Skip to Content
MilliporeSigma

ZRB1999

Sigma-Aldrich

Anti-Collagen VI Antibody, clone 1N10 ZooMAb® Rabbit Monoclonal

enhanced validation
greener alternative

recombinant, expressed in HEK 293 cells

Synonym(s):

Collagen alpha-1(VI) chain

Sign Into View Organizational & Contract Pricing

Select a Size


About This Item

UNSPSC Code:
12352203
NACRES:
NA.43
Technical Service
Need help? Our team of experienced scientists is here for you.
Let Us Assist
Technical Service
Need help? Our team of experienced scientists is here for you.
Let Us Assist

biological source

rabbit

Quality Level

recombinant

expressed in HEK 293 cells

conjugate

unconjugated

antibody form

purified antibody

antibody product type

primary antibodies

clone

1N10, recombinant monoclonal

description

1N10 Clone

product line

ZooMAb® learn more

form

lyophilized

mol wt

calculated mol wt 108.53 kDa
observed mol wt ~145 kDa

purified by

using Protein A

species reactivity

human, mouse, rat

species reactivity (predicted by homology)

monkey, porcine, bovine

packaging

antibody small pack of 25 μL

greener alternative product characteristics

Waste Prevention
Designing Safer Chemicals
Design for Energy Efficiency
Learn more about the Principles of Green Chemistry.

enhanced validation

recombinant expression
Learn more about Antibody Enhanced Validation

sustainability

Greener Alternative Product

technique(s)

affinity binding assay: suitable
immunofluorescence: suitable
immunohistochemistry: suitable
western blot: suitable

isotype

IgG

epitope sequence

N-terminal

Protein ID accession no.

UniProt accession no.

greener alternative category

shipped in

ambient

storage temp.

2-8°C

target post-translational modification

unmodified

Gene Information

human ... COL6A1(1291)

General description

Collagen alpha-1(VI) chain (UniProt: P12109; also known as Collagen Type VI) I encoded by the COL6A1 gene (Gene ID: 1291) in Human. Collagen is the most abundant protein in the body that is predominantly synthesized by fibroblasts. However, epithelial cells may also synthesize small amounts of collagen. The collagen super family includes over 20 different types of collagens with at least 38 distinct polypeptide chains. Collagen Type VI acts as a cell-binding protein. In addition to anchoring the basement membrane to the pericellular matrix in muscle, research also indicates a role for collagen VI in cell signaling and cell migration. It is an extracellular matrix (ECM) component present in virtually all connective tissues, including cartilage, bone, tendon, muscles, and cornea, where it forms microfibrils in close association with basement membranes. The basic structural unit of collagen VI is a heterotrimer composed of the -1(VI), -2(VI), and -3(VI) chains (encoded by the COL6A1, COL6A2, and COL6A3 genes, respectively). The 1(VI) and 2(VI) chains are similar in size and domain structure, they contain a 335- or 336-amino acid triple helix region that is characteristic of all collagens. Flanking the triple helix are domains homologous to the A-type domains found in von Willebrand factor (VWA domains). 1(VI) and 2(VI) contain one VWA domain N-terminal to the triple helix (N1) and two VWA domains C-terminal of the helix (C1 and C2). The 3(VI) chain, on the other hand, is much larger with 10 N-terminal (N1 N10) and two C-terminal VWA domains (C1 and C2), and several other types of identifiable domains in the C terminal region (C3 C5). Mutations in COL6A1 gene are known to cause Bethlem myopathy, a benign proximal myopathy characterized by early childhood onset and joint contractures most frequently affecting the elbows and ankles. This ZooMAb® recombinant monoclonal antibody, generated by our propriety technology, offers significantly enhanced specificity, affinity, reproducibility, and stability over conventional monoclonals. (Ref.: Scacheri, PC., et al. (2002). Neurology. 58(4); 593-602; Chu, ML., et al. (1989). EMBO J. 8(7); 1939-1946).
We are committed to bringing you greener alternative products, which adhere to one or more of The 12 Principles of Green Chemistry.This antibody is Preservative-free, produced without the harm or sacrifice of animals and exceptionally stable to allow for ambient shipping and storage if needed and thus aligns with "Waste Prevention", "Designing Safer Chemicals" and "Design for Energy Efficiency". Click here for more information.
ZooMAb® antibodies represent an entirely new generation of recombinant monoclonal antibodies.Each ZooMAb® antibody is manufactured using our proprietary recombinant expression system, purified to homogeneity, and precisely dispensed to produce robust and highly reproducible lot-to-lot consistency. Only top-performing clones are released for use by researchers. Each antibody is validated for high specificity and affinity across multiple applications, including its most commonly used application. ZooMAb® antibodies are reliably available and ready to ship when you need them.

