ZRB2057
Anti-ABCA1 Antibody, clone 1J11 ZooMAb® Rabbit Monoclonal

recombinant, expressed in HEK 293 cells
Synonym(s):
Phospholipid-transporting ATPase ABCA1;EC:7.6.2.1 1;ATP-binding cassette sub-family A member 1; ATP-binding cassette transporter 1;ABC-1;ATP-binding cassette 1;Cholesterol efflux regulatory protein
Select a Size
About This Item
biological source
rabbit
Quality Level
recombinant
expressed in HEK 293 cells
conjugate
unconjugated
antibody form
purified antibody
antibody product type
primary antibodies
clone
1J11, recombinant monoclonal
description
1J11 Clone
product line
ZooMAb® learn more
form
lyophilized
mol wt
calculated mol wt 254.3 kDa
observed mol wt ~250 kDa
purified by
using Protein A
species reactivity
mouse, human
species reactivity (predicted by homology)
porcine, rat, bovine, feline, monkey, canine
packaging
antibody small pack of 25 μL
greener alternative product characteristics
Waste Prevention
Designing Safer Chemicals
Design for Energy Efficiency
Learn more about the Principles of Green Chemistry.
enhanced validation
recombinant expression
Learn more about Antibody Enhanced Validation
sustainability
Greener Alternative Product
technique(s)
affinity binding assay: suitable
flow cytometry: suitable
immunocytochemistry: suitable
immunohistochemistry: suitable
western blot: suitable
isotype
IgG
epitope sequence
C-terminal
Protein ID accession no.
UniProt accession no.
greener alternative category
, Aligned
shipped in
ambient
storage temp.
2-8°C
target post-translational modification
unmodified
Gene Information
human ... ABCA1(19)
Related Categories
General description
Immunogen
Application
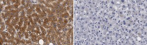
Evaluated by Immunohistochemistry (Paraffin) in Human liver tissue sections.
Immunohistochemistry (Paraffin) Analysis: A 1:100 dilution of this antibody detected ABCA1 in Human liver tissue sections.
Tested Applications
Affinity Binding Assay: A representative lot of this antibody bound ABCA1 with a KD of 2.7 x 10-7 in an affinity binding assay.
Western Blotting Analysis: A 1:10,000 dilution from a representative lot detected ABCA1 in Mouse liver tissue lysate.
Flow Cytometry Analysis: 0.1 μg from a representative lot detected ABCA1 in one million HepG2 cells.
Immunocytochemistry Analysis: A 1:100 dilution from a representative lot detected ABCA1 in HepG2 cells.
Note: Actual optimal working dilutions must be determined by end user as specimens, and experimental conditions may vary with the end user.
Biochem/physiol Actions
Physical form
Preparation Note
Legal Information
Disclaimer
Not finding the right product?
Try our Product Selector Tool.
Storage Class
11 - Combustible Solids
wgk_germany
WGK 1
flash_point_f
Not applicable
flash_point_c
Not applicable
Choose from one of the most recent versions:
Already Own This Product?
Find documentation for the products that you have recently purchased in the Document Library.
Our team of scientists has experience in all areas of research including Life Science, Material Science, Chemical Synthesis, Chromatography, Analytical and many others.
Contact Technical Service