Skip to Content
MilliporeSigma

ZRB2000

Sigma-Aldrich

Anti-ARF6 Antibody, clone 1C10 ZooMAb® Rabbit Monoclonal

enhanced validation
greener alternative

recombinant, expressed in HEK 293 cells

Synonym(s):

ADP-ribosylation factor 6;EC:3.6.5.2

Sign Into View Organizational & Contract Pricing

Select a Size


About This Item

UNSPSC Code:
12352203
NACRES:
NA.43
Technical Service
Need help? Our team of experienced scientists is here for you.
Let Us Assist
Technical Service
Need help? Our team of experienced scientists is here for you.
Let Us Assist

biological source

rabbit

Quality Level

recombinant

expressed in HEK 293 cells

conjugate

unconjugated

antibody form

purified antibody

antibody product type

primary antibodies

clone

1C10, recombinant monoclonal

description

1C10 Clone

product line

ZooMAb® learn more

form

lyophilized

mol wt

calculated mol wt 20.08 kDa
observed mol wt ~18 kDa

purified by

using Protein A

species reactivity

human, rat

species reactivity (predicted by homology)

mouse

packaging

antibody small pack of 25 μL

greener alternative product characteristics

Waste Prevention
Designing Safer Chemicals
Design for Energy Efficiency
Learn more about the Principles of Green Chemistry.

enhanced validation

recombinant expression
Learn more about Antibody Enhanced Validation

sustainability

Greener Alternative Product

technique(s)

affinity binding assay: suitable
immunocytochemistry: suitable
immunohistochemistry: suitable
western blot: suitable

isotype

IgG

epitope sequence

C-terminal half

Protein ID accession no.

UniProt accession no.

greener alternative category

shipped in

ambient

storage temp.

2-8°C

target post-translational modification

unmodified

Gene Information

human ... ARF6(382)

General description

ADP-ribosylation factor 6 (UniProt: P62330; also known as EC:3.6.5.2, ARF6) is encoded by the ARF6 gene (Gene ID: 382) in human. Arf protein family is part of the large Ras superfamily which encompasses small GTPases. They are classified as class I (ARF1, ARF2 and ARF3), class II (ARF4 and ARF5) and class III (ARF6), and members of each class share a common gene organization. ARF1, 3, 4, and 5 are predominantly cytosolic, but could be recruited to a variety of intracellular membranes, but not plasma membranes. ARFf6 is found at the plasma membrane and in endosomes. It is ubiquitously expressed with higher levels observed in heart, substantia nigra, and kidney. It is located at the plasma membrane, cytosol, and endosomal membranes and is N-terminally myristoylated. The activation and inactivation of ARF6 involves guanine nucleotide exchange factors (GEFs) and GTPase-activating proteins (GAPs). GEFs possess a catalytic Sec7 domain that accelerates the dissociation of GDP from the ARF, allowing the insertion of GTP in the ARF nucleotide binding pocket and switching ARFs to an activated state. GAPs stimulate GTP hydrolysis on ARFs through their conserved ARFGAP zinc finger domain. ARF6 plays a role in intracellular vesicular trafficking and regulates the recycling of different types of cargo internalized via clathrin-dependent or -independent endocytosis. It is known to activate phosphatidylinositol 4-phosphate 5-kinase (PIP5K) and phospholipase D (PLD), which lead to production PIP2 and phosphatidic acid (PA). The ARF6-mediated increase in PIP2 is one of its crucial mechanisms of action in clathrin-dependent and -independent endocytosis, endosomal recycling, plasma membrane remodeling, and actin polymerization. This ZooMAb® recombinant monoclonal antibody, generated by our propriety technology, offers significantly enhanced specificity, affinity, reproducibility, and stability over conventional monoclonals. (Ref.: Van Acker, T., et al. (2019). Int. J. Mol. Sci. 20(9); 2209; Pasqualato, S., et al. (2001). EMBO Rep. 2(3); 234-238).
We are committed to bringing you greener alternative products, which adhere to one or more of The 12 Principles of Green Chemistry.This antibody is Preservative-free, produced without the harm or sacrifice of animals and exceptionally stable to allow for ambient shipping and storage if needed and thus aligns with "Waste Prevention", "Designing Safer Chemicals" and "Design for Energy Efficiency". Click here for more information.
ZooMAb® antibodies represent an entirely new generation of recombinant monoclonal antibodies.Each ZooMAb® antibody is manufactured using our proprietary recombinant expression system, purified to homogeneity, and precisely dispensed to produce robust and highly reproducible lot-to-lot consistency. Only top-performing clones are released for use by researchers. Each antibody is validated for high specificity and affinity across multiple applications, including its most commonly used application. ZooMAb® antibodies are reliably available and ready to ship when you need them.

