ZRB1091
Anti-GAD65 Antibody, clone 3B23 ZooMAb® Rabbit Monoclonal

recombinant, expressed in HEK 293 cells
Synonym(s):
65 kDa glutamic acid decarboxylase, EC:4.1.1.15, GAD-65, Glutamate decarboxylase 2, Glutamate decarboxylase 65 kDa isoform
Select a Size
About This Item
biological source
rabbit
Quality Level
recombinant
expressed in HEK 293 cells
conjugate
unconjugated
antibody form
purified antibody
antibody product type
primary antibodies
clone
3B23, recombinant monoclonal
monoclonal
product line
ZooMAb® learn more
form
lyophilized
mol wt
calculated mol wt 65.41 kDa
observed mol wt ~58 kDa
species reactivity
rat, mouse, human
packaging
antibody small pack of 25 μL
greener alternative product characteristics
Waste Prevention
Designing Safer Chemicals
Design for Energy Efficiency
Learn more about the Principles of Green Chemistry.
enhanced validation
recombinant expression
Learn more about Antibody Enhanced Validation
sustainability
Greener Alternative Product
technique(s)
affinity binding assay: suitable
immunocytochemistry: suitable
immunofluorescence: suitable
immunohistochemistry: suitable
western blot: suitable
UniProt accession no.
greener alternative category
, Aligned
shipped in
ambient
storage temp.
2-8°C
target post-translational modification
unmodified
Gene Information
human ... GAD2(2572)
General description
Each ZooMAb antibody is manufactured using our proprietary recombinant expression system, purified to homogeneity, and precisely dispensed to produce robust and highly reproducible lot-to-lot consistency. Only top-performing clones are released for use by researchers. Each antibody is validated for high specificity and affinity across multiple applications, including its most commonly used application. ZooMAb antibodies are reliably available and ready to ship when you need them.
Learn more about ZooMAb here.
Immunogen
Application
Immunofluorescence Analysis: A 1:100 dilution from a representative lot detected GAD65 in rat cerebellum tissue sections.
Affinity Binding Assay:: A representative lot of this antibody bound human GAD65 peptide with a KD of 1 x 10-12 in an affinity binding assay.
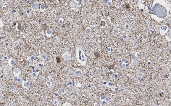
Immunohistochemistry (Paraffin) Analysis: A 1:10-100 dilution from a representative lot detected GAD65 in human brain and rat brain tissue sections.
Immunocytochemistry Analysis: A 1:100 dilution from a representativelot detected GAD65 in Neuro-2a cells.
Note: Actual optimal working dilutions must be determined by end user as specimens, and experimental conditions may vary with the end user
Biochem/physiol Actions
Physical form
Preparation Note
Legal Information
Disclaimer
Not finding the right product?
Try our Product Selector Tool.
Storage Class
11 - Combustible Solids
wgk_germany
WGK 1
Choose from one of the most recent versions:
Already Own This Product?
Find documentation for the products that you have recently purchased in the Document Library.
Our team of scientists has experience in all areas of research including Life Science, Material Science, Chemical Synthesis, Chromatography, Analytical and many others.
Contact Technical Service