Skip to Content
MilliporeSigma

SAB5702072

Sigma-Aldrich

Anti-SDHB Antibody, clone 9S1A0, Rabbit Monoclonal

Synonym(s):

CWS2, IP, PGL4, SDH, SDH1, SDH2, SDHIP

Sign Into View Organizational & Contract Pricing

Select a Size


About This Item

UNSPSC Code:
12352203
NACRES:
NA.46
Technical Service
Need help? Our team of experienced scientists is here for you.
Let Us Assist
Technical Service
Need help? Our team of experienced scientists is here for you.
Let Us Assist

biological source

rabbit

Quality Level

conjugate

unconjugated

material

colorless

clone

9S1A0, monoclonal

form

liquid

mol wt

32 kDa

species reactivity

rat, rat, human

concentration

0.19 mg/mL

technique(s)

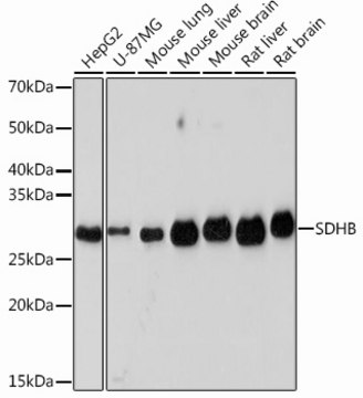
western blot: 1:500 - 1:2000

color

colorless

isotype

IgG

immunogen sequence

DGLYECILCACCSTSCPSYWWNGDKYLGPAVLMQAYRWMIDSRDDFTEERLAKLQDPFSLYRCHTIMNCTRTCPKGLNPGKAIAEIKKMMATYKEKKASV

UniProt accession no.

shipped in

wet ice

storage temp.

−20°C

target post-translational modification

unmodified

Gene Information

human ... SDHB(6390)

General description

Complex II of the respiratory chain, which is specifically involved in the oxidation of succinate, carries electrons from FADH to CoQ. The complex is composed of four nuclear-encoded subunits and is localized in the mitochondrial inner membrane. The iron-sulfur subunit is highly conserved and contains three cysteine-rich clusters which may comprise the iron-sulfur centers of the enzyme. Sporadic and familial mutations in this gene result in paragangliomas and pheochromocytoma, and support a link between mitochondrial dysfunction and tumorigenesis. [provided by RefSeq, Jul 2008]

Immunogen

A synthetic peptide corresponding to a sequence within amino acids 181-280 of human SDHB (P21912).
PBS with 0.02% sodium azide,0.05% BSA,50% glycerol,pH7.3.

Application

WB

Storage Class

10 - Combustible liquids

wgk_germany

WGK 1


Choose from one of the most recent versions:

Certificates of Analysis (COA)

Lot/Batch Number

It looks like we've run into a problem, but you can still download Certificates of Analysis from our Documents section.

If you need assistance, please contact Customer Support

Already Own This Product?

Find documentation for the products that you have recently purchased in the Document Library.

Visit the Document Library

Our team of scientists has experience in all areas of research including Life Science, Material Science, Chemical Synthesis, Chromatography, Analytical and many others.

Contact Technical Service