Skip to Content
MilliporeSigma

SAB5702775

Sigma-Aldrich

Anti-MDH1 Antibody, clone 8U9X1, Rabbit Monoclonal

Synonym(s):

HEL-S-32, MDH-s, MDHA, MGC:1375, MOR2

Sign Into View Organizational & Contract Pricing

Select a Size


About This Item

UNSPSC Code:
12352203
NACRES:
NA.46
Technical Service
Need help? Our team of experienced scientists is here for you.
Let Us Assist
Technical Service
Need help? Our team of experienced scientists is here for you.
Let Us Assist

biological source

rabbit

Quality Level

conjugate

unconjugated

material

colorless

clone

8U9X1, monoclonal

form

liquid

mol wt

36 kDa

species reactivity

human, rat, rat

concentration

0.16 mg/mL

technique(s)

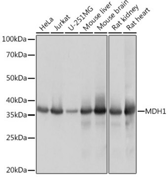
western blot: 1:500 - 1:2000

color

colorless

isotype

IgG

immunogen sequence

IKARKLSSAMSAAKAICDHVRDIWFGTPEGEFVSMGVISDGNSYGVPDDLLYSFPVVIKNKTWKFVEGLPINDFSREKMDLTAKELTEEKESAFEFLSSA

UniProt accession no.

shipped in

wet ice

storage temp.

−20°C

target post-translational modification

unmodified

Gene Information

human ... MDH1(4190)

General description

This gene encodes an enzyme that catalyzes the NAD/NADH-dependent, reversible oxidation of malate to oxaloacetate in many metabolic pathways, including the citric acid cycle. Two main isozymes are known to exist in eukaryotic cells: one is found in the mitochondrial matrix and the other in the cytoplasm. This gene encodes the cytosolic isozyme, which plays a key role in the malate-aspartate shuttle that allows malate to pass through the mitochondrial membrane to be transformed into oxaloacetate for further cellular processes. Alternatively spliced transcript variants have been found for this gene. A recent study showed that a C-terminally extended isoform is produced by use of an alternative in-frame translation termination codon via a stop codon readthrough mechanism, and that this isoform is localized in the peroxisomes. Pseudogenes have been identified on chromosomes X and 6. [provided by RefSeq, Feb 2016]

Immunogen

A synthetic peptide corresponding to a sequence within amino acids 235-334 of human MDH1 (P40925).
PBS with 0.02% sodium azide,0.05% BSA,50% glycerol,pH7.3.

Application

WB

Storage Class

10 - Combustible liquids

wgk_germany

WGK 1


Choose from one of the most recent versions:

Certificates of Analysis (COA)

Lot/Batch Number

It looks like we've run into a problem, but you can still download Certificates of Analysis from our Documents section.

If you need assistance, please contact Customer Support

Already Own This Product?

Find documentation for the products that you have recently purchased in the Document Library.

Visit the Document Library

Our team of scientists has experience in all areas of research including Life Science, Material Science, Chemical Synthesis, Chromatography, Analytical and many others.

Contact Technical Service