Immunogen

KLH-conjugated linear peptide corresponding to 21 amino acids from the N-terminal region of Human Collagen Type VI.

Application

Quality Control Testing

Evaluated by Western Blotting in L6 cell lysate.

Western Blotting Analysis: A 1:1,000 dilution of this antibody detected Collagen VI in L6 cell lysate.

Tested Applications

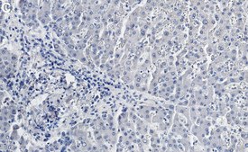
Western Blotting Analysis: A 1:1,000 dilution from a representative lot detected Collagen VI in Human Heart, Mouse Heart, and Human Liver tissue lysates.

Affinity Binding Assay: A representative lot of this antibody bound Collagen VI peptide with a KD of 1.0 x 10-12 in an affinity binding assay.

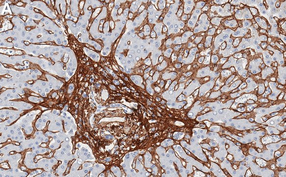
Immunohistochemistry (Paraffin) Analysis: A 1:100 dilution from a representative lot detected Collagen VI in human liver tissue sections.

Immunofluorescence Analysis: A 1:100 dilution from a representative lot detected Collagen VI in human liver tissue sections.

Note: Actual optimal working dilutions must be determined by end user as specimens, and experimental conditions may vary with the end user.

Biochem/physiol Actions

Clone 1N10 is a ZooMAb® Rabbit recombinant monoclonal antibody that specifically detects Collagen Type VI. It targets an epitope within 21 amino acids from the N-terminal region.

Physical form

Purified recombinant rabbit monoclonal antibody IgG, lyophilized in PBS with 5% Trehalose, normal appearance a coarse or translucent resin. The PBS/trehalose components in the ZooMAb formulation can have the appearance of a semi-solid (bead like gel) after lyophilization. This is a normal phenomenon. Please follow the recommended reconstitution procedure in the data sheet to dissolve the semi-solid, bead-like, gel-appearing material. The resulting antibody solution is completely stable and functional as proven by full functional testing. Contains no biocide or preservatives, such as azide, or any animal by-products. Larger pack sizes provided as multiples of 25 μL.

Preparation Note

Recommend storage of lyophilized product at 2-8°C; Before reconstitution, micro-centrifuge vials briefly to spin down material to bottom of the vial; Reconstitute each vial by adding 25 μL of filtered lab grade water or PBS; Reconstituted antibodies can be stored at 2-8°C, or -20°C for long term storage. Avoid repeated freeze-thaws.
Reconstitute lyophilized antibody pellet with 25μL of ultrapure water or Phosphate Buffered Saline (PBS). Please refer to our reconstitution protocol and the specific application guidance on the suggested starting dilutions and sample type.

Legal Information

ZooMAb is a registered trademark of Merck KGaA, Darmstadt, Germany

Disclaimer

Unless otherwise stated in our catalog or other company documentation accompanying the product(s), our products are intended for research use only and are not to be used for any other purpose, which includes but is not limited to, unauthorized commercial uses, in vitro diagnostic uses, ex vivo or in vivo therapeutic uses or any type of consumption or application to humans or animals.

Not finding the right product?  

Try our Product Selector Tool.

Storage Class

11 - Combustible Solids

wgk_germany

WGK 1

flash_point_f

Not applicable

flash_point_c

Not applicable


Choose from one of the most recent versions:

Certificates of Analysis (COA)

Lot/Batch Number

It looks like we've run into a problem, but you can still download Certificates of Analysis from our Documents section.

If you need assistance, please contact Customer Support

Already Own This Product?

Find documentation for the products that you have recently purchased in the Document Library.

Visit the Document Library

Our team of scientists has experience in all areas of research including Life Science, Material Science, Chemical Synthesis, Chromatography, Analytical and many others.

Contact Technical Service