Skip to Content
MilliporeSigma

ZRB2197

Sigma-Aldrich

Anti-VPS35 Antibody, clone 1C7 ZooMAb® Rabbit Monoclonal

enhanced validation
greener alternative

recombinant, expressed in HEK 293 cells

Synonym(s):

Vacuolar protein sorting-associated protein 35;hVPS35;Maternal-embryonic 3,Vesicle protein sorting 35

Sign Into View Organizational & Contract Pricing

Select a Size


About This Item

UNSPSC Code:
12352203
NACRES:
NA.43
Technical Service
Need help? Our team of experienced scientists is here for you.
Let Us Assist
Technical Service
Need help? Our team of experienced scientists is here for you.
Let Us Assist

biological source

rabbit

Quality Level

recombinant

expressed in HEK 293 cells

conjugate

unconjugated

antibody form

purified antibody

antibody product type

primary antibodies

clone

1C7, recombinant monoclonal

description

1C7 Clone

product line

ZooMAb® learn more

form

lyophilized

mol wt

calculated mol wt 91.71 kDa
observed mol wt ~80 kDa

purified by

using Protein A

species reactivity

mouse, human, rat

species reactivity (predicted by homology)

feline, horse, monkey, bovine

packaging

antibody small pack of 25 μL

greener alternative product characteristics

Waste Prevention
Designing Safer Chemicals
Design for Energy Efficiency
Learn more about the Principles of Green Chemistry.

enhanced validation

recombinant expression
Learn more about Antibody Enhanced Validation

sustainability

Greener Alternative Product

technique(s)

affinity binding assay: suitable
immunocytochemistry: suitable
immunohistochemistry: suitable
western blot: suitable

isotype

IgG

epitope sequence

C-terminal

Protein ID accession no.

UniProt accession no.

greener alternative category

shipped in

ambient

storage temp.

2-8°C

target post-translational modification

unmodified

Gene Information

human ... VPS35(55737)

General description

Vacuolar protein sorting-associated protein 35 (UniProt: Q96QK1; also known as hVPS35, Maternal-embryonic 3, Vesicle protein sorting 35) is encoded by the VPS35 (also known as MEM3, TCCCTA00141) gene (Gene ID: 55737) in human. VPS35 is a component of the heterotrimeric retromer complex that consists of VSP26, VSP29, and VSP35 and plays a role in endosome-Golgi trafficking pathway. In eukaryotic cells, this retromer complex is evolutionarily conserved has two subcomplexes: (i) a cargo recognition complex of VPS26, VPS29, and VPS35 that is mainly involved in the transport of proteins and (ii) a membrane-targeting dimer of sorting nexin that is important for the adhesion of the complex to the endosomal membrane. The cargo-selective complex has a highly elongated structure with VPS26 and VPS29 binding independently at opposite distal ends of VPS35, which occupies a central platform. This complex prevents missorting of selected transmembrane cargo proteins into the lysosomal degradation pathway. VSP35 is ubiquitously expressed with higher expression observed in heart, brain, placenta, skeletal muscle, spleen, thymus, testis, ovary, small intestine, kidney, and colon. Mutations in VPS35 gene have been linked to autosomal dominant familial Parkinson s disease (PD). Reduction in VPS35 levels or the expression of mutated VPS35 protein in murine models of PD displays defective -synuclein clearance resulting in widespread accumulation of aggregates and degeneration of dopaminergic neurons. An excess of wild-type VPS35 expression can rescue the accumulation of -synuclein aggregates and leads to the reduction in neuronal loss and astrogliosis in a murine model of PD overexpressing -synuclein. This ZooMAbZooMAb® recombinant monoclonal antibody, generated by our propriety technology, offers significantly enhanced specificity, affinity, reproducibility, and stability over conventional monoclonals. (Ref.: Eleuteri, S., and Albanese, A. (2019). Front. Neurol. 10; 1272; Harbour, ME., et al. (2010).J. Cell Sci. 123(21); 3703-3717).
We are committed to bringing you greener alternative products, which adhere to one or more of The 12 Principles of Green Chemistry.This antibody is Preservative-free, produced without the harm or sacrifice of animals and exceptionally stable to allow for ambient shipping and storage if needed and thus aligns with "Waste Prevention", "Designing Safer Chemicals" and "Design for Energy Efficiency". Click here for more information.
ZooMAb® antibodies represent an entirely new generation of recombinant monoclonal antibodies.Each ZooMAb® antibody is manufactured using our proprietary recombinant expression system, purified to homogeneity, and precisely dispensed to produce robust and highly reproducible lot-to-lot consistency. Only top-performing clones are released for use by researchers. Each antibody is validated for high specificity and affinity across multiple applications, including its most commonly used application. ZooMAb® antibodies are reliably available and ready to ship when you need them.

