Skip to Content
MilliporeSigma

ZRB2416

Sigma-Aldrich

Anti-SOCS-3 Antibody, clone 2N6 ZooMAb® Rabbit Monoclonal

enhanced validation

recombinant, expressed in HEK 293 cells

Synonym(s):

CIS-3, Cytokine-inducible SH2 protein 3, SSI-3, STAT-induced STAT inhibitor 3, Suppressor of cytokine signaling 3

Sign Into View Organizational & Contract Pricing

Select a Size


About This Item

UNSPSC Code:
12352203
NACRES:
NA.43
Technical Service
Need help? Our team of experienced scientists is here for you.
Let Us Assist
Technical Service
Need help? Our team of experienced scientists is here for you.
Let Us Assist

biological source

rabbit

Quality Level

recombinant

expressed in HEK 293 cells

conjugate

unconjugated

antibody form

purified antibody

antibody product type

primary antibodies

clone

2N6, recombinant monoclonal

description

recombinant, expressed in HEK 293 cells

product line

ZooMAb® learn more

form

lyophilized

mol wt

calculated mol wt 24.77 kDa
observed mol wt ~28 kDa

purified by

using Protein A

species reactivity

human

species reactivity (predicted by homology)

rat, mouse

packaging

antibody small pack of 25

enhanced validation

recombinant expression
Learn more about Antibody Enhanced Validation

technique(s)

affinity binding assay: suitable
immunohistochemistry: suitable
western blot: suitable

isotype

IgG

epitope sequence

C-terminal

Protein ID accession no.

UniProt accession no.

shipped in

ambient

storage temp.

2-8°C

Gene Information

human ... SOCS3(9021)

General description

Suppressor of cytokine signaling 3 (UniProt: O14543; also known as SOCS-3, Cytokine-inducible SH2 protein 3, CIS-3, STAT-induced STAT inhibitor 3, SSI-3) is encoded by the SOSC3 (also known as CIS3, SSI3) gene (Gene ID: 9021) in human. SOCS family of proteins form part of a classical negative feedback system that regulates cytokine signal transduction. SOCS-3 is widely expressed with high expression observed in heart, placenta, skeletal muscle, peripheral blood leukocytes, fetal and adult lung, and fetal liver and kidney. It is reported to serve as a tumor suppressor in breast cancer cells that is regulated by prolactin. It is involved in negative regulation of cytokines that signal through the JAK/STAT pathway leading to inhibition of STAT3 activation. It is reported to interact with multiple activated proteins of the tyrosine kinase signaling pathway. Its binding to JAK2 is mediated through the KIR (aa 22-33) and SH2 domains (aa 46-142) to a phosphorylated tyrosine residue within the JAK2 JH1 domain. SOCS-3 also contains a SOCS box domain (aa 177-224) that mediates the interaction with the Elongin BC complex, an adapter module in different E3 ubiquitin ligase complexes. Inflammation and infection are reported to stimulate SOCS-3 expression in different myeloid and lymphoid cell populations as well as in diverse non-hematopoietic cells. Genetic deletion of SOCS-3 leads to mid-gestational embryonic lethality due to increased STAT3 and MAP kinase activation. This ZooMAb® recombinant monoclonal antibody, generated by our propriety technology, offers significantly enhanced specificity, affinity, reproducibility, and stability over conventional monoclonals. (Ref.: Carow, B., and Rottenberg, ME. (2014). Front. Immunol. 5: 58; Sasaki, A., et al. (1999). Genes Cell. 4(6); 339-351).
ZooMAb® antibodies represent an entirely new generation of recombinant monoclonal antibodies. Each ZooMAb® antibody is manufactured using our proprietary recombinant expression system, purified to homogeneity, and precisely dispensed to produce robust and highly reproducible lot-to-lot consistency. Only top-performing clones are released for use by researchers. Each antibody is validated for high specificity and affinity across multiple applications, including its most commonly used application. ZooMAb® antibodies are reliably available and ready to ship when you need them.

Immunogen

KLH-conjugated linear peptide corresponding to 16 amino acids from the C-terminal region of human Suppressor of cytokine signaling 3 (SOCS-3).

Application

Quality Control Testing

Evaluated by Western Blotting in A375 cell lysate.

Western Blotting Analysis: A 1:1,000 dilution of this antibody detected SOCS-3 in A375 cell lysate.

Tested Applications

Western Blotting Analysis: A 1:1,000 dilution from a representative lot detected SOCS-3 in lysate from Human liver tissue and His/ABP-tagged recombinant fragment of Human SOCS-3.

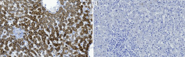
Immunohistochemistry (Paraffin) Analysis: A 1:100 dilution from a representative lot detected SOCS-3 in human liver tissue sections.

Affinity Binding Assay Analysis: A representative lot of this antibody bound SOCS-3 with a KD of 9.2 x 10-7 in an affinity binding assay.

Note: Actual optimal working dilutions must be determined by end user as specimens, and experimental conditions may vary with the end user.

Biochem/physiol Actions

Clone 2N6 is a ZooMAb® rabbit recombinant monoclonal antibody that specifically detects Suppressor of cytokine signaling 3 (SOCS-3). It targets an epitope within 16 amino acids from the C-terminal region.

Physical form

Purified recombinant rabbit monoclonal antibody IgG, lyophilized in PBS with 5% Trehalose, normal appearance a coarse or translucent resin. The PBS/trehalose components in the ZooMAb formulation can have the appearance of a semi-solid (bead like gel) after lyophilization. This is a normal phenomenon. Please follow the recommended reconstitution procedure in the data sheet to dissolve the semi-solid, bead-like, gel-appearing material. The resulting antibody solution is completely stable and functional as proven by full functional testing. Contains no biocide or preservatives, such as azide, or any animal by-products. Larger pack sizes provided as multiples of 25 µL.

Preparation Note

Recommend storage of lyophilized product at 2-8°C; Before reconstitution, micro-centrifuge vials briefly to spin down material to bottom of the vial; Reconstitute each vial by adding 25 µL of filtered lab grade water or PBS; Reconstituted antibodies can be stored at 2-8°C, or -20°C for long term storage. Avoid repeated freeze-thaws.
Reconstitute lyophilized antibody pellet with 25μL of ultrapure water or Phosphate Buffered Saline (PBS). Please refer to our reconstitution protocol and the specific application guidance on the suggested starting dilutions and sample type.

Legal Information

ZooMAb is a registered trademark of Merck KGaA, Darmstadt, Germany

Disclaimer

Unless otherwise stated in our catalog or other company documentation accompanying the product(s), our products are intended for research use only and are not to be used for any other purpose, which includes but is not limited to, unauthorized commercial uses, in vitro diagnostic uses, ex vivo or in vivo therapeutic uses or any type of consumption or application to humans or animals.

Not finding the right product?  

Try our Product Selector Tool.

Storage Class

11 - Combustible Solids

wgk_germany

WGK 1

flash_point_f

Not applicable

flash_point_c

Not applicable


Choose from one of the most recent versions:

Certificates of Analysis (COA)

Lot/Batch Number

It looks like we've run into a problem, but you can still download Certificates of Analysis from our Documents section.

If you need assistance, please contact Customer Support

Already Own This Product?

Find documentation for the products that you have recently purchased in the Document Library.

Visit the Document Library

Our team of scientists has experience in all areas of research including Life Science, Material Science, Chemical Synthesis, Chromatography, Analytical and many others.

Contact Technical Service