip to Content
MilliporeSigma

ZRB2879

Anti-pan-Amylase Antibody, clone 3K13 ZooMAb® Rabbit Monoclonal

greener alternative

recombinant, expressed in HEK 293 cells

Synonym(s):

1,4-alpha-D-glucan glucanohydrolase 1, Alpha-amylase 1A, Alpha-amylase 1B, Alpha-amylase 1C, Alpha-amylase 2B, Pancreatic alpha-amylase, Salivary alpha-amylase

Sign In to View Organizational & Contract Pricing.

Select a Size

Change View

About This Item

UNSPSC Code:
12352203
NACRES:
NA.46
Conjugate:
unconjugated
Clone:
3K13, recombinant monoclonal
Application:
ICC, IHC, WB, affinity binding assay
Citations:
-
Technical Service
Need help? Our team of experienced scientists is here for you.
Let Us Assist


biological source

rabbit

Quality Level

recombinant

expressed in HEK 293 cells

conjugate

unconjugated

antibody form

purified antibody

antibody product type

primary antibodies

clone

3K13, recombinant monoclonal

description

recombinant, expressed in HEK 293 cells

product line

ZooMAb® learn more

form

lyophilized

mol wt

calculated mol wt 57.77 kDa, observed mol wt ~52 kDa

purified by

using Protein A

species reactivity

human, mouse

species reactivity (predicted by homology)

chimpanzee

packaging

antibody small pack of 25

greener alternative product characteristics

Waste Prevention
Designing Safer Chemicals
Design for Energy Efficiency
Learn more about the Principles of Green Chemistry.

enhanced validation

recombinant expression
Learn more about Antibody Enhanced Validation

sustainability

Greener Alternative Product

technique(s)

affinity binding assay: suitable, immunocytochemistry: suitable, immunohistochemistry: suitable, western blot: suitable

isotype

IgG

epitope sequence

Internal

UniProt accession no.

greener alternative category

shipped in

ambient

storage temp.

2-8°C

Gene Information

human ... AMY1A(276)

General description

Alpha-amylase 1A (UniProt: P0DUB6; also known as EC:3.2.1.1, 1,4-alpha-D-glucan glucanohydrolase 1, Salivary alpha-amylase) is encoded by the AMY1A (also known as AMY1) gene (Gene ID: 276) in human. Alpha-amylase is a major form of amylase found in mammals. It is a calcium-binding enzyme that catalyzes the hydrolysis of alpha-1,4-glucan linkages to produce oligosaccharides. It is synthesized with a signal peptide (aa 1-15) that is subsequently cleaved off to produce the mature enzyme. Alpha-amylase is primarily produced in abundance in the salivary glands and pancreas. The expression is also seen in jejunum and mammary glands. The genes encoding alpha-amylase are AMY1 and AMY2 located in the short arm of chromosome 1. AMY1 is responsible for producing the enzyme in saliva and mammary gland and AMY2 produces the enzyme synthesized in the pancreas. The expression of AMY1 occurs also in certain tumor tissues. Three distinct genes (AMY1A, AMY1B and AMY1C), located in a gene cluster on 1p21 are reported to encode proteins sharing the same peptide sequence. Elevated levels of amylase activity in serum are characteristics of acute pancreatitis or salivary lesions. This ZooMAb® recombinant monoclonal antibody, generated by our proprietary technology, offers significantly enhanced specificity, affinity, reproducibility, and stability over conventional monoclonals. (Ref.: Ramasubbu, N., et al. (2003). J. Mol. Biol. 325(5); 1061-1076).
We are committed to bringing you greener alternative products, which adhere to one or more of the 12 Principles of Green Chemistry. This antibody is preservative-free, produced without the harm or sacrifice of animals and exceptionally stable to allow for ambient shipping and storage if needed, and thus aligns with "Waste Prevention", "Designing Safer Chemicals" and "Design for Energy Efficiency". Click here for more information.
ZooMAb® antibodies represent an entirely new generation of recombinant monoclonal antibodies. Each ZooMAb® antibody is manufactured using our proprietary recombinant expression system, purified to homogeneity, and precisely dispensed to produce robust and highly reproducible lot-to-lot consistency. Only top-performing clones are released for use by researchers. Each antibody is validated for high specificity and affinity across multiple applications, including its most commonly used application. ZooMAb® antibodies are reliably available and ready to ship when you need them.

