Skip to Content
MilliporeSigma

WH0002810M1

Sigma-Aldrich

Monoclonal Anti-SFN antibody produced in mouse

clone 3C3, purified immunoglobulin, buffered aqueous solution

Synonym(s):

Anti-stratifin

Sign Into View Organizational & Contract Pricing

Select a Size


About This Item

MDL number:
UNSPSC Code:
12352203
NACRES:
NA.41
Technical Service
Need help? Our team of experienced scientists is here for you.
Let Us Assist
Technical Service
Need help? Our team of experienced scientists is here for you.
Let Us Assist

biological source

mouse

Quality Level

conjugate

unconjugated

antibody form

purified immunoglobulin

antibody product type

primary antibodies

clone

3C3, monoclonal

form

buffered aqueous solution

species reactivity

human

technique(s)

immunohistochemistry (formalin-fixed, paraffin-embedded sections): suitable
immunoprecipitation (IP): suitable
indirect ELISA: suitable
western blot: 1-5 μg/mL

isotype

IgG1κ

GenBank accession no.

UniProt accession no.

shipped in

dry ice

storage temp.

−20°C

target post-translational modification

unmodified

Gene Information

human ... SFN(2810)

General description

Stratifin (SFN), a cell cycle checkpoint protein, is expressed at low levels on the nervous and reproductive systems, like the cortex, retina, placenta, and ovary.

Immunogen

SFN (AAH00329.1, 1 a.a. ~ 248 a.a) full-length recombinant protein with GST tag. MW of the GST tag alone is 26 KDa.

Sequence
MERASLIQKAKLAEQAERYEDMAAFMKGAVEKGEELSCEERNLLSVAYKNVVGGQRAAWRVLSSIEQKSNEEGSEEKGPEVREYREKAETELQGVCDTVLGLLDSHLIKEAGDAESRVFYLKMKGDYYRYLAEVATGDDKKRIIDSARSAYQEAMDISKKEMPPTNPIRLGLALNFSVFHYEIANSPEEAISLAKTTFDEAMADLHTLSEDSYKDSTLIMQLLRDNLTLWTADNAGEEGGEAPQEPQS

Application

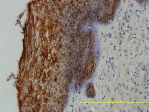
Monoclonal Anti-SFN antibody produced in mouse has been used in immunohistochemistry (1:200).

Biochem/physiol Actions

Stratifin (SFN) plays a key role in oncogenesis. It regulates mitotic translation. SFN frequently inhibits DNA errors during mitosis as a reaction to DNA damage. It acts as a potential biomarker in various cancers.

Physical form

Solution in phosphate buffered saline, pH 7.4

Legal Information

GenBank is a registered trademark of United States Department of Health and Human Services

Disclaimer

Unless otherwise stated in our catalog or other company documentation accompanying the product(s), our products are intended for research use only and are not to be used for any other purpose, which includes but is not limited to, unauthorized commercial uses, in vitro diagnostic uses, ex vivo or in vivo therapeutic uses or any type of consumption or application to humans or animals.

Not finding the right product?  

Try our Product Selector Tool.

Storage Class

10 - Combustible liquids

flash_point_f

Not applicable

flash_point_c

Not applicable

ppe

Eyeshields, Gloves, multi-purpose combination respirator cartridge (US)


Choose from one of the most recent versions:

Certificates of Analysis (COA)

Lot/Batch Number

Don't see the Right Version?

If you require a particular version, you can look up a specific certificate by the Lot or Batch number.

Already Own This Product?

Find documentation for the products that you have recently purchased in the Document Library.

Visit the Document Library

Marie M J Lecomte et al.
Skin research and technology : official journal of International Society for Bioengineering and the Skin (ISBS) [and] International Society for Digital Imaging of Skin (ISDIS) [and] International Society for Skin Imaging (ISSI), 19(1), 27-34 (2012-06-16)
The use of biomarkers in skin is a novel diagnostic tool. Interstitial fluid (ISF) from skin provides a snapshot of proteins secreted at the time of sampling giving insights into the patient's health status. A minimally invasive technique for the
Paulina Kober et al.
Molecular and cellular endocrinology, 473, 194-204 (2018-02-08)
Nonfunctioning pituitary adenomas (NFPAs) are among the most frequent intracranial tumors but their molecular background, including changes in epigenetic regulation, remains poorly understood. We performed genome-wide DNA methylation profiling of 34 NFPAs and normal pituitary samples. Methylation status of the

Our team of scientists has experience in all areas of research including Life Science, Material Science, Chemical Synthesis, Chromatography, Analytical and many others.

Contact Technical Service