Skip to Content
MilliporeSigma

ZRB2631

Anti-Claudin-18 Antibody, clone 1G17 ZooMAb® Rabbit Monoclonal

newenhanced validation
greener alternative

recombinant, expressed in HEK 293 cells

Synonym(s):

PRO1572, UNQ778

Sign Into View Organizational & Contract Pricing

Select a Size


About This Item

UNSPSC Code:
12352203
Technical Service
Need help? Our team of experienced scientists is here for you.
Let Us Assist
Technical Service
Need help? Our team of experienced scientists is here for you.
Let Us Assist

biological source

rabbit

Quality Level

recombinant

expressed in HEK 293 cells

conjugate

unconjugated

antibody form

purified antibody

antibody product type

primary antibodies

clone

1G17, recombinant monoclonal

description

recombinant, expressed in HEK 293 cells

product line

ZooMAb® learn more

form

lyophilized

mol wt

calculated mol wt 27.86 kDa
observed mol wt ~37 kDa

purified by

using Protein A

species reactivity

human

species reactivity (predicted by homology)

rat

packaging

antibody small pack of 25

greener alternative product characteristics

Waste Prevention
Designing Safer Chemicals
Design for Energy Efficiency
Learn more about the Principles of Green Chemistry.

enhanced validation

recombinant expression
Learn more about Antibody Enhanced Validation

sustainability

Greener Alternative Product

concentration

0.3 mg/mL

technique(s)

affinity binding assay: suitable
immunohistochemistry: suitable
western blot: suitable

isotype

IgG

epitope sequence

N-terminal

Protein ID accession no.

UniProt accession no.

greener alternative category

shipped in

ambient

storage temp.

2-8°C

Gene Information

human ... CLDN18(51208)

General description

Claudin-18 (UniProt: P56856) is encoded by the CLDN18 (also known as UNQ778/PRO1572) gene (Gene ID: 51208) in human. Claudin-18 is a member of the claudin family, which are integral membrane proteins vital for the formation and function of tight junctions in epithelial and endothelial cells. Claudin-18 is composed of four transmembrane domains with two extracellular loops, a short intracellular loop, and cytoplasmic N- and C-terminal tails. The extracellular loops are crucial for its role in tight junction formation and paracellular barrier function. It helps regulate paracellular transport and maintain cell polarity. Claudin-18 has two isoforms, Claudin-18.1 and Claudin-18.2, which are expressed in different tissues. Claudin-18.1 is predominantly found in the lung, while Claudin-18.2 is expressed in differentiated epithelial cells of the gastric mucosa. This tissue-specific expression suggests distinct physiological roles for each isoform. Claudin-18.2 is overexpressed in certain gastric cancers, and ectopic activation has been observed in pancreatic, esophageal, ovarian, and lung tumors, making it a potential target for cancer therapies. Dysregulation of Claudin-18 has been implicated in respiratory diseases due to its role in lung epithelial barrier function. This ZooMAb® recombinant monoclonal antibody, generated by our propriety technology, offers significantly enhanced specificity, affinity, reproducibility, and stability over conventional monoclonals. (Ref.: Nakayama, I., et al., (2024) Nat. Rev. Clin. Oncol. 21(5), 354 369)
We are committed to bringing you greener alternative products, which adhere to one or more of the 12 Principles of Green Chemistry. This antibody is preservative-free, produced without the harm or sacrifice of animals and exceptionally stable to allow for ambient shipping and storage if needed, and thus aligns with "Waste Prevention", "Designing Safer Chemicals" and "Design for Energy Efficiency". Click here for more information.
ZooMAb® antibodies represent an entirely new generation of recombinant monoclonal antibodies. Each ZooMAb® antibody is manufactured using our proprietary recombinant expression system, purified to homogeneity, and precisely dispensed to produce robust and highly reproducible lot-to-lot consistency. Only top-performing clones are released for use by researchers. Each antibody is validated for high specificity and affinity across multiple applications, including its most commonly used application. ZooMAb® antibodies are reliably available and ready to ship when you need them.

