SAB5702254
Anti-SST Antibody
rabbit monoclonal, 7Q4T0
Synonym(s):
SST,SMST
Sign Into View Organizational & Contract Pricing
Select a Size
About This Item
UNSPSC Code:
12352203
NACRES:
NA.46
Product Name
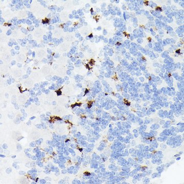
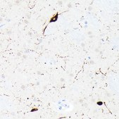
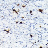
Anti-Somatostatin (SST) Antibody, clone 7Q4T0, Rabbit Monoclonal,
biological source
rabbit
Quality Level
material
colorless
clone
7Q4T0, monoclonal
form
liquid
species reactivity
mouse, rat
concentration
1 mg/mL
technique(s)
immunohistochemistry: 1:50 - 1:200
color
colorless
isotype
IgG
immunogen sequence
TGAPSDPRLRQFLQKSLAAAAGKQELAKYFLAELLSEPNQTENDALEPEDLSQAAEQDEMRLELQRSANSNPAMAPRERKAGCKNFFWKTFTSC
UniProt accession no.
shipped in
wet ice
storage temp.
−20°C
target post-translational modification
unmodified
Gene Information
human ... SST(6750)
General description
The hormone somatostatin has active 14 aa and 28 aa forms that are produced by alternate cleavage of the single preproprotein encoded by this gene. Somatostatin is expressed throughout the body and inhibits the release of numerous secondary hormones by binding to high-affinity G-protein-coupled somatostatin receptors. This hormone is an important regulator of the endocrine system through its interactions with pituitary growth hormone, thyroid stimulating hormone, and most hormones of the gastrointestinal tract. Somatostatin also affects rates of neurotransmission in the central nervous system and proliferation of both normal and tumorigenic cells.
Immunogen
PBS with 0.05% proclin300,0.05% BSA,50% glycerol,pH7.3.
Recombinant fusion protein containing a sequence corresponding to amino acids 23-116 of human Somatostatin (SST) (NP_001039.1).
Application
IHC
signalword
Warning
hcodes
Hazard Classifications
Aquatic Chronic 2 - Skin Sens. 1
Storage Class
10 - Combustible liquids
wgk_germany
WGK 3
Choose from one of the most recent versions:
Already Own This Product?
Find documentation for the products that you have recently purchased in the Document Library.
Our team of scientists has experience in all areas of research including Life Science, Material Science, Chemical Synthesis, Chromatography, Analytical and many others.
Contact Technical Service
