Skip to Content
MilliporeSigma

SAB5702994

Sigma-Aldrich

Anti-Cathepsin L/V/K/H Antibody, clone 2Q10F10, Rabbit Monoclonal

Synonym(s):

CATL, CTSL1, MEP

Sign Into View Organizational & Contract Pricing

Select a Size


About This Item

UNSPSC Code:
12352203
NACRES:
NA.46
Technical Service
Need help? Our team of experienced scientists is here for you.
Let Us Assist
Technical Service
Need help? Our team of experienced scientists is here for you.
Let Us Assist

biological source

rabbit

Quality Level

conjugate

unconjugated

material

colorless

clone

2Q10F10, monoclonal

form

liquid

mol wt

38 kDa

species reactivity

rat, human, rat

concentration

0.25 mg/mL

technique(s)

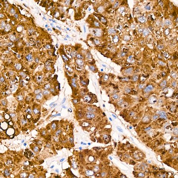
immunohistochemistry: 1:50 - 1:200
western blot: 1:500 - 1:2000

color

colorless

isotype

IgG

immunogen sequence

AVWEKNMKMIELHNQEYREGKHSFTMAMNAFGDMTSEEFRQVMNGFQNRKPRKGKVFQEPLFYEAPRSVDWREKGYVTPVKNQGQCGSCWAFSATGALEGQ

UniProt accession no.

shipped in

wet ice

storage temp.

−20°C

target post-translational modification

unmodified

Gene Information

human ... CTSL(1514)

General description

The protein encoded by this gene is a lysosomal cysteine proteinase that plays a major role in intracellular protein catabolism. Its substrates include collagen and elastin, as well as alpha-1 protease inhibitor, a major controlling element of neutrophil elastase activity. The encoded protein has been implicated in several pathologic processes, including myofibril necrosis in myopathies and in myocardial ischemia, and in the renal tubular response to proteinuria. This protein, which is a member of the peptidase C1 family, is a dimer composed of disulfide-linked heavy and light chains, both produced from a single protein precursor. Multiple alternatively spliced transcript variants have been found for this gene. [provided by RefSeq, Apr 2012]

Immunogen

A synthetic peptide corresponding to a sequence within amino acids 50-150 of human Cathepsin L/V/K/H (P07711).
PBS with 0.02% sodium azide,0.05% BSA,50% glycerol,pH7.3.

Application

WB, IHC

Storage Class

10 - Combustible liquids

wgk_germany

WGK 1


Choose from one of the most recent versions:

Certificates of Analysis (COA)

Lot/Batch Number

It looks like we've run into a problem, but you can still download Certificates of Analysis from our Documents section.

If you need assistance, please contact Customer Support

Already Own This Product?

Find documentation for the products that you have recently purchased in the Document Library.

Visit the Document Library

Our team of scientists has experience in all areas of research including Life Science, Material Science, Chemical Synthesis, Chromatography, Analytical and many others.

Contact Technical Service