Skip to Content
MilliporeSigma

ZRB1842

Sigma-Aldrich

Anti-Cytokeratin-17 Antibody, clone 2K20 ZooMAb® Rabbit Monoclonal

enhanced validation
greener alternative

recombinant, expressed in HEK 293 cells

Sign Into View Organizational & Contract Pricing

Select a Size


About This Item

UNSPSC Code:
12352203
NACRES:
NA.43
Technical Service
Need help? Our team of experienced scientists is here for you.
Let Us Assist
Technical Service
Need help? Our team of experienced scientists is here for you.
Let Us Assist

biological source

rabbit

Quality Level

recombinant

expressed in HEK 293 cells

conjugate

unconjugated

antibody form

purified antibody

antibody product type

primary antibodies

clone

2K20, recombinant monoclonal

description

2K20 Clone

product line

ZooMAb® learn more

form

lyophilized

mol wt

calculated mol wt 48.11 kDa
observed mol wt ~48 kDa

purified by

using Protein A

species reactivity

rat, human, mouse

species reactivity (predicted by homology)

monkey

packaging

antibody small pack of 25 μL

greener alternative product characteristics

Waste Prevention
Designing Safer Chemicals
Design for Energy Efficiency
Learn more about the Principles of Green Chemistry.

enhanced validation

recombinant expression
Learn more about Antibody Enhanced Validation

sustainability

Greener Alternative Product

technique(s)

affinity binding assay: suitable
immunohistochemistry (formalin-fixed, paraffin-embedded sections): suitable
western blot: suitable

isotype

IgG

epitope sequence

N-terminal half

Protein ID accession no.

UniProt accession no.

greener alternative category

shipped in

ambient

storage temp.

2-8°C

target post-translational modification

unmodified

Gene Information

human ... KRT17(3872)

General description

Keratin, type I cytoskeletal 17 (UniProt: Q04695; also known as 39.1, Cytokeratin-17, CK-17, Keratin-17, K17) is encoded by the KRT17 gene (Gene ID: 3872) in human. Keratins are the intermediate filament proteins of epithelia that display high degree of molecular diversity. They are heteropolymeric filaments formed by pairing of type I and type II keratins that are expressed in a highly specific patterns depending on the epithelial type and stage of cellular differentiation. An important unique feature of cytokeratins is their epithelial cell-type-specific expression. About 20 different cytokeratin proteins have been reported in higher animals in varying combinations during various stages of development. Cytokeratin 17 is a Type I keratin that is involved in the formation and maintenance of various skin appendages, specifically in determining shape and orientation of hair. It is required for the correct growth of hair follicles. Its expression is reported in the outer root sheath and medulla region of hair follicle, nail matrix and nail bed epithelium, mucosal stratified squamous epithelia and in basal cells of oral epithelium. It is also expressed in palmoplantar epidermis and sweat and mammary glands. Cytokeratin 17 induction is reported in damaged or stressed epidermis. It can also be induced by IFN , TNF- , and TGF- . It modulates the function of TNF- in the specific context of hair cycling. It regulates protein synthesis and epithelial cell growth through binding to the adapter protein SFN and by stimulating Akt/mTOR pathway. It contains a central -helical rod domain of 310 amino acids flanked by non-helical head (aa 1-83) and tail (aa 393-432) domains. This ZooMAbZooMAb® recombinant monoclonal antibody, generated by our propriety technology, offers significantly enhanced specificity, affinity, reproducibility, and stability over conventional monoclonals. (Ref.: McGowan, KM., and Coulombe, PA. (2000). J. Invest. Dermatol. 114(6); 1101-1107).
We are committed to bringing you greener alternative products, which adhere to one or more of The 12 Principles of Green Chemistry.This antibody is Preservative-free, produced without the harm or sacrifice of animals and exceptionally stable to allow for ambient shipping and storage if needed and thus aligns with "Waste Prevention", "Designing Safer Chemicals" and "Design for Energy Efficiency". Click here for more information.
ZooMAb® antibodies represent an entirely new generation of recombinant monoclonal antibodies.Each ZooMAb® antibody is manufactured using our proprietary recombinant expression system, purified to homogeneity, and precisely dispensed to produce robust and highly reproducible lot-to-lot consistency. Only top-performing clones are released for use by researchers. Each antibody is validated for high specificity and affinity across multiple applications, including its most commonly used application. ZooMAb® antibodies are reliably available and ready to ship when you need them.

