Skip to Content
MilliporeSigma

SAB5702813

Anti-RORβ Antibody, clone 7J9T7, Rabbit Monoclonal

Synonym(s):

NR1F2, ROR-BETA, RZR-BETA, RZRB, bA133M9.1

Sign In to View Organizational & Contract Pricing.

Select a Size

Change View

About This Item

NACRES:
NA.46
UNSPSC Code:
12352203
Conjugate:
unconjugated
Clone:
7J9T7, monoclonal
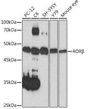
Application:
WB
Citations:
-
Technical Service
Need help? Our team of experienced scientists is here for you.
Let Us Assist


biological source

rabbit

Quality Level

conjugate

unconjugated

material

colorless

clone

7J9T7, monoclonal

form

liquid

mol wt

53 kDa

species reactivity

rat, human

concentration

1.35 mg/mL

technique(s)

western blot: 1:500 - 1:2000

color

colorless

isotype

IgG

immunogen sequence

MCENQLKTKADATAQIEVIPCKICGDKSSGIHYGVITCEGCKGFFRRSQQNNASYSCPRQRNCLIDRTNRNRCQHCRLQKCLALGMSRDAVKFGRMSKKQ

UniProt accession no.

shipped in

wet ice

storage temp.

−20°C

target post-translational modification

unmodified

Gene Information

human ... RORB(6096)

General description

The protein encoded by this gene is a member of the NR1 subfamily of nuclear hormone receptors. It is a DNA-binding protein that can bind as a monomer or as a homodimer to hormone response elements upstream of several genes to enhance the expression of those genes. The encoded protein has been shown to interact with NM23-2, a nucleoside diphosphate kinase involved in organogenesis and differentiation, and to help regulate the expression of some genes involved in circadian rhythm. [provided by RefSeq, Feb 2014]

Immunogen

A synthetic peptide corresponding to a sequence within amino acids 1-100 of human RORβ (Q92753).
PBS with 0.02% sodium azide,0.05% BSA,50% glycerol,pH7.3.

Application

WB


Storage Class

10 - Combustible liquids

wgk

WGK 1



Choose from one of the most recent versions:

Certificates of Analysis (COA)

Lot/Batch Number

It looks like we've run into a problem, but you can still download Certificates of Analysis from our Documents section.

If you need assistance, please contact Customer Support

Already Own This Product?

Find documentation for the products that you have recently purchased in the Document Library.

Visit the Document Library



Global Trade Item Number

SKUGTIN
SAB5702813-100UL04065270688927