Skip to Content
MilliporeSigma

ZRB2019

Anti-TYMS Antibody, clone 1E20 ZooMAb® Rabbit Monoclonal

greener alternative

recombinant, expressed in HEK 293 cells

Synonym(s):

EC:2.1.1.45, TS, TSase

Sign In to View Organizational & Contract Pricing.

Select a Size

Change View

About This Item

NACRES:
NA.41
UNSPSC Code:
12352203
Conjugate:
unconjugated
Clone:
1E20, recombinant monoclonal
Application:
FACS, ICC, IHC, WB, affinity binding assay
Citations:
-
Technical Service
Need help? Our team of experienced scientists is here for you.
Let Us Assist


biological source

rabbit

Quality Level

recombinant

expressed in HEK 293 cells

conjugate

unconjugated

antibody form

purified antibody

antibody product type

primary antibodies

clone

1E20, recombinant monoclonal

description

1E20 Clone

product line

ZooMAb® learn more

form

lyophilized

mol wt

calculated mol wt 35.72 kDa, observed mol wt ~33 kDa

purified by

using Protein A

species reactivity

rat, human

species reactivity (predicted by homology)

porcine, monkey

packaging

antibody small pack of 25 μL

greener alternative product characteristics

Waste Prevention
Designing Safer Chemicals
Design for Energy Efficiency
Learn more about the Principles of Green Chemistry.

enhanced validation

recombinant expression
Learn more about Antibody Enhanced Validation

technique(s)

affinity binding assay: suitable, flow cytometry: suitable, immunocytochemistry: suitable, immunohistochemistry: suitable, western blot: suitable

isotype

IgG

epitope sequence

C-terminal

Protein ID accession no.

UniProt accession no.

greener alternative category

shipped in

ambient

storage temp.

2-8°C

Gene Information

human ... TYMS(7298)

General description

Thymidylate synthase (UniProt: P04818; also known as EC:2.1.1.45, TS, TSase) is encoded by the TYMS (also known as TS, OK/SW-cl.29) gene (Gene ID: 7298) in human.  Thymidylate synthase is a homodimeric enzyme that catalyzes the reductive methylation of 2′-deoxyuridine 5′-monophosphate (dUMP) to thymidine 5′-monophosphate (dTMP), using the co-substrate, 5,10- methylenetetrahydrofolate (CH2H4folate) as a 1-carbon donor and reductant and contributes to the de novo mitochondrial thymidylate biosynthesis pathway. This reaction is the sole de novo biosynthesis of thymine in DNA. Cells that produce DNA need larger amounts of thymidylate synthase to fuel the DNA production. In the cell cycle more thymidylate synthase is produced during S and G2 phase where the most rapid cell proliferation takes place. In some cancers, such as those of the gastrointestinal tract, thymidylate synthase is considered as a tumor marker. Normal gastrointestinal tract cells undergoing rapid proliferation, and tumors cells undergoing rapid growth display higher expression of thymidylate synthase. The antiproliferative effect of thymidylate synthase depletion is accompanied by arrest of cells in S phase of the cell cycle and the induction of caspase-dependent apoptosis. This depletion also down-regulates the level of XIAP and activates the mitochondrial pathway of apoptosis. Three isoforms of Thymidylate synthase have been described that are produced by alternative splicing. This ZooMAb® recombinant monoclonal antibody, generated by our propriety technology, offers significantly enhanced specificity, affinity, reproducibility, and stability over conventional monoclonals. (Ref.: Takezawa, K., et al. (2010). Br. J. Cancer. 103(3); 354-361; Rose, MG., et al. (2002). Clin. Colorectal Cancer. 1(4); 220-229).
We are committed to bringing you greener alternative products, which adhere to one or more of The 12 Principles of Green Chemistry. This antibody is Preservative-free, produced without the harm or sacrifice of animals and exceptionally stable to allow for ambient shipping and storage if needed and thus aligns with "Waste Prevention", "Designing Safer Chemicals" and "Design for Energy Efficiency". Click here for more information.
ZooMAb® antibodies represent an entirely new generation of recombinant monoclonal antibodies. Each ZooMAb® antibody is manufactured using our proprietary recombinant expression system, purified to homogeneity, and precisely dispensed to produce robust and highly reproducible lot-to-lot consistency. Only top-performing clones are released for use by researchers. Each antibody is validated for high specificity and affinity across multiple applications, including its most commonly used application. ZooMAb® antibodies are reliably available and ready to ship when you need them.

