Skip to Content
MilliporeSigma

ZRB1980

Sigma-Aldrich

Anti-Cdk5 Antibody, clone 1H13 ZooMAb® Rabbit Monoclonal

enhanced validation
greener alternative

recombinant, expressed in HEK 293 cells

Synonym(s):

Cell division protein kinase 5, Cyclin-dependent kinase 5, Cyclin-dependent-like kinase 5, EC:2.7.11.1, Serine/threonine-protein kinase PSSALRE, TPKII catalytic subunit, Tau protein kinase II catalytic subunit

Sign Into View Organizational & Contract Pricing

Select a Size


About This Item

UNSPSC Code:
12352203
NACRES:
NA.43
Technical Service
Need help? Our team of experienced scientists is here for you.
Let Us Assist
Technical Service
Need help? Our team of experienced scientists is here for you.
Let Us Assist

biological source

rabbit

Quality Level

recombinant

expressed in HEK 293 cells

conjugate

unconjugated

antibody form

purified antibody

antibody product type

primary antibodies

clone

1H13, recombinant monoclonal

description

recombinant, expressed in HEK 293 cells

product line

ZooMAb® learn more

form

lyophilized

purified by

using Protein A

species reactivity

monkey, rat, mouse, human

packaging

antibody small pack of 25 μL

greener alternative product characteristics

Waste Prevention
Designing Safer Chemicals
Design for Energy Efficiency
Learn more about the Principles of Green Chemistry.

enhanced validation

recombinant expression
Learn more about Antibody Enhanced Validation

sustainability

Greener Alternative Product

technique(s)

affinity binding assay: suitable
immunocytochemistry: suitable
immunohistochemistry: suitable
western blot: suitable

isotype

IgG

epitope sequence

C-terminal

Protein ID accession no.

UniProt accession no.

greener alternative category

shipped in

ambient

storage temp.

2-8°C

General description

Cyclin-dependent kinase 5 (UniProt: Q00535; also known as EC:2.7.11.1, Cell division protein kinase 5, Cyclin-dependent-like kinase 5, Serine/threonine-protein kinase PSSALRE, Tau protein kinase II catalytic subunit, TPKII catalytic subunit) is encoded by the CDK5 (also known as CDKN5, PSSALRE) gene (Gene ID: 1020) in human. Cdk5 is a Proline®-directed serine/threonine-protein kinase that is reported to be essential for neuronal cell cycle arrest and differentiation. It interacts with D1 and D3-type G1 cyclins. By phosphorylating several KEY® proteins, It regulates several neuronal development and physiological processes, including neuronal survival, migration and differentiation, axonal and neurite growth, synaptogenesis, oligodendrocyte differentiation, synaptic plasticity, and neurotransmission. Cdk5 is activated by interaction with CDK5R1 (p35) and CDK5R2 (p39), especially in postmitotic neurons, and promotes p35 expression in an auto stimulation loop. It phosphorylates several downstream substrates such as Rho and Ras family small GTPases, and microtubule-binding proteins (Tau, MAP2, MAP1B), and modulates actin dynamics to regulate neurite growth and/or spine morphogenesis. In the mature central nervous system, it regulates neurotransmitter movements by phosphorylating substrates associated with neurotransmitter release and synapse plasticity, synaptic vesicle exocytosis, vesicles fusion with the presynaptic membrane, and endocytosis. Cdk5 also promotes cell survival by activating anti-apoptotic Bcl2 and STAT3, and negatively regulates  JNK3. Phosphorylation of p53/TP53 in response to genotoxic and oxidative stresses enhances its stabilization by preventing ubiquitin ligase-mediated proteasomal degradation, and induces transactivation of p53/TP53 target genes, thus regulating apoptosis.  Two isoforms of Cdk5 have been described that are produced by alternative splicing. This ZooMAb® recombinant monoclonal antibody, generated by our propriety technology, offers significantly enhanced specificity, Affinity, reproducibility, and stability over conventional monoclonals. (Ref.: Lee, J-H., et al. (2007). J. Cell Sci. 120(13); 2259-2271; Sato, K., et al. (2007). J. Neurosci. Res. 85(14); 3071-3078; Kerokoski, P., et al. (2002). Brain Res. Mol. Brain Res. 106(1); 50-56).
We are committed to bringing you greener alternative products, which adhere to one or more of The 12 Principles of Green Chemistry.This antibody is Preservative-free, produced without the harm or sacrifice of animals and exceptionally stable to allow for ambient shipping and storage if needed and thus aligns with "Waste Prevention", "Designing Safer Chemicals" and "Design for Energy Efficiency". Click here for more information.
ZooMAb® antibodies represent an entirely new generation of recombinant monoclonal antibodies. Each ZooMAb® antibody is manufactured using our proprietary recombinant expression system, purified to homogeneity, and precisely dispensed to produce robust and highly reproducible lot-to-lot consistency. Only top-performing clones are released for use by researchers. Each antibody is validated for high specificity and affinity across multiple applications, including its most commonly used application. ZooMAb® antibodies are reliably available and ready to ship when you need them.

