ZRB2532
Anti-S100-A9/MRP14 Antibody, clone 1M6 ZooMAb® Rabbit Monoclonal

recombinant, expressed in HEK 293 cells
Synonym(s):
Calgranulin-B, Calprotectin L1H subunit, Leukocyte L1 complex heavy chain, MRP-14, Migration inhibitory factor-related protein 14, S100 calcium-binding protein A9, p14
biological source
rabbit
Quality Level
recombinant
expressed in HEK 293 cells
conjugate
unconjugated
antibody form
purified antibody
antibody product type
primary antibodies
clone
1M6, recombinant monoclonal
description
recombinant, expressed in HEK 293 cells
product line
ZooMAb® learn more
form
lyophilized
mol wt
calculated mol wt 13.24 kDa
observed mol wt ~13 kDa
purified by
using Protein A
species reactivity
human
packaging
antibody small pack of 25
greener alternative product characteristics
Waste Prevention
Designing Safer Chemicals
Design for Energy Efficiency
Learn more about the Principles of Green Chemistry.
enhanced validation
recombinant expression
Learn more about Antibody Enhanced Validation
sustainability
Greener Alternative Product
technique(s)
affinity binding assay: suitable
immunofluorescence: suitable
immunohistochemistry: suitable
western blot: suitable
isotype
IgG
epitope sequence
N-terminal half
Protein ID accession no.
UniProt accession no.
greener alternative category
shipped in
ambient
storage temp.
2-8°C
Gene Information
human ... S100A9(6280)
General description
Immunogen
Application
Evaluated by Western Blotting in human tonsil tissue lysate.
Western Blotting Analysis: A 1:1,000 dilution of this antibody detected S100-A9/MRP14 in human tonsil tissue lysate.
Tested Applications
Affinity Binding Assay: A representative lot of this antibody bound S100-A9/MRP14 peptide with at least one thousand-fold (1,000X) higher than with non-specific control peptide.
Immunofluorescence Analysis: A 1:1,000 dilution from a representative lot detected S100-A9/MRP14 in human tonsil tissue sections.
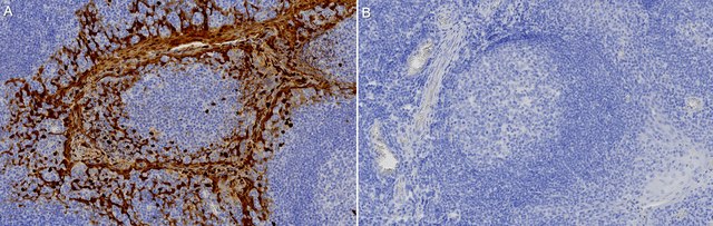
Immunohistochemistry (Paraffin) Analysis: A 1:1,000 dilution from a representative lot detected S100-A9/MRP14 in human tonsil tissue sections.
Note: Actual optimal working dilutions must be determined by end user as specimens, and experimental conditions may vary with the end user.
Biochem/physiol Actions
Physical form
Preparation Note
Legal Information
Disclaimer
Not finding the right product?
Try our Product Selector Tool.
Storage Class
11 - Combustible Solids
wgk_germany
WGK 2
flash_point_f
Not applicable
flash_point_c
Not applicable
Choose from one of the most recent versions:
Already Own This Product?
Find documentation for the products that you have recently purchased in the Document Library.
Our team of scientists has experience in all areas of research including Life Science, Material Science, Chemical Synthesis, Chromatography, Analytical and many others.
Contact Technical Service