Immunogen

KLH-conjugated linear peptide corresponding to 21 amino acids from the C-terminal half of human ADP-ribosylation factor 6 (ARF6).

Application

Quality Control Testing

Evaluated by Western Blotting in C6 cell lysate.

Western Blotting Analysis: A 1:1,000 dilution of this antibody detected ARF6 in C6 cell lysate.

Tested Applications

Western Blotting Analysis: A 1:1,000 dilution from a representative lot detected ARF6 in A431, HepG2, and MCF-7 cell lysates.

Immunocytochemistry Analysis: A 1:100 dilution from a representative lot detected ARF6 in C6 cells.

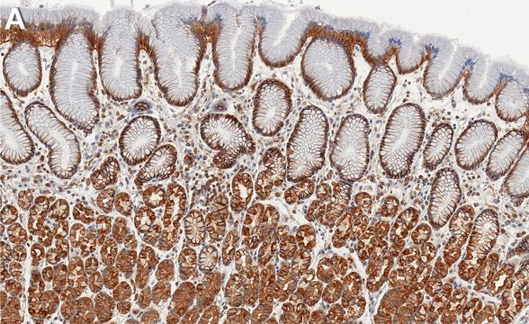
Immunohistochemistry (Paraffin) Analysis: A 1:100 dilution from a representative lot detected ARF6 in human stomach tissue sections.

Affinity Binding Assay: A representative lot of this antibody bound ARF6 peptide with a KD of 5.8 x 10-8 in an affinity binding assay.

Note: Actual optimal working dilutions must be determined by end user as specimens, and experimental conditions may vary with the end user

Biochem/physiol Actions

Clone 1C10 is a ZooMAb® Rabbit recombinant monoclonal antibody that specifically detects ADP-ribosylation factor 6 (ARF6). It targets an epitope within 21 amino acids from the C-terminal half.

Physical form

Purified recombinant rabbit monoclonal antibody IgG, lyophilized in PBS with 5% Trehalose, normal appearance a coarse or translucent resin. The PBS/trehalose components in the ZooMAb formulation can have the appearance of a semi-solid (bead like gel) after lyophilization. This is a normal phenomenon. Please follow the recommended reconstitution procedure in the data sheet to dissolve the semi-solid, bead-like, gel-appearing material. The resulting antibody solution is completely stable and functional as proven by full functional testing. Contains no biocide or preservatives, such as azide, or any animal by-products. Larger pack sizes provided as multiples of 25 μL.

Preparation Note

Recommend storage of lyophilized product at 2-8°C; Before reconstitution, micro-centrifuge vials briefly to spin down material to bottom of the vial; Reconstitute each vial by adding 25 μL of filtered lab grade water or PBS; Reconstituted antibodies can be stored at 2-8°C, or -20°C for long term storage. Avoid repeated freeze-thaws.
Reconstitute lyophilized antibody pellet with 25μL of ultrapure water or Phosphate Buffered Saline (PBS). Please refer to our reconstitution protocol and the specific application guidance on the suggested starting dilutions and sample type.

Legal Information

ZooMAb is a registered trademark of Merck KGaA, Darmstadt, Germany

Disclaimer

Unless otherwise stated in our catalog or other company documentation accompanying the product(s), our products are intended for research use only and are not to be used for any other purpose, which includes but is not limited to, unauthorized commercial uses, in vitro diagnostic uses, ex vivo or in vivo therapeutic uses or any type of consumption or application to humans or animals.

Not finding the right product?  

Try our Product Selector Tool.

Storage Class

11 - Combustible Solids

wgk_germany

WGK 1

flash_point_f

Not applicable

flash_point_c

Not applicable


Choose from one of the most recent versions:

Certificates of Analysis (COA)

Lot/Batch Number

It looks like we've run into a problem, but you can still download Certificates of Analysis from our Documents section.

If you need assistance, please contact Customer Support

Already Own This Product?

Find documentation for the products that you have recently purchased in the Document Library.

Visit the Document Library

Our team of scientists has experience in all areas of research including Life Science, Material Science, Chemical Synthesis, Chromatography, Analytical and many others.

Contact Technical Service