ZRB1858
Anti-Met Antibody, clone 2G19 ZooMAb® Rabbit Monoclonal

recombinant, expressed in HEK 293 cells
Synonym(s):
Anti-C9orf72 Long form Antibody, clone 1O5 ZooMAb® Rabbit Monoclonal, EC:2.7.10.1, HGF receptor, HGF/SF receptor, Hepatocyte growth factor receptor, Proto-oncogene c-Met, SF receptor, Scatter factor receptor, Tyrosine-protein kinase Met
Select a Size
About This Item
biological source
rabbit
Quality Level
recombinant
expressed in HEK 293 cells
conjugate
unconjugated
antibody form
purified antibody
antibody product type
primary antibodies
clone
2G19, recombinant monoclonal
description
recombinant, expressed in HEK 293 cells
product line
ZooMAb® learn more
form
lyophilized
mol wt
calculated mol wt 155.54 kDa
observed mol wt ~155 kDa
purified by
using Protein A
species reactivity
human, mouse
packaging
antibody small pack of 25
greener alternative product characteristics
Waste Prevention
Designing Safer Chemicals
Design for Energy Efficiency
Learn more about the Principles of Green Chemistry.
enhanced validation
recombinant expression
Learn more about Antibody Enhanced Validation
sustainability
Greener Alternative Product
technique(s)
affinity binding assay: suitable
immunocytochemistry: suitable
immunohistochemistry: suitable
western blot: suitable
isotype
IgG
epitope sequence
N-terminal half
Protein ID accession no.
UniProt accession no.
greener alternative category
shipped in
ambient
storage temp.
2-8°C
Gene Information
human  ...  MET(4233)   
General description
Immunogen
Application
Evaluated by Western Blotting in Human liver tissue lysate.
Western Blotting Analysis: A 1:1,000 dilution of this antibody detected Met in Human liver tissue lysate.
Tested Applications
Affinity Binding Assay: A representative lot of this antibody bound Met peptide with a KD of 1.0 x 1.6 x 10-7 in an affinity binding assay.
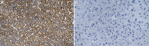
Immunohistochemistry (Paraffin) Analysis: A 1:1,000 dilution from a representative lot detected Met in Human liver and Mouse liver tissue sections.
Immunocytochemistry Analysis: A 1:100 dilution from a representative lot detected Met in HeLa cells.
Note: Actual optimal working dilutions must be determined by end user as specimens, and experimental conditions may vary with the end user.
Biochem/physiol Actions
Physical form
Preparation Note
Legal Information
Disclaimer
Not finding the right product?
Try our Product Selector Tool.
Storage Class
11 - Combustible Solids
wgk_germany
WGK 1
flash_point_f
Not applicable
flash_point_c
Not applicable
Choose from one of the most recent versions:
Already Own This Product?
Find documentation for the products that you have recently purchased in the Document Library.
Articles
Learn about the hallmarks of cancer and find reliable ZooMAb® recombinant antibodies to study them, conveniently organized by cancer hallmark.
Our team of scientists has experience in all areas of research including Life Science, Material Science, Chemical Synthesis, Chromatography, Analytical and many others.
Contact Technical Service