Immunogen

KLH-conjugated linear peptide corresponding to 17 amino acids from the C-terminal region of human Cyclin-dependent kinase 5 (Cdk5).

Application

Quality Control Testing

Evaluated by Western Blotting in Mouse brain tissue lysate.

Western Blotting Analysis: A 1:10,000 dilution of this antibody detected Cdk5 in Mouse brain tissue lysate.

Tested Applications

Western Blotting Analysis: A 1:10,000 dilution from a representative lot detected Cdk5 in lysates from COS-7, SH-SY5Y cells, and Human brain tissue and 1:1,000 dilution in PC12 cell lysate.

Affinity Binding Assay: A representative lot of this antibody bound Cdk5 peptide with a KD of 6.2 x 10-9 in an affinity binding assay.

Immunocytochemistry Analysis: A 1:100 dilution from a representative lot detected Cdk5 in SH-SY5Y cells.

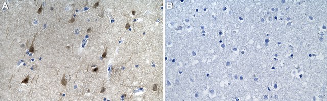
Immunohistochemistry (Paraffin) Analysis: A 1:100 dilution from a representative lot detected Cdk5 in Human cerebral cortex tissue sections.

Note: Actual optimal working dilutions must be determined by end user as specimens, and experimental conditions may vary with the end user.

Biochem/physiol Actions

Clone 1H13 is a ZooMAb® rabbit recombinant monoclonal antibody that specifically detects Cyclin-dependent kinase 5 (Cdk5). It targets an epitope within 17 amino acids from the C-terminal region.

Physical form

Purified recombinant rabbit monoclonal antibody IgG, lyophilized in PBS, 5% Trehalose, normal appearance a coarse or translucent resin. The PBS/trehalose components in the ZooMAb formulation can have the appearance of a semi-solid (bead like gel) after lyophilization. This is a normal phenomenon. Please follow the recommended reconstitution procedure in the data sheet to dissolve the semi-solid, bead-like, gel-appearing material. The resulting antibody solution is completely stable and functional as proven by full functional testing. Contains no biocide or preservatives, such as azide, or any animal by-products. Larger pack sizes provided as multiples of 25 µL.

Preparation Note

Recommend storage of lyophilized product at 2-8°C; Before reconstitution, micro-centrifuge vials briefly to spin down material to bottom of the vial; Reconstitute each vial by adding 25 µL of filtered lab grade water or PBS; Reconstituted antibodies can be stored at 2-8°C, or -20°C for long term storage. Avoid repeated freeze-thaws.
Reconstitute lyophilized antibody pellet with 25μL of ultrapure water or Phosphate Buffered Saline (PBS). Please refer to our reconstitution protocol and the specific application guidance on the suggested starting dilutions and sample type.

Other Notes

Concentration: Please refer to the Certificate of Analysis for the lot-specific concentration.

Legal Information

Affinity is a trademark of Mine Safety Appliances Co.
KEY is a registered trademark of Hanna Instruments
Proline is a registered trademark of Sartorius Biohit Liquid Handling Oy
ZooMAb is a registered trademark of Merck KGaA, Darmstadt, Germany

Disclaimer

Unless otherwise stated in our catalog or other company documentation accompanying the product(s), our products are intended for research use only and are not to be used for any other purpose, which includes but is not limited to, unauthorized commercial uses, in vitro diagnostic uses, ex vivo or in vivo therapeutic uses or any type of consumption or application to humans or animals.

Not finding the right product?  

Try our Product Selector Tool.

Storage Class

11 - Combustible Solids

wgk_germany

WGK 1

flash_point_f

Not applicable

flash_point_c

Not applicable


Choose from one of the most recent versions:

Certificates of Analysis (COA)

Lot/Batch Number

It looks like we've run into a problem, but you can still download Certificates of Analysis from our Documents section.

If you need assistance, please contact Customer Support

Already Own This Product?

Find documentation for the products that you have recently purchased in the Document Library.

Visit the Document Library

Articles

Learn about the hallmarks of cancer and find reliable ZooMAb® recombinant antibodies to study them, conveniently organized by cancer hallmark.

Our team of scientists has experience in all areas of research including Life Science, Material Science, Chemical Synthesis, Chromatography, Analytical and many others.

Contact Technical Service