Skip to Content
MilliporeSigma

SAB5702457

Sigma-Aldrich

Anti-Calcineurin A Antibody, clone 5I6H8, Rabbit Monoclonal

Synonym(s):

CALN, CALNA, CALNA1, CCN1, CNA1, PPP2B

Sign Into View Organizational & Contract Pricing

Select a Size


About This Item

UNSPSC Code:
12352203
NACRES:
NA.46
Technical Service
Need help? Our team of experienced scientists is here for you.
Let Us Assist
Technical Service
Need help? Our team of experienced scientists is here for you.
Let Us Assist

biological source

rabbit

Quality Level

conjugate

unconjugated

material

colorless

clone

5I6H8, monoclonal

form

liquid

mol wt

59 kDa

species reactivity

rat, human, rat

concentration

0.95 mg/mL

technique(s)

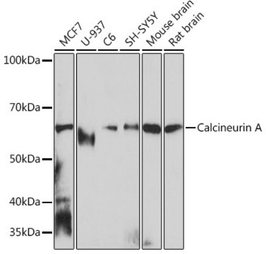
western blot: 1:500 - 1:2000

color

colorless

isotype

IgG

immunogen sequence

TLKGLTPTGMLPSGVLSGGKQTLQSATVEAIEADEAIKGFSPQHKITSFEEAKGLDRINERMPPRRDAMPSDANLNSINKALTSETNGTDSNGSNSSNIQ

UniProt accession no.

shipped in

wet ice

storage temp.

−20°C

target post-translational modification

unmodified

Gene Information

human ... PPP3CA(5530)

General description

Calcium-dependent, calmodulin-stimulated protein phosphatase which plays an essential role in the transduction of intracellular Ca(2+-mediated signals. Many of the substrates contain a PxIxIT motif and/or a LxVP motif. In response to increased Ca(2+ levels, dephosphorylates and activates phosphatase SSH1 which results in cofilin dephosphorylation. In response to increased Ca(2+ levels following mitochondrial depolarization, dephosphorylates DNM1L inducing DNM1L translocation to the mitochondrion. Dephosphorylates heat shock protein HSPB1 (By similarity. Dephosphorylates and activates transcription factor NFATC1. In response to increased Ca(2+ levels, regulates NFAT-mediated transcription probably by dephosphorylating NFAT and promoting its nuclear translocation. Dephosphorylates and inactivates transcription factor ELK1. Dephosphorylates DARPP32. May dephosphorylate CRTC2 at ′Ser-171′ resulting in CRTC2 dissociation from 14-3-3 proteins. Dephosphorylates transcription factor TFEB at ′Ser-211′ following Coxsackievirus B3 infection, promoting nuclear translocation.

Immunogen

A synthetic peptide corresponding to a sequence within amino acids 422-521 of human Calcineurin A (Q08209).
PBS with 0.02% sodium azide,0.05% BSA,50% glycerol,pH7.3.

Application

WB

Storage Class

10 - Combustible liquids

wgk_germany

WGK 1


Choose from one of the most recent versions:

Certificates of Analysis (COA)

Lot/Batch Number

It looks like we've run into a problem, but you can still download Certificates of Analysis from our Documents section.

If you need assistance, please contact Customer Support

Already Own This Product?

Find documentation for the products that you have recently purchased in the Document Library.

Visit the Document Library

Our team of scientists has experience in all areas of research including Life Science, Material Science, Chemical Synthesis, Chromatography, Analytical and many others.

Contact Technical Service