Immunogen

KLH-conjugated linear peptide corresponding to 24 amino acids from the C-terminal region of human Thymidylate synthase (TYMS).

Application

Quality Control Testing

Evaluated by Western Blotting in HEK293 cell lysate.

Western Blotting Analysis: A 1:1,000 dilution of this antibody detected Thymidylate synthase (TYMS) in HEK293 cell lysate.

Tested Applications

Western Blotting Analysis: A 1:10,000 dilution from a representative lot detected TYMS in MCF-7 and L6 cell lysates.

Affinity Binding Assay: A representative lot of this antibody bound Thymidylate Synthase (TYMS) peptide with a KD of 2.2 x 10-6 in an affinity binding assay.

Flow Cytometry Analysis: 0.1 µg from a representative lot detected Thymidylate Synthase (TYMS) in one million HEK293 cells.

Immunocytochemistry Analysis: A 1:100 dilution from a representative lot detected Thymidylate Synthase (TYMS) in HEK 293 cells.

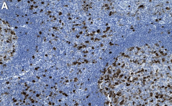
Immunohistochemistry (Paraffin) Analysis: A 1:1,000 dilution from a representative lot detected Thymidylate Synthase (TYMS) in human tonsil tissue sections.

Note: Actual optimal working dilutions must be determined by end user as specimens, and experimental conditions may vary with the end user.

Biochem/physiol Actions

Clone 1E20 is a ZooMAb® rabbit recombinant monoclonal antibody that specifically detects Thymidylate synthase (TYMS). It targets an epitope within 24 amino acids from the C-terminal region.

Physical form

Purified recombinant rabbit monoclonal antibody IgG, lyophilized in PBS, 5% Trehalose, normal appearance a coarse or translucent resin. The PBS/trehalose components in the ZooMAb formulation can have the appearance of a semi-solid (bead like gel) after lyophilization. This is a normal phenomenon. Please follow the recommended reconstitution procedure in the data sheet to dissolve the semi-solid, bead-like, gel-appearing material. The resulting antibody solution is completely stable and functional as proven by full functional testing. Contains no biocide or preservatives, such as azide, or any animal by-products. Larger pack sizes provided as multiples of 25 µL.

Preparation Note

Recommend storage of lyophilized product at 2-8°C; Before reconstitution, micro-centrifuge vials briefly to spin down material to bottom of the vial; Reconstitute each vial by adding 25 µL of filtered lab grade water or PBS; Reconstituted antibodies can be stored at 2-8°C, or -20°C for long term storage. Avoid repeated freeze-thaws.
Reconstitute lyophilized antibody pellet with 25μL of ultrapure water or Phosphate Buffered Saline (PBS). Please refer to our reconstitution protocol and the specific application guidance on the suggested starting dilutions and sample type.

Other Notes

Concentration: Please refer to the Certificate of Analysis for the lot-specific concentration.

Legal Information

ZooMAb is a registered trademark of Merck KGaA, Darmstadt, Germany

Disclaimer

Unless otherwise stated in our catalog or other company documentation accompanying the product(s), our products are intended for research use only and are not to be used for any other purpose, which includes but is not limited to, unauthorized commercial uses, in vitro diagnostic uses, ex vivo or in vivo therapeutic uses or any type of consumption or application to humans or animals.


Still not finding the right product?

Try our Product Selector Tool to narrow your options


Storage Class

11 - Combustible Solids

wgk

WGK 1

flash_point_f

Not applicable

flash_point_c

Not applicable



Choose from one of the most recent versions:

Certificates of Analysis (COA)

Lot/Batch Number

It looks like we've run into a problem, but you can still download Certificates of Analysis from our Documents section.

If you need assistance, please contact Customer Support

Already Own This Product?

Find documentation for the products that you have recently purchased in the Document Library.

Visit the Document Library



Global Trade Item Number

SKUGTIN
ZRB2019-25UL04065269801900
ZRB2019-4X25UL04065269801917