ZRB1521
Anti-MDR-1 Antibody, clone 1O12 ZooMAb® Rabbit Monoclonal

recombinant, expressed in HEK 293 cells
Synonym(s):
ATP-dependent translocase ABCB1, CD243, Multidrug resistance protein 1, P-glycoprotein 1, Phospholipid transporter ABCB1, also known as ATP-binding cassette sub-family B member 1
Select a Size
About This Item
biological source
rabbit (recombinant)
Quality Level
recombinant
expressed in HEK 293 cells
conjugate
unconjugated
antibody form
purified antibody
antibody product type
primary antibodies
clone
1O12, monoclonal
recombinant monoclonal
product line
ZooMAb® learn more
form
lyophilized
mol wt
calculated mol wt 141.48 kDa
observed mol wt ~150 kDa
species reactivity
human, mouse
packaging
antibody small pack of 25 μL
greener alternative product characteristics
Waste Prevention
Designing Safer Chemicals
Design for Energy Efficiency
Learn more about the Principles of Green Chemistry.
enhanced validation
recombinant expression
Learn more about Antibody Enhanced Validation
sustainability
Greener Alternative Product
technique(s)
affinity binding assay: suitable
flow cytometry: suitable
immunocytochemistry: suitable
immunohistochemistry (formalin-fixed, paraffin-embedded sections): suitable
western blot: suitable
isotype
IgG
UniProt accession no.
greener alternative category
, Aligned
shipped in
ambient
storage temp.
2-8°C
target post-translational modification
unmodified
Gene Information
human ... ABCB1(5243)
General description
Each ZooMAb antibody is manufactured using our proprietary recombinant expression system, purified to homogeneity, and precisely dispensed to produce robust and highly reproducible lot-to-lot consistency. Only top-performing clones are released for use by researchers. Each antibody is validated for high specificity and affinity across multiple applications, including its most commonly used application. ZooMAb antibodies are reliably available and ready to ship when you need them.
Learn more about ZooMAb here.
Immunogen
Application
Affinity Binding Assay: A representative lot bound MDR-1 peptide with a KD of 3.5 x 10-7 in an affinity binding assay.
Flow Cytometry Analysis: 0.01 μg from a representative lot detected MDR-1 in HepG2 cells.
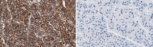
Immunohistochemistry (Paraffin) Analysis: A 1:1,000 dilution from a representative lot detected MDR-1 in human adrenal gland tissue sections.
Note: Actual optimal working dilutions must be determined by end user as specimens, and experimental conditions may vary with the end user
Biochem/physiol Actions
Physical form
Preparation Note
Legal Information
Disclaimer
Not finding the right product?
Try our Product Selector Tool.
Storage Class
11 - Combustible Solids
wgk_germany
WGK 1
Choose from one of the most recent versions:
Already Own This Product?
Find documentation for the products that you have recently purchased in the Document Library.
Our team of scientists has experience in all areas of research including Life Science, Material Science, Chemical Synthesis, Chromatography, Analytical and many others.
Contact Technical Service