Immunogen

KLH-conjugated linear peptide corresponding to 25 amino acids from the internal region of human -Amylase 1A.

Application

Quality Control Testing

Evaluated by Western Blotting in mouse pancreas tissue lysate.

Western Blotting Analysis: A 1:10,000 dilution of this antibody detected -Amylase in mouse pancreas tissue lysate.

Tested Applications

Western Blotting Analysis: A 1:10,000 dilution from a representative lot detected -Amylase in human pancreas tissue lysate.

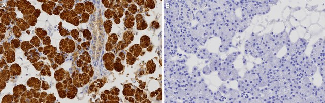
Immunohistochemistry (Paraffin) Analysis: A 1:1,000 dilution from a representative lot detected Amylase in human salivary gland tissue sections.

Immunocytochemistry Analysis: A 1:100 dilution from a representative lot detected -Amylase in MCF7 cells.

Affinity Binding Assay: A representative lot of this antibody bound -Amylase peptide with at least ten thousand-fold (10,000X) higher than with non-specific control peptide.

Note: Actual optimal working dilutions must be determined by end user as specimens, and experimental conditions may vary with the end user.

Biochem/physiol Actions

Clone 3K13 is a ZooMAb® recombinant rabbit monoclonal antibody that specifically detects both, salivary and pancreatic -amylases. It targets an epitope within 25 amino acids from the internal region of the protein. The immunogen sequence is 100% conserved in AMY1A, 1B, 1C, 2A and 2B amylases.

Physical form

Purified recombinant rabbit monoclonal antibody IgG, lyophilized in PBS with 5% Trehalose, normal appearance a coarse or translucent resin. The PBS/trehalose components in the ZooMAb formulation can have the appearance of a semi-solid (bead like gel) after lyophilization. This is a normal phenomenon. Please follow the recommended reconstitution procedure in the data sheet to dissolve the semi-solid, bead-like, gel-appearing material. The resulting antibody solution is completely stable and functional as proven by full functional testing. Contains no biocide or preservatives, such as azide, or any animal by-products. Larger pack sizes provided as multiples of 25 µL.

Preparation Note

Recommend storage of lyophilized product at 2-8°C; Before reconstitution, micro-centrifuge vials briefly to spin down material to bottom of the vial; Reconstitute each vial by adding 25 µL of filtered lab grade water or PBS; Reconstituted antibodies can be stored at 2-8°C, or -20°C for long term storage. Avoid repeated freeze-thaws.
Reconstitute lyophilized antibody pellet with 25μL of ultrapure water or Phosphate Buffered Saline (PBS). Please refer to our reconstitution protocol and the specific application guidance on the suggested starting dilutions and sample type.

Legal Information

ZooMAb is a registered trademark of Merck KGaA, Darmstadt, Germany

Disclaimer

Unless otherwise stated in our catalog or other company documentation accompanying the product(s), our products are intended for research use only and are not to be used for any other purpose, which includes but is not limited to, unauthorized commercial uses, in vitro diagnostic uses, ex vivo or in vivo therapeutic uses or any type of consumption or application to humans or animals.


Still not finding the right product?

Try our Product Selector Tool to narrow your options


Storage Class

11 - Combustible Solids

wgk

WGK 2

flash_point_f

Not applicable

flash_point_c

Not applicable



Choose from one of the most recent versions:

Certificates of Analysis (COA)

Lot/Batch Number

It looks like we've run into a problem, but you can still download Certificates of Analysis from our Documents section.

If you need assistance, please contact Customer Support

Already Own This Product?

Find documentation for the products that you have recently purchased in the Document Library.

Visit the Document Library



Global Trade Item Number

SKUGTIN
ZRB2879-25UL04065272116220
ZRB2879-4X25UL04065272116237