ZRB1596
Anti-Atg5 Antibody, clone 1L18 ZooMAb® Rabbit Monoclonal

recombinant, expressed in HEK 293 cells
Synonym(s):
Autophagy protein 5
Select a Size
About This Item
biological source
rabbit
Quality Level
recombinant
expressed in HEK 293 cells
conjugate
unconjugated
antibody form
purified antibody
antibody product type
primary antibodies
clone
1L18, recombinant monoclonal
description
recombinant, expressed in HEK 293 cells
product line
ZooMAb® learn more
form
lyophilized
mol wt
calculated mol wt 32.45 kDa
observed mol wt ~55 kDa
purified by
using Protein A
species reactivity
mouse, rat, human
species reactivity (predicted by homology)
feline, bovine, canine, horse, monkey
packaging
antibody small pack of 25 μL
greener alternative product characteristics
Waste Prevention
Designing Safer Chemicals
Design for Energy Efficiency
Learn more about the Principles of Green Chemistry.
enhanced validation
recombinant expression
Learn more about Antibody Enhanced Validation
sustainability
Greener Alternative Product
technique(s)
affinity binding assay: suitable
immunocytochemistry: suitable
immunohistochemistry (formalin-fixed, paraffin-embedded sections): suitable
western blot: suitable
isotype
IgG
epitope sequence
C-terminal
Protein ID accession no.
UniProt accession no.
greener alternative category
, Aligned
shipped in
ambient
storage temp.
2-8°C
target post-translational modification
unmodified
Gene Information
human ... ATG5(9474)
General description
Each ZooMAb® antibody is manufactured using our proprietary recombinant expression system, purified to homogeneity, and precisely dispensed to produce robust and highly reproducible lot-to-lot consistency. Only top-performing clones are released for use by researchers. Each antibody is validated for high specificity and affinity across multiple applications, including its most commonly used application. ZooMAb® antibodies are reliably available and ready to ship when you need them.
Immunogen
Application
Evaluated by Western Blotting in A549 cell lysate.
Western Blotting Analysis: A 1:10,000 dilution of this antibody detected Atg5 in A549 cell lysate.
Tested applications
Western Blotting Analysis: A 1:10,000 dilution from a representative lot detected Atg5 in Mouse Pancreas tissue and PC12 cell lysate and 1:1000 dilution detected Atg5 in HepG2 cell lysates.
Immunocytochemistry Analysis: A 1:100 dilution from a representative lot detected Atg5 in U251 cells treated with chloroquine.
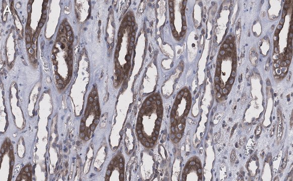
Immunohistochemistry (Paraffin) Analysis: A 1:100 dilution from a representative lot detected Atg5 in human kidney tissue sections.
Affinity Binding Assay: A representative lot of this antibody bound Atg5 with a KD of 7.4 x 10-8 in an affinity binding assay.
Note: Actual optimal working dilutions must be determined by end user as specimens, and experimental conditions may vary with the end user
Biochem/physiol Actions
Physical form
Preparation Note
Legal Information
Disclaimer
Not finding the right product?
Try our Product Selector Tool.
Storage Class
11 - Combustible Solids
wgk_germany
WGK 1
flash_point_f
Not applicable
flash_point_c
Not applicable
Choose from one of the most recent versions:
Already Own This Product?
Find documentation for the products that you have recently purchased in the Document Library.
Our team of scientists has experience in all areas of research including Life Science, Material Science, Chemical Synthesis, Chromatography, Analytical and many others.
Contact Technical Service