SRP5003
AMPK (α2/β2/γ1), active, His tagged human
PRECISIO® Kinase, recombinant, expressed in baculovirus infected Sf9 cells, ≥70% (SDS-PAGE), buffered aqueous glycerol solution
Synonym(s):
AMPK, AMPK2, AMPKG, MGC61468, MGC8666, PRKAA, PRKAA2, PRKAB2, PRKAG1
Select a Size
About This Item
recombinant
expressed in baculovirus infected Sf9 cells
product line
PRECISIO® Kinase
assay
≥70% (SDS-PAGE)
form
buffered aqueous glycerol solution
specific activity
238-322 nmol/min·mg
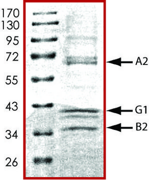
mol wt
~36 kDa (B2)
~40 kDa (G1)
~69 kDa (A2)
shipped in
dry ice
storage temp.
−70°C
Gene Information
human ... PRKAA2(5563), PRKAB2(5565), PRKAG1(5571)
General description
Physical form
Preparation Note
Legal Information
signalword
Danger
hcodes
Hazard Classifications
Eye Irrit. 2 - Repr. 1B - Skin Irrit. 2
Storage Class
6.1C - Combustible acute toxic Cat.3 / toxic compounds or compounds which causing chronic effects
wgk_germany
WGK 1
flash_point_f
Not applicable
flash_point_c
Not applicable
Choose from one of the most recent versions:
Already Own This Product?
Find documentation for the products that you have recently purchased in the Document Library.
Our team of scientists has experience in all areas of research including Life Science, Material Science, Chemical Synthesis, Chromatography, Analytical and many others.
Contact Technical Service
