ZRB2554
Anti-RANTES Antibody, clone 1K17 ZooMAb® Rabbit Monoclonal


recombinant, expressed in HEK 293 cells
Synonym(s):
C-C motif chemokine 5, D17S136E, EoCP, Eosinophil chemotactic cytokine, RANTES(3-68), RANTES(4-68), SCYA5, SIS-delta, Small-inducible cytokine A5, T cell-specific protein P228 (TCP228), T-cell-specific protein RANTES
biological source
rabbit
Quality Level
recombinant
expressed in HEK 293 cells
conjugate
unconjugated
antibody form
purified antibody
antibody product type
primary antibodies
clone
1K17, recombinant monoclonal
description
recombinant, expressed in HEK 293 cells
product line
ZooMAb® learn more
form
lyophilized
mol wt
calculated mol wt 9.99 kDa
observed mol wt ~10/15 kDa
purified by
using Protein A
species reactivity
rat, human
species reactivity (predicted by homology)
monkey
packaging
antibody small pack of 25
greener alternative product characteristics
Waste Prevention
Designing Safer Chemicals
Design for Energy Efficiency
Learn more about the Principles of Green Chemistry.
enhanced validation
recombinant expression
Learn more about Antibody Enhanced Validation
sustainability
Greener Alternative Product
concentration
0.3 mg/mL
technique(s)
affinity binding assay: suitable
flow cytometry: suitable
immunohistochemistry: suitable
western blot: suitable
isotype
IgG
epitope sequence
Internal
Protein ID accession no.
UniProt accession no.
greener alternative category
shipped in
ambient
storage temp.
2-8°C
Gene Information
human ... CCL5(6352)
General description
Immunogen
Application
Evaluated by Western Blotting in human spleen tissue lysate.
Western Blotting Analysis: A 1:10,000 dilution of this antibody detected RANTES in human spleen tissue lysate.
Tested Applications
Western Blotting Analysis: A 1:10,000 dilution of this antibody detected recombinant human RANTES.
Western Blotting Analysis: A 1:1,000 dilution from a representative lot detected RANTES in lysate from rat spleen tissue.
Flow Cytometry Analysis: 1 µg from a representative lot detected RANTES in human peripheral blood mononuclear cells (PBMC) treated with 10 g/mL of Monensin for 14 hours.
Affinity Binding Assay: A representative lot of this antibody bound with RANTES peptide with at least ten thousand-fold (10,000X) higher affinity than with non-specific control peptide.
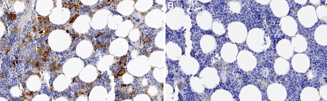
Immunohistochemistry (Paraffin) Analysis: A 1:1,000 dilution from a representative lot detected RANTES in human spleen and human bone marrow tissue sections.
Note: Actual optimal working dilutions must be determined by end user as specimens, and experimental conditions may vary with the end user.
Biochem/physiol Actions
Physical form
Preparation Note
Legal Information
Disclaimer
Not finding the right product?
Try our Product Selector Tool.
Choose from one of the most recent versions:
Already Own This Product?
Find documentation for the products that you have recently purchased in the Document Library.
Our team of scientists has experience in all areas of research including Life Science, Material Science, Chemical Synthesis, Chromatography, Analytical and many others.
Contact Technical Service