Skip to Content
MilliporeSigma

SAB5702854

Sigma-Aldrich

Anti-Dopamine Receptor D3 (DRD3) Antibody, clone 5L1P4, Rabbit Monoclonal

Synonym(s):

D3DR, ETM1, FET1

Sign Into View Organizational & Contract Pricing

Select a Size


About This Item

UNSPSC Code:
12352203
NACRES:
NA.41
Technical Service
Need help? Our team of experienced scientists is here for you.
Let Us Assist
Technical Service
Need help? Our team of experienced scientists is here for you.
Let Us Assist

biological source

rabbit

Quality Level

conjugate

unconjugated

material

colorless

clone

5L1P4, monoclonal

form

liquid

mol wt

50 kDa

species reactivity

human, rat, rat

concentration

0.425 mg/mL

technique(s)

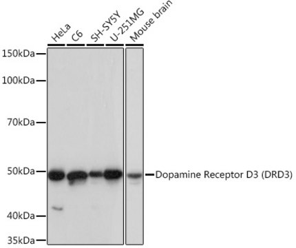
western blot: 1:500 - 1:2000

color

colorless

isotype

IgG

immunogen sequence

MASLSQLSGHLNYTCGAENSTGASQARPHAYYALSYCALILAIVFGNGLVCMAVLKERALQTTTNYLVVSLAVADLLVATLVMPWVVYLEVTGGVWNFSR

UniProt accession no.

shipped in

wet ice

storage temp.

−20°C

target post-translational modification

unmodified

Gene Information

human ... DRD3(1814)

General description

This gene encodes the D3 subtype of the five (D1-D5) dopamine receptors. The activity of the D3 subtype receptor is mediated by G proteins which inhibit adenylyl cyclase. This receptor is localized to the limbic areas of the brain, which are associated with cognitive, emotional, and endocrine functions. Genetic variation in this gene may be associated with susceptibility to hereditary essential tremor 1. Alternative splicing of this gene results in transcript variants encoding different isoforms, although some variants may be subject to nonsense-mediated decay (NMD). [provided by RefSeq, Jul 2008]

Immunogen

A synthetic peptide corresponding to a sequence within amino acids 1-100 of human Dopamine Receptor D3 (DRD3) (DRD3) (P35462).
PBS with 0.02% sodium azide,0.05% BSA,50% glycerol,pH7.3.

Application

WB

Storage Class

10 - Combustible liquids

wgk_germany

WGK 1


Choose from one of the most recent versions:

Certificates of Analysis (COA)

Lot/Batch Number

It looks like we've run into a problem, but you can still download Certificates of Analysis from our Documents section.

If you need assistance, please contact Customer Support

Already Own This Product?

Find documentation for the products that you have recently purchased in the Document Library.

Visit the Document Library

Our team of scientists has experience in all areas of research including Life Science, Material Science, Chemical Synthesis, Chromatography, Analytical and many others.

Contact Technical Service