ZRB2133
Anti-Peroxiredoxin 1 Antibody, clone 1G22 ZooMAb® Rabbit Monoclonal

recombinant, expressed in HEK 293 cells
Synonym(s):
EC:1.11.1.15;Natural killer cell-enhancing factor A;NKEF-A;Proliferation-associated gene protein;PAG;Thioredoxin peroxidase 2;Thioredoxin-dependent peroxide reductase 2
Select a Size
About This Item
biological source
rabbit
Quality Level
recombinant
expressed in HEK 293 cells
conjugate
unconjugated
antibody form
purified antibody
antibody product type
primary antibodies
clone
1G22, recombinant monoclonal
description
1G22 Clone
product line
ZooMAb® learn more
form
lyophilized
mol wt
calculated mol wt 22.11 kDa
observed mol wt ~22 kDa
purified by
using Protein A
species reactivity
human, rat, mouse
species reactivity (predicted by homology)
monkey, feline
packaging
antibody small pack of 25 μL
greener alternative product characteristics
Waste Prevention
Designing Safer Chemicals
Design for Energy Efficiency
Learn more about the Principles of Green Chemistry.
enhanced validation
recombinant expression
Learn more about Antibody Enhanced Validation
sustainability
Greener Alternative Product
technique(s)
affinity binding assay: suitable
immunohistochemistry: suitable
western blot: suitable
isotype
IgG
epitope sequence
Internal
Protein ID accession no.
UniProt accession no.
greener alternative category
shipped in
ambient
storage temp.
2-8°C
target post-translational modification
unmodified
Gene Information
human ... PRDX1(5052)
General description
Immunogen
Application
Evaluated by Western Blotting in HeLa cell lysate.
Western Blotting Analysis: A 1:1,000 dilution of this antibody detected Peroxiredoxin 1 in HeLa cell lysate.
Tested applications
Western Blotting Analysis: A 1:1,000 dilution from a representative lot detected Peroxiredoxin 1 in lysates from HepG2 and Raw264.7 cells and Rat heart tissue.
Affinity Binding Assay: A representative lot of this antibody bound Peroxiredoxin 1 peptide with a KD of 9.3 x 10-7 in an affinity binding assay.
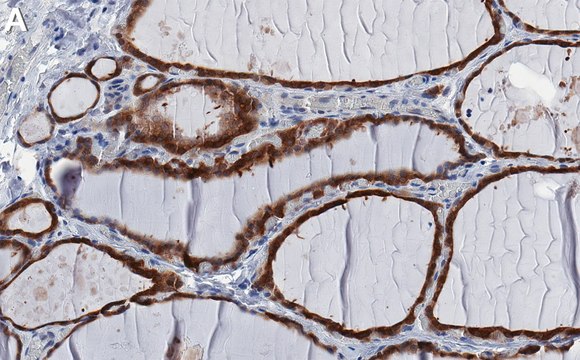
Immunohistochemistry (Paraffin) Analysis: A 1:100 dilution from a representative lot detected Peroxiredoxin 1 in human thyroid tissue sections.
Note: Actual optimal working dilutions must be determined by end user as specimens, and experimental conditions may vary with the end user
Evaluated by Western Blotting in HeLa cell lysate.
Western Blotting Analysis: A 1:1,000 dilution of this antibody detected Peroxiredoxin 1 in HeLa cell lysate.
Biochem/physiol Actions
Physical form
Preparation Note
Legal Information
Disclaimer
Not finding the right product?
Try our Product Selector Tool.
Storage Class
11 - Combustible Solids
wgk_germany
WGK 1
flash_point_f
Not applicable
flash_point_c
Not applicable
Choose from one of the most recent versions:
Already Own This Product?
Find documentation for the products that you have recently purchased in the Document Library.
Our team of scientists has experience in all areas of research including Life Science, Material Science, Chemical Synthesis, Chromatography, Analytical and many others.
Contact Technical Service