ZRB1417
Anti-p-Rb-Ser807/811 Antibody, clone 3J7 ZooMAb® Rabbit Monoclonal

recombinant, expressed in HEK 293 cells
Synonym(s):
Retinoblastoma-associated protein;p105-Rb;p110-RB1;pRb;pp110
Select a Size
About This Item
biological source
rabbit
Quality Level
recombinant
expressed in HEK 293 cells
conjugate
unconjugated
antibody form
purified antibody
antibody product type
primary antibodies
clone
3J7, recombinant monoclonal
description
recombinant, expressed in HEK 293 cells
product line
ZooMAb® learn more
form
lyophilized
mol wt
calculated mol wt 106.16 kDa
observed mol wt ~110 kDa
purified by
using Protein A
species reactivity
rat, human
species reactivity (predicted by homology)
monkey
packaging
antibody small pack of 25 μL
enhanced validation
recombinant expression
Learn more about Antibody Enhanced Validation
sustainability
Greener Alternative Product
technique(s)
flow cytometry: suitable
immunocytochemistry: suitable
immunohistochemistry: suitable
inhibition assay: suitable
western blot: suitable
isotype
IgG
epitope sequence
C-terminal
Protein ID accession no.
UniProt accession no.
shipped in
ambient
storage temp.
2-8°C
target post-translational modification
phosphorylation (pSer807/pSer811)
Gene Information
human  ...  RB1(5925)   
General description
Immunogen
Application
Evaluated by Western Blotting in HeLa cells treated with nocodazole.
Western Blotting Analysis: A 1:1,000 dilution of this antibody detected phospho-Rb-Ser807/811 in HeLa cells treated with Nocodazole (40 ng/mL; 8 h).
Tested Applications
Flow Cytometry Analysis: 0.1 μg from a representative lot detected phospho-Rb-Ser807/811 in one million serum starved MCF-7 cells.
Immunocytochemistry Analysis: A 1:100 dilution from a representative lot detected phospho-Rb-Ser807/811 in C6 cells.
Affinity Binding Assay: A representative lot of this antibody bound phospho-Rb-Ser807-811 peptide with a KD of 9.1 x 10-7 in an affinity binding assay.
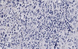
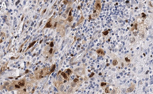
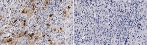
Immunohistochemistry (Paraffin) Analysis: A 1:100 dilution from a representative lot detected phospho-Rb-Ser807/811 in human lung cancer and human ovarian cancer tissue sections.
Peptide Inhibition Assay: Target band detection in a lysate from HeLa cells treated with Nocodazole (40 ng/mL; 8 h) was prevented by pre-blocking of a representative lot with the immunogen phosphopeptide, but not the corresponding non-phosphopeptide.
Note: Actual optimal working dilutions must be determined by end user as specimens, and experimental conditions may vary with the end user.
Biochem/physiol Actions
Physical form
Preparation Note
Legal Information
Disclaimer
Not finding the right product?
Try our Product Selector Tool.
Storage Class
11 - Combustible Solids
wgk_germany
WGK 1
flash_point_f
Not applicable
flash_point_c
Not applicable
Choose from one of the most recent versions:
Already Own This Product?
Find documentation for the products that you have recently purchased in the Document Library.
Articles
Learn about the hallmarks of cancer and find reliable ZooMAb® recombinant antibodies to study them, conveniently organized by cancer hallmark.
Our team of scientists has experience in all areas of research including Life Science, Material Science, Chemical Synthesis, Chromatography, Analytical and many others.
Contact Technical Service