Immunogen

KLH-conjugated linear peptide corresponding to 23 amino acids from the C-terminal region of human Vacuolar protein sorting-associated protein 35 (VPS35).

Application

Quality Control Testing

Evaluated by Western Blotting in C6 cell lysate.

Western Blotting Analysis: A 1:1,000 dilution of this antibody detected VPS35 in C6 cell lysate.

Tested applications

Western Blotting Analysis: A 1:1,000 dilution from a representative lot detected VPS35 in lysates from A549 and Raji cells and Mouse brain tissue.

Affinity Binding Assay: A representative lot of this antibody bound VPS35 peptide with a KD of 6.9 x10-6 in an affinity binding assay.

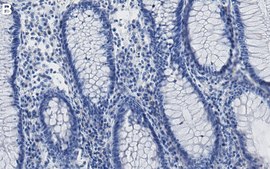
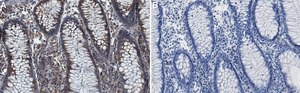
Immunohistochemistry (Paraffin) Analysis: A 1:1,000 dilution from a representative lot detected VPS35 in human colon and human cerebral cortex tissue sections.

Immunocytochemistry Analysis: A 1:100 dilution from a representative lot detected VPS35 in A549 cells.

Note: Actual optimal working dilutions must be determined by end user as specimens, and experimental conditions may vary with the end user

Evaluated by Western Blotting in C6 cell lysate.

Western Blotting Analysis: A 1:1,000 dilution of this antibody detected VPS35 in C6 cell lysate.

Biochem/physiol Actions

Clone 1C7 is a ZooMAb® Rabbit recombinant monoclonal antibody that specifically detects Vacuolar protein sorting-associated protein 35 (VPS35). It targets an epitope within 23 amino acids from the C-terminal region.

Physical form

Purified recombinant rabbit monoclonal antibody IgG, lyophilized in PBS, 5% Trehalose, normal appearance a coarse or translucent resin. The PBS/trehalose components in the ZooMAb formulation can have the appearance of a semi-solid (bead like gel) after lyophilization. This is a normal phenomenon. Please follow the recommended reconstitution procedure in the data sheet to dissolve the semi-solid, bead-like, gel-appearing material. The resulting antibody solution is completely stable and functional as proven by full functional testing. Contains no biocide or preservatives, such as azide, or any animal by-products. Larger pack sizes provided as multiples of 25 μL.

Preparation Note

Recommend storage of lyophilized product at 2-8°C; Before reconstitution, micro-centrifuge vials briefly to spin down material to bottom of the vial; Reconstitute each vial by adding 25 μL of filtered lab grade water or PBS; Reconstituted antibodies can be stored at 2-8°C, or -20°C for long term storage. Avoid repeated freeze-thaws.
Reconstitute lyophilized antibody pellet with 25μL of ultrapure water or Phosphate Buffered Saline (PBS). Please refer to our reconstitution protocol and the specific application guidance on the suggested starting dilutions and sample type.

Legal Information

ZooMAb is a registered trademark of Merck KGaA, Darmstadt, Germany

Disclaimer

Unless otherwise stated in our catalog or other company documentation accompanying the product(s), our products are intended for research use only and are not to be used for any other purpose, which includes but is not limited to, unauthorized commercial uses, in vitro diagnostic uses, ex vivo or in vivo therapeutic uses or any type of consumption or application to humans or animals.

Not finding the right product?  

Try our Product Selector Tool.

Storage Class

11 - Combustible Solids

wgk_germany

WGK 1

flash_point_f

Not applicable

flash_point_c

Not applicable


Choose from one of the most recent versions:

Certificates of Analysis (COA)

Lot/Batch Number

Don't see the Right Version?

If you require a particular version, you can look up a specific certificate by the Lot or Batch number.

Already Own This Product?

Find documentation for the products that you have recently purchased in the Document Library.

Visit the Document Library

Our team of scientists has experience in all areas of research including Life Science, Material Science, Chemical Synthesis, Chromatography, Analytical and many others.

Contact Technical Service