ZRB1914
Anti-PDHA1 Antibody, clone 1B13 ZooMAb® Rabbit Monoclonal

recombinant, expressed in HEK 293 cells
Select a Size
About This Item
biological source
rabbit
Quality Level
recombinant
expressed in HEK 293 cells
conjugate
unconjugated
antibody form
purified antibody
antibody product type
primary antibodies
clone
1B13, recombinant monoclonal
description
1B13 Clone
product line
ZooMAb® learn more
form
lyophilized
mol wt
calculated mol wt 43.3 kDa
observed mol wt ~40 kDa
purified by
using Protein A
species reactivity
human, mouse, rat
species reactivity (predicted by homology)
bovine, porcine, monkey
packaging
antibody small pack of 25 μL
greener alternative product characteristics
Waste Prevention
Designing Safer Chemicals
Design for Energy Efficiency
Learn more about the Principles of Green Chemistry.
enhanced validation
recombinant expression
Learn more about Antibody Enhanced Validation
sustainability
Greener Alternative Product
technique(s)
affinity binding assay: suitable
flow cytometry: suitable
immunocytochemistry: suitable
immunohistochemistry (formalin-fixed, paraffin-embedded sections): suitable
western blot: suitable
isotype
IgG
epitope sequence
N-terminal half
Protein ID accession no.
UniProt accession no.
greener alternative category
shipped in
ambient
storage temp.
2-8°C
target post-translational modification
unmodified
Gene Information
human ... PDHA1(5160)
General description
Immunogen
Application
Evaluated by Western Blotting in Rat liver tissue lysate.
Western Blotting Analysis: A 1:1,000 dilution of this antibody detected PDHA1 in Rat liver tissue lysate.
Tested applications
Western Blotting Analysis: A 1:1,000 dilution from a representative lot detected PDHA1 in lysates from human kidney tissue and NIH3T3 cells.
Affinity Binding Assay: A representative lot of this antibody bound PDHA1 with a KD of 2.6 x 10-7 in an affinity binding assay.
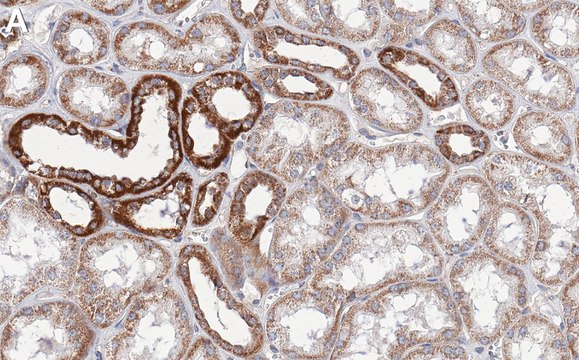
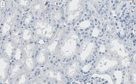
Immunohistochemistry (Paraffin) Analysis: A 1:100 dilution from a representative lot detected PDHA1 in human kidney tissue sections.
Flow Cytometry Analysis: 1 μg from a representative lot detected PDHA1 in one million A549 cells.
Immunocytochemistry Analysis: A 1:100 dilution from a representative lot detected PDHA1 in A549 cells.
Note: Actual optimal working dilutions must be determined by end user as specimens, and experimental conditions may vary with the end user
Biochem/physiol Actions
Physical form
Preparation Note
Legal Information
Disclaimer
Not finding the right product?
Try our Product Selector Tool.
Storage Class
13 - Non Combustible Solids
wgk_germany
WGK 1
flash_point_f
Not applicable
flash_point_c
Not applicable
Choose from one of the most recent versions:
Already Own This Product?
Find documentation for the products that you have recently purchased in the Document Library.
Articles
Learn about the hallmarks of cancer and find reliable ZooMAb® recombinant antibodies to study them, conveniently organized by cancer hallmark.
Our team of scientists has experience in all areas of research including Life Science, Material Science, Chemical Synthesis, Chromatography, Analytical and many others.
Contact Technical Service