Immunogen

KLH-conjugated linear peptide corresponding to 15 amino acids from the N-terminal extracellular domain of human Claudin-18.

Application

Quality Control Testing

Evaluated by Western Blotting in A549 cell lysate.

Western Blotting Analysis: A 1:1,000 dilution of this antibody detected Claudin-18 in A549 cell lysate.

Tested Applications

Western Blotting Analysis: A 1:1,000 dilution from a representative lot detected Claudin-18 in lysates from HeLa cells and human lung tissue.

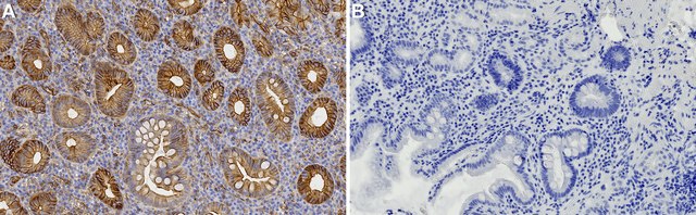
Immunohistochemistry (Paraffin) Analysis: A 1:100 dilution from a representative lot detected Claudin-18 in human stomach tissue sections.

Affinity Binding Assay: A representative lot of this antibody bound with Claudin-18 peptide with at least ten thousand-fold (10,000X) higher affinity than with non-specific control peptide.

Note: Actual optimal working dilutions must be determined by end user as specimens, and experimental conditions may vary with the end user.

Biochem/physiol Actions

Clone 1G17 is a ZooMAb® rabbit recombinant monoclonal antibody that detects Claudin-18. It targets an epitope within 15 amino acids from the N-terminal extracellular domain.

Physical form

Purified recombinant rabbit monoclonal antibody IgG, lyophilized in PBS with 5% Trehalose, normal appearance a coarse or translucent resin. The PBS/trehalose components in the ZooMAb formulation can have the appearance of a semi-solid (bead like gel) after lyophilization. This is a normal phenomenon. Please follow the recommended reconstitution procedure in the data sheet to dissolve the semi-solid, bead-like, gel-appearing material. The resulting antibody solution is completely stable and functional as proven by full functional testing. Contains no biocide or preservatives, such as azide, or any animal by-products. Larger pack sizes provided as multiples of 25 µL.

Preparation Note

300 µg/mL after reconstitution at 25 µL per vial. Please refer to guidance on suggested starting dilutions and/or titers per application and sample type.
Recommend storage of lyophilized product at 2-8°C; Before reconstitution, micro-centrifuge vials briefly to spin down material to bottom of the vial; Reconstitute each vial by adding 25 µL of filtered lab grade water or PBS; Reconstituted antibodies can be stored at 2-8°C, or -20°C for long term storage. Avoid repeated freeze-thaws.

Legal Information

ZooMAb is a registered trademark of Merck KGaA, Darmstadt, Germany

Disclaimer

Unless otherwise stated in our catalog or other company documentation accompanying the product(s), our products are intended for research use only and are not to be used for any other purpose, which includes but is not limited to, unauthorized commercial uses, in vitro diagnostic uses, ex vivo or in vivo therapeutic uses or any type of consumption or application to humans or animals.

Not finding the right product?  

Try our Product Selector Tool.


Choose from one of the most recent versions:

Certificates of Analysis (COA)

Lot/Batch Number

It looks like we've run into a problem, but you can still download Certificates of Analysis from our Documents section.

If you need assistance, please contact Customer Support

Already Own This Product?

Find documentation for the products that you have recently purchased in the Document Library.

Visit the Document Library

Our team of scientists has experience in all areas of research including Life Science, Material Science, Chemical Synthesis, Chromatography, Analytical and many others.

Contact Technical Service