ZRB1986
Anti-RhoA Antibody, clone 1K8 ZooMAb® Rabbit Monoclonal


recombinant, expressed in HEK 293 cells
Synonym(s):
EC:3.6.5.2, Rho cDNA clone 12 (h12), Transforming protein RhoA
biological source
rabbit
Quality Level
recombinant
expressed in HEK 293 cells
conjugate
unconjugated
antibody form
purified antibody
antibody product type
primary antibodies
clone
1K8, recombinant monoclonal
description
recombinant, expressed in HEK 293 cells
product line
ZooMAb® learn more
form
lyophilized
mol wt
calculated mol wt 21.77 kDa
observed mol wt ~18 kDa
purified by
using Protein A
species reactivity
human, rat
species reactivity (predicted by homology)
mouse, nonhuman primates
packaging
antibody small pack of 25
greener alternative product characteristics
Waste Prevention
Designing Safer Chemicals
Design for Energy Efficiency
Learn more about the Principles of Green Chemistry.
enhanced validation
recombinant expression
Learn more about Antibody Enhanced Validation
sustainability
Greener Alternative Product
concentration
0.3 mg/mL
technique(s)
affinity binding assay: suitable
immunofluorescence: suitable
immunohistochemistry: suitable
western blot: suitable
isotype
IgG
epitope sequence
C-terminus
Protein ID accession no.
UniProt accession no.
greener alternative category
shipped in
ambient
storage temp.
2-8°C
Gene Information
human ... RHOA(387)
Related Categories
General description
Immunogen
Application
Evaluated by Western Blotting in HL-60 cell lysate.
Western Blotting Analysis: A 1:10,000 dilution of this antibody detected RhoA in HL-60 cell lysate.
Tested Applications
Western Blotting Analysis: A 1:1,000 dilution from a representative lot detected RhoA in lysates from human adipose tissue, rat thyroid tissue, and Ramos cells.
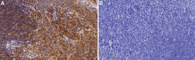
Immunohistochemistry (Paraffin) Analysis: A 1:100 dilution from a representative lot detected RhoA in human cerebral cortex and human tonsil tissue sections.
Immunofluorescence Analysis: A 1:100 dilution from a representative lot detected RhoA in human tonsil tissue sections.
Affinity Binding Assay: A representative lot of this antibody bound RhoA peptide with at least one thousand-fold (1,000X) higher affinity than with non-specific control peptide.
Note: Actual optimal working dilutions must be determined by end user as specimens, and experimental conditions may vary with the end user.
Biochem/physiol Actions
Physical form
Preparation Note
Legal Information
Disclaimer
Not finding the right product?
Try our Product Selector Tool.
Choose from one of the most recent versions:
Already Own This Product?
Find documentation for the products that you have recently purchased in the Document Library.
Our team of scientists has experience in all areas of research including Life Science, Material Science, Chemical Synthesis, Chromatography, Analytical and many others.
Contact Technical Service