Skip to Content
MilliporeSigma

ZRB2507

Sigma-Aldrich

Anti-CTNND1/p120CTN Antibody, clone 2C22 ZooMAb® Rabbit Monoclonal

enhanced validation
greener alternative

recombinant, expressed in HEK 293 cells

Synonym(s):

Cadherin-associated Src substrate (CAS), Catenin delta-1, KIAA0384, p120 catenin (p120(ctn)), p120(cas)

Sign Into View Organizational & Contract Pricing

Select a Size


About This Item

UNSPSC Code:
12352203
Technical Service
Need help? Our team of experienced scientists is here for you.
Let Us Assist
Technical Service
Need help? Our team of experienced scientists is here for you.
Let Us Assist

biological source

rabbit

Quality Level

recombinant

expressed in HEK 293 cells

conjugate

unconjugated

antibody form

purified antibody

antibody product type

primary antibodies

clone

2C22, recombinant monoclonal

description

recombinant, expressed in HEK 293 cells

product line

ZooMAb® learn more

form

lyophilized

mol wt

calculated mol wt 108.17 kDa
observed mol wt ~108 kDa

purified by

using Protein A

species reactivity

rat, human, mouse

species reactivity (predicted by homology)

nonhuman primates, monkey

packaging

antibody small pack of 25

greener alternative product characteristics

Waste Prevention
Designing Safer Chemicals
Design for Energy Efficiency
Learn more about the Principles of Green Chemistry.

enhanced validation

recombinant expression
Learn more about Antibody Enhanced Validation

sustainability

Greener Alternative Product

technique(s)

affinity binding assay: suitable
immunocytochemistry: suitable
immunohistochemistry: suitable
western blot: suitable

isotype

IgGκ

epitope sequence

C-terminal half

Protein ID accession no.

UniProt accession no.

greener alternative category

shipped in

ambient

storage temp.

2-8°C

Gene Information

human ... CTNND1(1500)

General description

Catenin delta-1 (UniProt: O60716; also known as Cadherin-associated Src substrate (CAS), p120 catenin (p120(ctn)), p120(cas)) is encoded by the CTNND1 (also known as KIAA0384) gene (Gene ID: 1500) in human. p120 catenin is a multifaceted protein that plays essential roles in cell-cell adhesion, signaling, and transcriptional regulation. Its a cadherin-associated protein that binds intracellular proteins, such as the small GTPase and RhoA, and controls E-cadherin function and stability. It maintains cell-cell adhesion by binding to the juxtamembrane domain (JMD) of E-cadherin and may regulate Cdc42/Rac1 activity. Primarily, p120 catenin localizes at the cytoplasmic face of adherens junctions in epithelial and some non-epithelial cells, directly interacting with the cytoplasmic domain of classical cadherins. In addition to this junctional localization, p120 catenin can also be found in the cytoplasm and nucleus, where it participates in signaling pathways and transcriptional regulation, respectively. p120 catenin is ubiquitously expressed in a wide range of cells (vascular endothelium, melanocytes, keratinocytes, melanoma cells) via alternative splicing, however, its expression levels and isoform diversity can vary significantly depending on the tissue type, developmental stage, and physiological conditions. Proteins of the p120 family and their isoforms are essential for HGF signaling to Rac1. Its involvement in crucial cellular processes makes it a significant player in both normal cellular function and the pathogenesis of various diseases, particularly in cancer. It is involved in cancer progression thereby promoting proliferation and invasion of breast cancer cells, lung cancer and alters cell cycle progression. Overexpression of this protein is found in breast cancer and may act as a marker in oral squamous cell carcinoma. This ZooMAb® recombinant monoclonal antibody, generated by our proprietary technology, offers significantly enhanced specificity, affinity, reproducibility, and stability over conventional monoclonals.
We are committed to bringing you greener alternative products, which adhere to one or more of the 12 Principles of Green Chemistry. This antibody is preservative-free, produced without the harm or sacrifice of animals and exceptionally stable to allow for ambient shipping and storage if needed, and thus aligns with "Waste Prevention", "Designing Safer Chemicals" and "Design for Energy Efficiency". Click here for more information.
ZooMAb® antibodies represent an entirely new generation of recombinant monoclonal antibodies. Each ZooMAb® antibody is manufactured using our proprietary recombinant expression system, purified to homogeneity, and precisely dispensed to produce robust and highly reproducible lot-to-lot consistency. Only top-performing clones are released for use by researchers. Each antibody is validated for high specificity and affinity across multiple applications, including its most commonly used application. ZooMAb® antibodies are reliably available and ready to ship when you need them.