Immunogen

KLH-conjugated linear peptide corresponding to 15 amino acids from the N-terminal half of human Cytokeratin-17.

Application

Quality Control Testing

Evaluated by Western Blotting in MCF10A cell lysate.

Western Blotting Analysis: A 1:1,000 dilution of this antibody detected Cytokeratin-17 in MCF10A cell lysate.

Tested applications

Western Blotting Analysis: A 1:1,000 dilution from a representative lot detected Cytokeratin-17 in lysates from OVCAR3 cells, Rat Skin, and E18 Mouse Skin tissue.

Affinity Binding Assay: A representative lot of this antibody bound Cytokeratin-17 with a KD of 2.0 x 10-8 in an affinity binding assay.

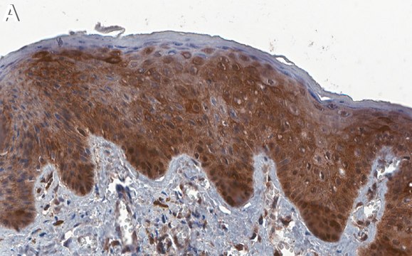
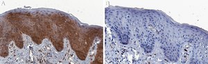
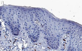
Immunohistochemistry (Paraffin) Analysis: A 1:100 dilution from a representative lot detected Cytokeratin-17 in human skin tissue sections.

Note: Actual optimal working dilutions must be determined by end user as specimens, and experimental conditions may vary with the end user

Biochem/physiol Actions

Clone 2K20 is a ZooMAb® Rabbit recombinant monoclonal antibody that specifically detects Cytokeratin-17. It targets an epitope within 15 amino acids from the N-terminal half.

Physical form

Purified recombinant rabbit monoclonal antibody IgG, lyophilized in PBS, 5% Trehalose, normal appearance a coarse or translucent resin. The PBS/trehalose components in the ZooMAb formulation can have the appearance of a semi-solid (bead like gel) after lyophilization. This is a normal phenomenon. Please follow the recommended reconstitution procedure in the data sheet to dissolve the semi-solid, bead-like, gel-appearing material. The resulting antibody solution is completely stable and functional as proven by full functional testing. Contains no biocide or preservatives, such as azide, or any animal by-products. Larger pack sizes provided as multiples of 25 μL.

Preparation Note

Recommend storage of lyophilized product at 2-8°C; Before reconstitution, micro-centrifuge vials briefly to spin down material to bottom of the vial; Reconstitute each vial by adding 25 μL of filtered lab grade water or PBS; Reconstituted antibodies can be stored at 2-8°C, or -20°C for long term storage. Avoid repeated freeze-thaws.
Reconstitute lyophilized antibody pellet with 25μL of ultrapure water or Phosphate Buffered Saline (PBS). Please refer to our reconstitution protocol and the specific application guidance on the suggested starting dilutions and sample type.

Legal Information

ZooMAb is a registered trademark of Merck KGaA, Darmstadt, Germany

Disclaimer

Unless otherwise stated in our catalog or other company documentation accompanying the product(s), our products are intended for research use only and are not to be used for any other purpose, which includes but is not limited to, unauthorized commercial uses, in vitro diagnostic uses, ex vivo or in vivo therapeutic uses or any type of consumption or application to humans or animals.

Not finding the right product?  

Try our Product Selector Tool.

Storage Class

13 - Non Combustible Solids

wgk_germany

WGK 1

flash_point_f

Not applicable

flash_point_c

Not applicable


Choose from one of the most recent versions:

Certificates of Analysis (COA)

Lot/Batch Number

It looks like we've run into a problem, but you can still download Certificates of Analysis from our Documents section.

If you need assistance, please contact Customer Support

Already Own This Product?

Find documentation for the products that you have recently purchased in the Document Library.

Visit the Document Library

Our team of scientists has experience in all areas of research including Life Science, Material Science, Chemical Synthesis, Chromatography, Analytical and many others.

Contact Technical Service