Skip to Content
MilliporeSigma

U4754

Sigma-Aldrich

Anti-Lectin, Ulex europaeus-I antibody produced in rabbit

whole antiserum, delipidized

Synonym(s):

Anti-Gorse or Furze Lectin, Anti-UEA-I

Sign Into View Organizational & Contract Pricing

Select a Size


About This Item

MDL number:
UNSPSC Code:
12352203
NACRES:
NA.46
Technical Service
Need help? Our team of experienced scientists is here for you.
Let Us Assist
Technical Service
Need help? Our team of experienced scientists is here for you.
Let Us Assist

biological source

rabbit

Quality Level

conjugate

unconjugated

antibody form

whole antiserum

antibody product type

primary antibodies

clone

polyclonal

form

liquid

contains

15 mM sodium azide

species reactivity

Ulex europaeus

technique(s)

immunohistochemistry (formalin-fixed, paraffin-embedded sections): suitable
immunohistochemistry (frozen sections): suitable
indirect immunofluorescence: 1:500 using human tissue

shipped in

dry ice

storage temp.

−20°C

target post-translational modification

unmodified

General description

Lectins are highly specific carbohydrate binding proteins useful in carbohydrate and cell membrane studies, as well as cell agglutination and typing techniques.
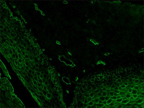
The antibody may be used for studies of the vascular structures. It reacts specifically with UEA-I bound to human endothelial cells of normal and neoplastic blood and lymphatic vessels. Its uniform reaction with vessels enables differentation between vessels and artificial slits in the tissue.

Immunogen

Ulex europaeus from gorse seeds..

Application

Anti-Lectin, Ulex europaeus-I antibody produced in rabbit has been used in double immunostaining of muscle capillary sections.

Biochem/physiol Actions

Lectin isolated from Ulex europaeus I is specific for α-L-fucose-containing glycocompounds. Due to this specificity it serves as a marker for vascular endothelial cells and tumors derived from them.

Disclaimer

Unless otherwise stated in our catalog or other company documentation accompanying the product(s), our products are intended for research use only and are not to be used for any other purpose, which includes but is not limited to, unauthorized commercial uses, in vitro diagnostic uses, ex vivo or in vivo therapeutic uses or any type of consumption or application to humans or animals.

Not finding the right product?  

Try our Product Selector Tool.

Storage Class

10 - Combustible liquids

wgk_germany

WGK 3

flash_point_f

Not applicable

flash_point_c

Not applicable


Choose from one of the most recent versions:

Certificates of Analysis (COA)

Lot/Batch Number

Don't see the Right Version?

If you require a particular version, you can look up a specific certificate by the Lot or Batch number.

Already Own This Product?

Find documentation for the products that you have recently purchased in the Document Library.

Visit the Document Library

H Holthöfer et al.
Laboratory investigation; a journal of technical methods and pathology, 47(1), 60-66 (1982-07-01)
Ulex europaeus I agglutinin, a lectin specific for some alpha-L-fucose-containing glycocompounds, was used in fluorescence microscopy to stain cryostat sections of human tissues. The endothelium of vessels of all sizes was stained ubiquitously in all tissues studied as judged by
Alpine Skiing With total knee Arthro Plasty (ASWAP): metabolism, inflammation, and skeletal muscle fiber characteristics
Kristensen M, et al.
Scandinavian Journal of Medicine & Science in Sports, 25, 40-48 (2015)
Faïza Maloum et al.
American journal of physiology. Gastrointestinal and liver physiology, 300(6), G1065-G1079 (2011-03-19)
Bone morphogenetic protein (BMP) signaling within the gastrointestinal tract is complex. BMP ligands and their receptors are expressed in both epithelial and mesenchymal compartments, suggesting bidirectional signaling between these two entities. Despite an increasing interest in BMP signaling in gut
M Miettinen et al.
American journal of clinical pathology, 79(1), 32-36 (1983-01-01)
Some skin and soft tumors, which generally are assumed to be derived from endothelial cells or blood vessels, were characterized with fluorochrome-labeled Ulex europaeus I agglutinin (UEA I), recently shown to bind specifically to endothelial cells in various normal human
J M Sweeter et al.
Scientific reports, 11(1), 13037-13037 (2021-06-24)
Exacerbations of muco-obstructive airway diseases such as COPD and asthma are associated with epithelial changes termed mucous metaplasia (MM). Many molecular pathways triggering MM have been identified; however, the factors that regulate resolution are less well understood. We hypothesized that

Related Content

Our team of scientists has experience in all areas of research including Life Science, Material Science, Chemical Synthesis, Chromatography, Analytical and many others.

Contact Technical Service