Immunogen

KLH-conjugated linear peptide corresponding to 25 amino acids from the C-terminal half of human Catenin delta-1.

Application

Quality Control Testing

Evaluated by Western Blotting in A-431 cell lysate.

Western Blotting Analysis: A 1:1,000 dilution of this antibody detected CTNND1/p120CTN protein in A431 cell lysate.

Tested Applications

Western Blotting Analysis: A 1:1,000 dilution from a representative lot detected CTNND1 in lysates from PC-12 cells, human prostate, mouse testis and rat testis.

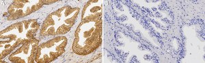
Immunohistochemistry (Paraffin) Analysis: A 1:100 dilution from a representative lot detected CTNND1/p120CTN in human prostate tissue sections.

Immunocytochemistry Analysis: A 1:1,000 dilution from a representative lot detected CTNND1 in A-431 cells.

Affinity Binding Assay Analysis: A representative lot of this antibody bound with CTNND1/p120CTN peptide with at least one hundred thousand-fold (100,000X) higher than with non-specific control peptide.

Note: Actual optimal working dilutions must be determined by end user as specimens, and experimental conditions may vary with the end user.

Biochem/physiol Actions

Clone 2C22 is a ZooMAb® recombinant rabbit monoclonal antibody that specifically detects Catenin delta-1. It targets an epitope within 25 amino acids from the C-terminal half of the protein.

Physical form

Purified recombinant rabbit monoclonal antibody IgG, lyophilized in PBS with 5% Trehalose, normal appearance a coarse or translucent resin. The PBS/trehalose components in the ZooMAb formulation can have the appearance of a semi-solid (bead like gel) after lyophilization. This is a normal phenomenon. Please follow the recommended reconstitution procedure in the data sheet to dissolve the semi-solid, bead-like, gel-appearing material. The resulting antibody solution is completely stable and functional as proven by full functional testing. Contains no biocide or preservatives, such as azide, or any animal by-products. Larger pack sizes provided as multiples of 25 µL.

Preparation Note

Recommend storage of lyophilized product at 2-8°C; Before reconstitution, micro-centrifuge vials briefly to spin down material to bottom of the vial; Reconstitute each vial by adding 25 µL of filtered lab grade water or PBS; Reconstituted antibodies can be stored at 2-8°C, or -20°C for long term storage. Avoid repeated freeze-thaws.
Reconstitute lyophilized antibody pellet with 25μL of ultrapure water or Phosphate Buffered Saline (PBS). Please refer to our reconstitution protocol and the specific application guidance on the suggested starting dilutions and sample type.

Legal Information

ZooMAb is a registered trademark of Merck KGaA, Darmstadt, Germany

Disclaimer

Unless otherwise stated in our catalog or other company documentation accompanying the product(s), our products are intended for research use only and are not to be used for any other purpose, which includes but is not limited to, unauthorized commercial uses, in vitro diagnostic uses, ex vivo or in vivo therapeutic uses or any type of consumption or application to humans or animals.

Not finding the right product?  

Try our Product Selector Tool.

Storage Class

11 - Combustible Solids

wgk_germany

WGK 2

flash_point_f

Not applicable

flash_point_c

Not applicable


Choose from one of the most recent versions:

Certificates of Analysis (COA)

Lot/Batch Number

It looks like we've run into a problem, but you can still download Certificates of Analysis from our Documents section.

If you need assistance, please contact Customer Support

Already Own This Product?

Find documentation for the products that you have recently purchased in the Document Library.

Visit the Document Library

Our team of scientists has experience in all areas of research including Life Science, Material Science, Chemical Synthesis, Chromatography, Analytical and many others.

Contact Technical Service