Skip to Content
MilliporeSigma

T1705

Sigma-Aldrich

Anti-TDP-43 antibody produced in rabbit

~1.5 mg/mL, affinity isolated antibody, buffered aqueous solution

Synonym(s):

Anti-ALS10, Anti-TARDBP, Anti-TARDP43, Anti-Tar DNA binding protein 43

Sign Into View Organizational & Contract Pricing

Select a Size


About This Item

UNSPSC Code:
12352203
NACRES:
NA.41
Technical Service
Need help? Our team of experienced scientists is here for you.
Let Us Assist
Technical Service
Need help? Our team of experienced scientists is here for you.
Let Us Assist

biological source

rabbit

Quality Level

conjugate

unconjugated

antibody form

affinity isolated antibody

antibody product type

primary antibodies

clone

polyclonal

form

buffered aqueous solution

mol wt

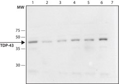
antigen ~43 kDa

species reactivity

human, rat, mouse

concentration

~1.5 mg/mL

technique(s)

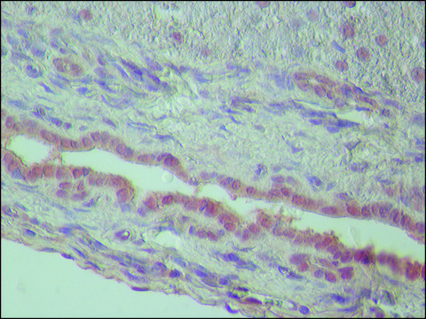
immunohistochemistry: 5-10 μg/mL using rat, mouse or human kidney
indirect immunofluorescence: 5-10 μg/mL using human HepG2 cells
western blot: 1.5-3.0 μg/mL using human U2OS cell lysates

UniProt accession no.

shipped in

dry ice

storage temp.

−20°C

target post-translational modification

unmodified

Gene Information

human ... TARDBP(23435)

General description

TDP-43 (TAR DNA binding protein, TARDP) is encoded by the gene mapped to human chromosome 1p36.22. The encoded protein belongs to the family of heterogenous nuclear ribonucleoproteins (hnRNPs) that bind single stranded RNA. TDP-43 is a 414 amino acid nuclear protein and is widely expressed in a variety of tissues.

Biochem/physiol Actions

Anti-TDP-43 specifically recognizes human, mouse, and rat TDP-43.
Heterogeneous nuclear ribonucleoproteins (hnRNPs) are involved in the generation and processing of RNA, including transcription, splicing, transport and stability. TDP-43 regulates transcription of human immunodeficiency virus (HIV). The protein is identified as a major pathological protein, in both frontotemporal lobe degeneration subtype (FTLD-U) and amyotrophic lateral sclerosis (ALS). Abnormal phosphorylation of TDP-43 at Ser409/410 has also been observed in FTLD-U and ALS, suggesting a toxic gain of function leading to apoptosis.

Physical form

Solution in 0.01 M phos­phate buffered saline, pH 7.4, containing 15 mM sodium azide.

Preparation Note

Store at –20 °C. For continuous use, the product may be stored at 2–8 °C for up to one month. For extended storage, freeze in working aliquots at –20 °C. Repeated freezing and thawing, or storage in “frost-free” freezers, is not recommended. If slight turbidity occurs upon prolonged storage, clarify the solution by centrifugation before use. Working dilutions should be discarded if not used within 12 hours.

Disclaimer

Unless otherwise stated in our catalog, our products are intended for research use only and are not to be used for any other purpose, which includes but is not limited to, unauthorized commercial uses, in vitro diagnostic uses, ex vivo or in vivo therapeutic uses or any type of consumption or application to humans or animals.

Not finding the right product?  

Try our Product Selector Tool.

Storage Class

12 - Non Combustible Liquids

wgk_germany

WGK 2

flash_point_f

Not applicable

flash_point_c

Not applicable


Choose from one of the most recent versions:

Certificates of Analysis (COA)

Lot/Batch Number

Don't see the Right Version?

If you require a particular version, you can look up a specific certificate by the Lot or Batch number.

Already Own This Product?

Find documentation for the products that you have recently purchased in the Document Library.

Visit the Document Library

Matthew J G Eldridge et al.
PLoS pathogens, 17(12), e1010173-e1010173 (2021-12-21)
For many intracellular bacterial pathogens manipulating host cell survival is essential for maintaining their replicative niche, and is a common strategy used to promote infection. The bacterial pathogen Listeria monocytogenes is well known to hijack host machinery for its own
Miao Sun et al.
Journal of neuroscience research, 92(1), 54-63 (2013-11-23)
The 43-kDa transactivation response DNA binding protein (TDP43), fused in sarcoma/translocated in liposarcoma (FUS/TLS), heat shock protein 70 (HSP70), and β-amyloid (Aβ) are induced and involved in cerebral ischemia, amyotrophic lateral sclerosis (ALS), and Alzheimer's disease (AD), but their relationships
Rodger Wilhite et al.
Future science OA, 3(4), FSO238-FSO238 (2017-11-15)
Alzheimer's disease (AD) and other forms of dementia create a noncurable disease population in world's societies. To develop a blood-based biomarker is important so that the remedial or disease-altering therapeutic intervention for AD patients would be available at the early
The role of TDP-43 in amyotrophic lateral sclerosis and frontotemporal dementia
Mackenzie, Ian RA and Rademakers, Rosa
Current Opinion in Neurology, 21(6), 693-693 (2008)
Jack L Pinkus et al.
Neuromuscular disorders : NMD, 24(7), 611-616 (2014-05-27)
Previous histopathologic studies of sporadic inclusion body myositis (sIBM) identified sarcoplasmic aggregation and myonuclear depletion of the predominantly nuclear heterogeneous nuclear ribonucleoprotein (hnRNP) TDP-43 in sIBM myofibers. Here, we examined sIBM muscle for abnormalities in two other hnRNPs hnRNPA1 and

Our team of scientists has experience in all areas of research including Life Science, Material Science, Chemical Synthesis, Chromatography, Analytical and many others.

Contact Technical Service