ZRB1165
Anti-Myosin-9/MYH9 Antibody, clone 3O13 ZooMAb® Rabbit Monoclonal

recombinant, expressed in HEK 293 cells
Synonym(s):
Cellular myosin heavy chain type A;Myosin heavy chain 9;Myosin heavy chain non-muscle IIa;Non-muscle myosin heavy chain A;NMMHC-A;Non-muscle myosin heavy chain IIa;NMMHC II-a;NMMHC-IIA
Select a Size
About This Item
biological source
rabbit
Quality Level
recombinant
expressed in HEK 293 cells
conjugate
unconjugated
antibody form
purified antibody
antibody product type
primary antibodies
clone
3O13, recombinant monoclonal
description
recombinant, expressed in HEK 293 cells
product line
ZooMAb® learn more
form
lyophilized
mol wt
calculated mol wt 226.53 kDa
purified by
using Protein A
species reactivity
human, mouse
packaging
antibody small pack of 25 μL
greener alternative product characteristics
Waste Prevention
Designing Safer Chemicals
Design for Energy Efficiency
Learn more about the Principles of Green Chemistry.
enhanced validation
recombinant expression
Learn more about Antibody Enhanced Validation
sustainability
Greener Alternative Product
technique(s)
affinity binding assay: suitable
immunocytochemistry: suitable
immunohistochemistry: suitable
isotype
IgG
epitope sequence
C-terminus
Protein ID accession no.
UniProt accession no.
greener alternative category
, Aligned
shipped in
ambient
storage temp.
2-8°C
target post-translational modification
unmodified
Gene Information
human ... MYH9(4627)
General description
Immunogen
Application
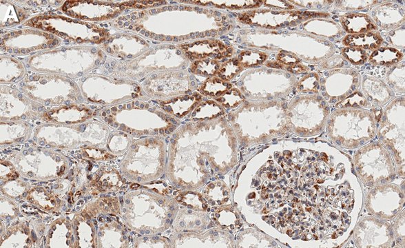
Evaluated by Immunohistochemistry (Paraffin) in Human kidney tissue sections.
Immunohistochemistry (Paraffin) Analysis: A 1:100 dilution of this antibody detected Myosin-9/MYH9 in Human kidney tissue sections.
Tested Applications
Immunocytochemistry Analysis: A 1:1,000 dilution from a representative lot detected Myosin-9/MYH9 in C2C12 cells.
Affinity Binding Assay: A representative lot of this antibody bound Myosin-9 peptide with a KD of 2.1 x 10-8 in an affinity binding assay.
Note: Actual optimal working dilutions must be determined by end user as specimens, and experimental conditions may vary with the end user.
Biochem/physiol Actions
Physical form
Preparation Note
Legal Information
Disclaimer
Not finding the right product?
Try our Product Selector Tool.
Storage Class
11 - Combustible Solids
wgk_germany
WGK 1
flash_point_f
Not applicable
flash_point_c
Not applicable
Choose from one of the most recent versions:
Already Own This Product?
Find documentation for the products that you have recently purchased in the Document Library.
Our team of scientists has experience in all areas of research including Life Science, Material Science, Chemical Synthesis, Chromatography, Analytical and many others.
Contact Technical Service